| 查看: 322 | 回复: 0 | ||
xiatiandong铜虫 (初入文坛)
|
[求助]
肝脏组织切片
|
|
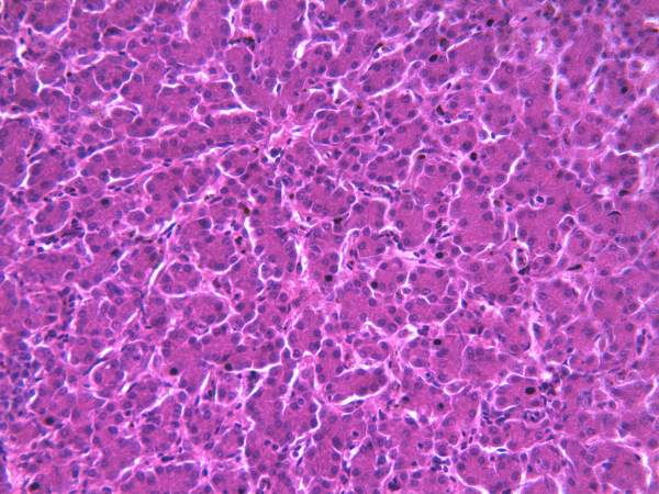
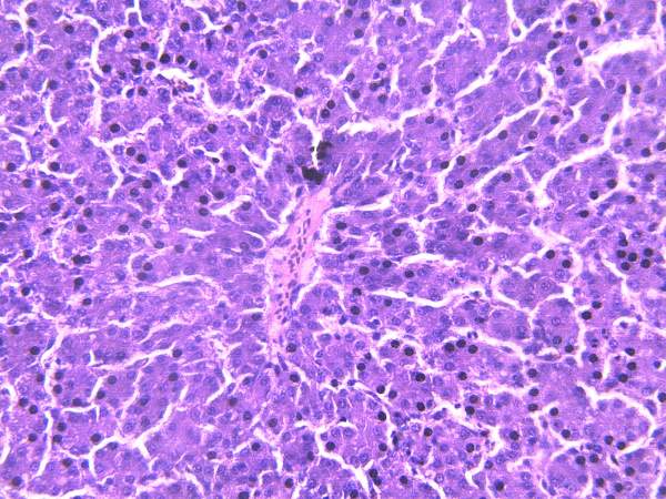
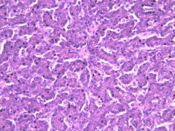
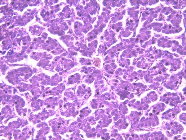
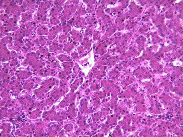
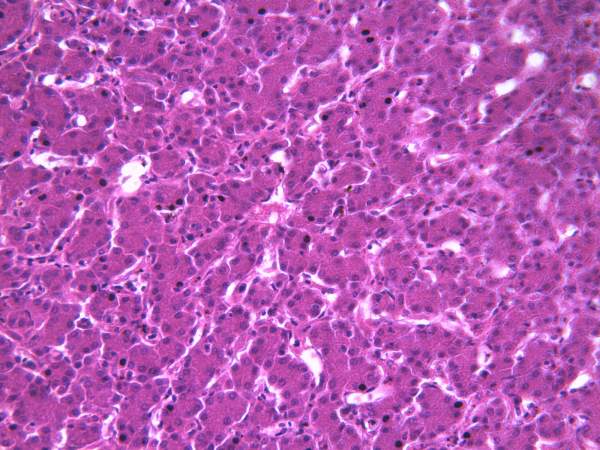
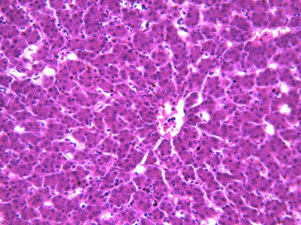
各位大哥大姐们,能不能把我肝脏组织切片看一下,我毕业论文要去分析结果,真的很急,论文题目为硼元素复合饲料添加剂对肉鸡肝脏组织结构的影响,我看不明白,谢谢 21d对照组X400.jpg 21d试验二组.jpg 21d试验三组.jpg 21d试验一组.jpg 42d对照组.jpg 42d试验二组.jpg 42d试验三组.jpg 42d试验一组.jpg |
» 猜你喜欢
求环氧树脂研发1名
已经有10人回复
280求调剂
已经有5人回复
什么是人一生最重要的?
已经有10人回复
面上可以超过30页吧?
已经有13人回复
网上报道青年教师午睡中猝死、熬夜猝死的越来越多,主要哪些原因引起的?
已经有10人回复
为什么中国大学工科教授们水了那么多所谓的顶会顶刊,但还是做不出宇树机器人?
已经有13人回复
版面费该交吗
已经有17人回复
【博士招生】太原理工大学2026化工博士
已经有8人回复
找到一些相关的精华帖子,希望有用哦~
我不是医学专业,但为了父亲来此求高手指点…
已经有11人回复
S180肉瘤小鼠,给药后肝脏指数增加,但与空白组无显著差异,这是个好现象还是毒性呢
已经有4人回复
小鼠的肝脏,心脏,肾,脾,甲状腺,肺的组织切片的固定液及时间
已经有5人回复
小鼠肝脏石蜡切片问题切片
已经有6人回复
小鼠肝脏病理切片观察~~~求助~~
已经有9人回复
福尔马林固定组织样本时间多久比较合适?
已经有3人回复
【求助】如何造小鼠肝纤维化模型
已经有15人回复
【求助】取组织的问题~~
已经有9人回复
春季养肝可吃山药银耳熬的粥
已经有5人回复
百岁老人饮食秘方
已经有9人回复
科研从小木虫开始,人人为我,我为人人













回复此楼
点击这里搜索更多相关资源