| 查看: 978 | 回复: 2 | ||
[求助]
细胞分化
|
|
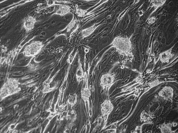
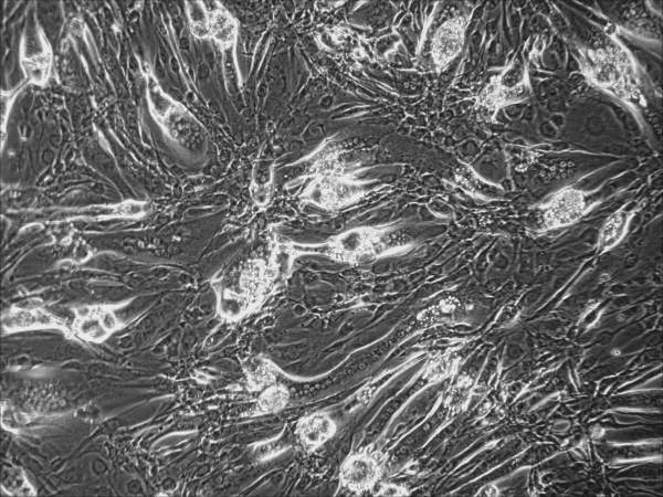
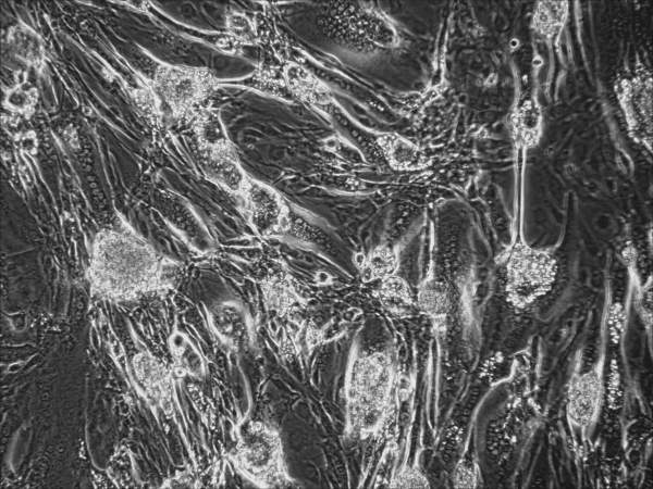
这是我养的c2c12,分化第10天,用Olympus 照的10x的图片,添加药物的三个浓度的分化图片如附件所示,图片中发亮的大团块是什么呢???是污染了还是怎样???求各位指点!!! day10_10x_0um-1.jpg day10_10x_1um-2.jpg day10_10x_10um-3.jpg |
» 猜你喜欢
不多说了,祝好
已经有26人回复
祈福,愿有个好结果
已经有17人回复
神经系统和精神疾病论文润色/翻译怎么收费?
已经有193人回复
国青标书idea该如何选择
已经有3人回复
上海理工招收2022年生物工程相关专业研究生
已经有0人回复
护理非全调剂
已经有0人回复
使用了国自然经费,但文章内容和基金关系不大,可以填写基金号吗?
已经有22人回复
实验室综合评估量表(20251029V1)
已经有1人回复
广东省特支计划青年拔尖人才项目
已经有8人回复
第九批广东省特支计划青年拔尖人才项目
已经有1人回复
2楼2013-08-12 12:58:19
3楼2014-07-02 11:31:18













回复此楼