| 查看: 1159 | 回复: 17 | ||
WQS1991银虫 (正式写手)
|
[求助]
这个是链格胞吗?从花生皮上分离出来的
|
|
|
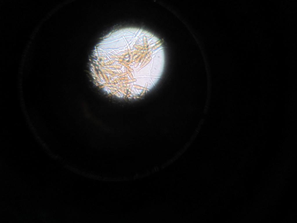
大家帮忙鉴定一下这是什么啊…… 从花生皮上分离出来的,培养了一天就长出了菌丝,挑到显微镜下是这个样子。 目标真菌是花生根腐和茎腐,师姐说一天不可能长出来,大家看看这是神马啊…… 是不是花生黑斑啊……着急啊…… IMG_2057.JPG IMG_2058.JPG IMG_2059.JPG IMG_2060.JPG IMG_2061.JPG IMG_2062.JPG IMG_2063.JPG IMG_2064.JPG IMG_2065.JPG [ 来自科研家族 珊瑚岛 ] |
» 猜你喜欢
同年申请2项不同项目,第1个项目里不写第2个项目的信息,可以吗
已经有8人回复
依托企业入选了国家启明计划青年人才。有无高校可以引进的。
已经有7人回复
依托企业入选了国家启明计划青年人才。有无高校可以引进的。
已经有10人回复
天津大学招2026.09的博士生,欢迎大家推荐交流(博导是本人)
已经有9人回复
有院领导为了换新车,用横向课题经费买了俩车
已经有10人回复
AI 太可怕了,写基金时,提出想法,直接生成的文字比自己想得深远,还有科学性
已经有6人回复
酰胺脱乙酰基
已经有13人回复
有时候真觉得大城市人没有县城人甚至个体户幸福
已经有10人回复
WQS1991
银虫 (正式写手)
- 应助: 14 (小学生)
- 金币: 1067.9
- 散金: 55
- 红花: 3
- 帖子: 454
- 在线: 164.9小时
- 虫号: 1766130
- 注册: 2012-04-19
- 专业: 植物化学保护
13楼2013-05-06 21:00:24

17楼2013-05-10 14:17:35

2楼2013-04-26 14:00:21
fungi_lwh
金虫 (著名写手)
- 应助: 9 (幼儿园)
- 金币: 1075.2
- 散金: 248
- 红花: 7
- 沙发: 1
- 帖子: 1073
- 在线: 158.5小时
- 虫号: 892888
- 注册: 2009-11-04
- 性别: GG
- 专业: 植物病理学
3楼2013-04-26 18:42:09
WQS1991
银虫 (正式写手)
- 应助: 14 (小学生)
- 金币: 1067.9
- 散金: 55
- 红花: 3
- 帖子: 454
- 在线: 164.9小时
- 虫号: 1766130
- 注册: 2012-04-19
- 专业: 植物化学保护
4楼2013-04-26 20:19:43

5楼2013-04-26 20:52:28
WQS1991
银虫 (正式写手)
- 应助: 14 (小学生)
- 金币: 1067.9
- 散金: 55
- 红花: 3
- 帖子: 454
- 在线: 164.9小时
- 虫号: 1766130
- 注册: 2012-04-19
- 专业: 植物化学保护
6楼2013-04-26 21:05:08
ynwssq1960
木虫 (小有名气)
- 应助: 3 (幼儿园)
- 金币: 2315.9
- 帖子: 111
- 在线: 82.4小时
- 虫号: 1880218
- 注册: 2012-07-05
- 专业: 植物保护生物技术
7楼2013-04-27 23:52:41
8楼2013-04-28 10:43:03
9楼2013-04-28 11:19:46
|
本帖内容被屏蔽 |
10楼2013-04-30 22:17:35













回复此楼