| 查看: 1074 | 回复: 31 | ||
| 当前只显示满足指定条件的回帖,点击这里查看本话题的所有回帖 | ||
[求助]
抑菌试验
|
||
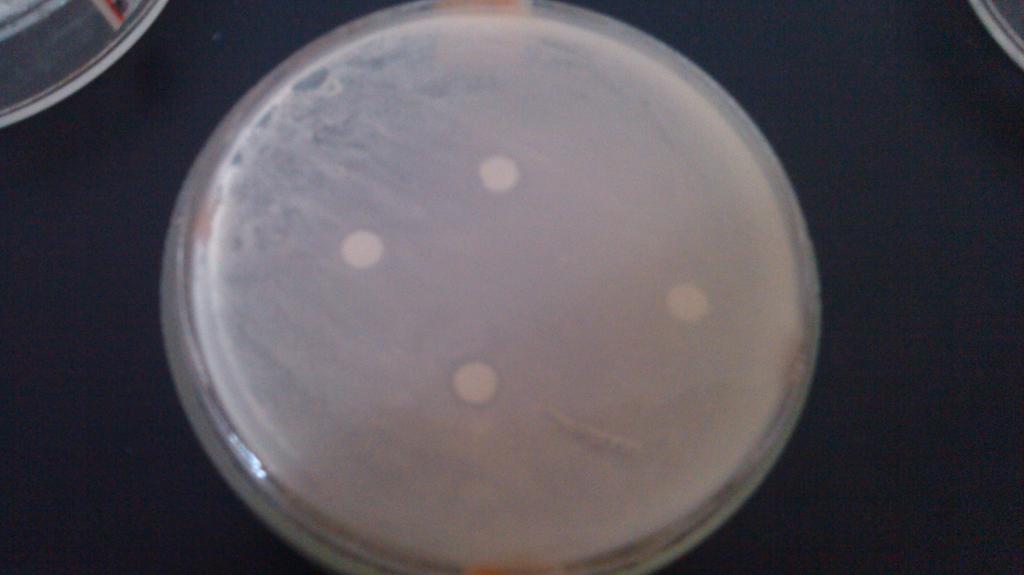
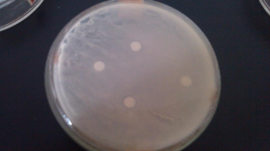
![]() 辛辛苦苦做的抑菌试验,感觉好像没有抑菌圈,求助各位高人,这到底是什么原因,还是其实是有抑菌圈的![]() ![]() ![]() ![]() IMG_20130426_084957.jpg IMG_20130426_085024.jpg IMG_20130426_085028.jpg IMG_20130426_085032.jpg |
» 猜你喜欢
材料专硕(0856) 339分求调剂
已经有7人回复
081700学硕,323分,一志愿中国海洋大学求调剂学校
已经有15人回复
295求调剂
已经有10人回复
一志愿9材料学硕297已过六级求调剂推荐
已经有10人回复
312求调剂
已经有3人回复
一志愿北京化工085600 310分求调剂
已经有12人回复
一志愿 南京航空航天大学 ,080500材料科学与工程学硕
已经有8人回复
工科277分求调剂材料
已经有5人回复
电子信息调剂交叉学科有推荐吗
已经有9人回复
材料工程专硕求调剂
已经有11人回复
carrieskl
木虫 (著名写手)
- MicEPI: 1
- 应助: 31 (小学生)
- 金币: 3156.3
- 散金: 3
- 红花: 11
- 帖子: 1037
- 在线: 104.9小时
- 虫号: 1541324
- 注册: 2011-12-17
- 性别: MM
- 专业: 非感染性皮肤病

9楼2013-04-26 12:34:20
zhangxingc
铁杆木虫 (著名写手)
- MicEPI: 3
- 应助: 206 (大学生)
- 贵宾: 0.06
- 金币: 10202.4
- 散金: 233
- 红花: 24
- 沙发: 34
- 帖子: 1933
- 在线: 292.3小时
- 虫号: 682324
- 注册: 2008-12-26
- 性别: GG
- 专业: 食品科学基础

2楼2013-04-26 09:29:40
3楼2013-04-26 09:32:39
zhangxingc
铁杆木虫 (著名写手)
- MicEPI: 3
- 应助: 206 (大学生)
- 贵宾: 0.06
- 金币: 10202.4
- 散金: 233
- 红花: 24
- 沙发: 34
- 帖子: 1933
- 在线: 292.3小时
- 虫号: 682324
- 注册: 2008-12-26
- 性别: GG
- 专业: 食品科学基础

4楼2013-04-26 09:38:12
















回复此楼
