| 查看: 1278 | 回复: 10 | |||
linzima新虫 (著名写手)
|
[求助]
有牙医吗?帮我看看
|
|
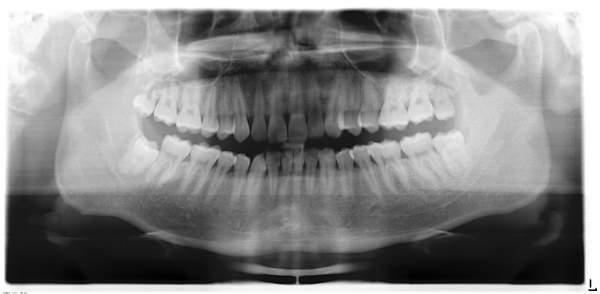
这是我牙齿的X-Ray 图。 我数着自己长了35颗牙齿,第36颗正在长。但听说一般人顶多只有32颗牙齿,怎么回事? 另外,我已经听医生的建议拔了左下颚的尽头牙,复查时医生建议我拔右上颚的最后一颗。 记得第一次看牙医的时候听说可能要拔四颗。烦的很。恳求牙医大神们帮我看看。 牙齿.jpg |
» 猜你喜欢
国自然pdf编码后缀确定是否上会?
已经有25人回复
三审将近2个月了还在peer review
已经有6人回复
循环系统论文润色/翻译怎么收费?
已经有93人回复
有过类似经历的吗
已经有15人回复
大鼠,葡萄糖
已经有0人回复
中国中药
已经有4人回复
求问岛津高效液相LC-2030C这个型号
已经有1人回复
311中药学(100800)一志愿成中医求调剂
已经有0人回复
福建农林大学张惠莹副教授微藻绿色技术团队招收专硕调剂
已经有1人回复
为什么WB的膜跑成一半,整个都是黑色的?
已经有0人回复
» 本主题相关价值贴推荐,对您同样有帮助:
想投一篇国际会议论文,麻烦大家帮我看看这几个会议靠谱吗
已经有4人回复
请大家帮我看看专家评审意见,这个课题还有继续申报的价值吗?
已经有7人回复
同志们帮我看看核磁氢谱吧,求助!!!
已经有18人回复
大家爱帮我看看这段MATLAB程序为啥出错了
已经有5人回复
大家帮我看看哪个单位更有发展前途
已经有13人回复
大家帮我看看这是什么意思?
已经有11人回复
springer上的open Access都要收费吗?请投过的帮我看看,谢谢啊
已经有8人回复
大家帮我看看图片中的黄色的支撑哪有卖的,万谢
已经有4人回复
有养过乳腺癌的MCF-7和MDA-MB-231请进,帮我看看细胞形态
已经有13人回复
请大家帮我看看怎么回复这样的proof,在线等。急!
已经有5人回复
刚刚和老外视频,简直就是运气啊,大家来帮我看看我的offer模板有什么问题么?
已经有10人回复
【求助】帮我看看这个NH3-TPD谱图,600℃后脱附的是强酸峰吗?
已经有13人回复
大家帮我看看IEEE JSAC有戏吗?
已经有5人回复
【求助】哪位大侠帮我看看掺铝氧化锌的XRD图谱
已经有12人回复
【交流】请各位帮我看看中国地质大学(北京)这样做合理吗?相当郁闷
已经有38人回复
linzima
新虫 (著名写手)
- 应助: 2 (幼儿园)
- 金币: 2129.4
- 散金: 260
- 红花: 6
- 帖子: 1619
- 在线: 140.9小时
- 虫号: 1326516
- 注册: 2011-06-19
- 专业: 发展经济学
2楼2013-07-23 05:48:49
kindbigbear0
木虫 (正式写手)
- 应助: 34 (小学生)
- 金币: 1550.5
- 散金: 100
- 红花: 9
- 帖子: 348
- 在线: 88.2小时
- 虫号: 344683
- 注册: 2007-04-14
- 性别: GG
- 专业: 组织工程学
3楼2013-07-24 09:57:43
linzima
新虫 (著名写手)
- 应助: 2 (幼儿园)
- 金币: 2129.4
- 散金: 260
- 红花: 6
- 帖子: 1619
- 在线: 140.9小时
- 虫号: 1326516
- 注册: 2011-06-19
- 专业: 发展经济学
4楼2013-07-24 12:31:00
carci
专家顾问 (著名写手)
-

专家经验: +193 - MedEPI: 5
- 应助: 150 (高中生)
- 贵宾: 1.62
- 金币: 13721.9
- 散金: 1054
- 红花: 199
- 沙发: 4
- 帖子: 2102
- 在线: 1220.1小时
- 虫号: 1063200
- 注册: 2010-07-23
- 性别: GG
- 专业: 牙体牙髓及根尖周组织疾病
- 管辖: 医学
5楼2013-07-25 09:16:19
carci
专家顾问 (著名写手)
-

专家经验: +193 - MedEPI: 5
- 应助: 150 (高中生)
- 贵宾: 1.62
- 金币: 13721.9
- 散金: 1054
- 红花: 199
- 沙发: 4
- 帖子: 2102
- 在线: 1220.1小时
- 虫号: 1063200
- 注册: 2010-07-23
- 性别: GG
- 专业: 牙体牙髓及根尖周组织疾病
- 管辖: 医学
6楼2013-07-25 09:30:58
guolili9900
铁杆木虫 (正式写手)
- 应助: 23 (小学生)
- 金币: 7314.3
- 红花: 4
- 帖子: 735
- 在线: 117.2小时
- 虫号: 2367334
- 注册: 2013-03-22
- 专业: 肿瘤物理治疗

7楼2013-07-25 11:04:39
linzima
新虫 (著名写手)
- 应助: 2 (幼儿园)
- 金币: 2129.4
- 散金: 260
- 红花: 6
- 帖子: 1619
- 在线: 140.9小时
- 虫号: 1326516
- 注册: 2011-06-19
- 专业: 发展经济学
8楼2013-07-25 13:07:47
9楼2013-07-25 17:02:43
guolili9900
铁杆木虫 (正式写手)
- 应助: 23 (小学生)
- 金币: 7314.3
- 红花: 4
- 帖子: 735
- 在线: 117.2小时
- 虫号: 2367334
- 注册: 2013-03-22
- 专业: 肿瘤物理治疗

10楼2013-07-26 09:02:38













回复此楼