| 查看: 4111 | 回复: 0 | ||
rainbow_zyt木虫 (小有名气)
|
[求助]
高分悬赏高手帮忙分析一下脑组织he染色的片子
|
|
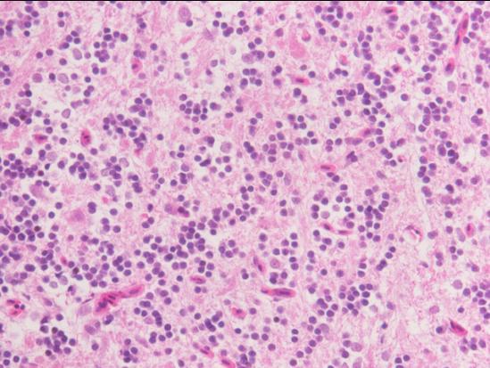
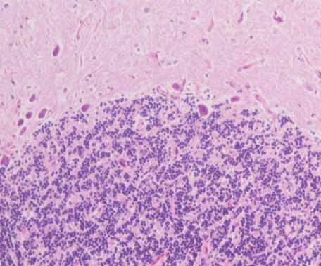
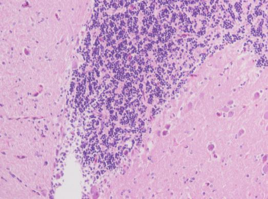
rt,做了脑组织的he染色,实验室以前从来没有人做过,拍出来的片完全不会分析啊,哪位大侠帮助在照片上对片中所拍摄到的正常结构和出现损伤的部位标示下啊,不胜感激啊,满意了会增加金币的 456.JPG 789.JPG 123.JPG |
» 猜你喜欢
材料考研调剂
已经有7人回复
270调剂
已经有7人回复
275学硕081000服从调剂到其他专业,保不住本专业了
已经有6人回复
0710生物学,325求调剂
已经有3人回复
296材料专硕求调剂
已经有5人回复
385分 生物学(071000)求调剂
已经有5人回复
377求调剂
已经有3人回复
【求调剂】新能源材料本科,一志愿211,初试321
已经有6人回复
316求调剂
已经有11人回复
321求调剂
已经有9人回复

找到一些相关的精华帖子,希望有用哦~
细胞HE染色结果分析
已经有6人回复
细胞爬片后,能做HE染色吗?
已经有3人回复
【求助】HE染色结果专业分析(悬赏20金币)
已经有11人回复
科研从小木虫开始,人人为我,我为人人














回复此楼
点击这里搜索更多相关资源