| 查看: 717 | 回复: 8 | ||
[求助]
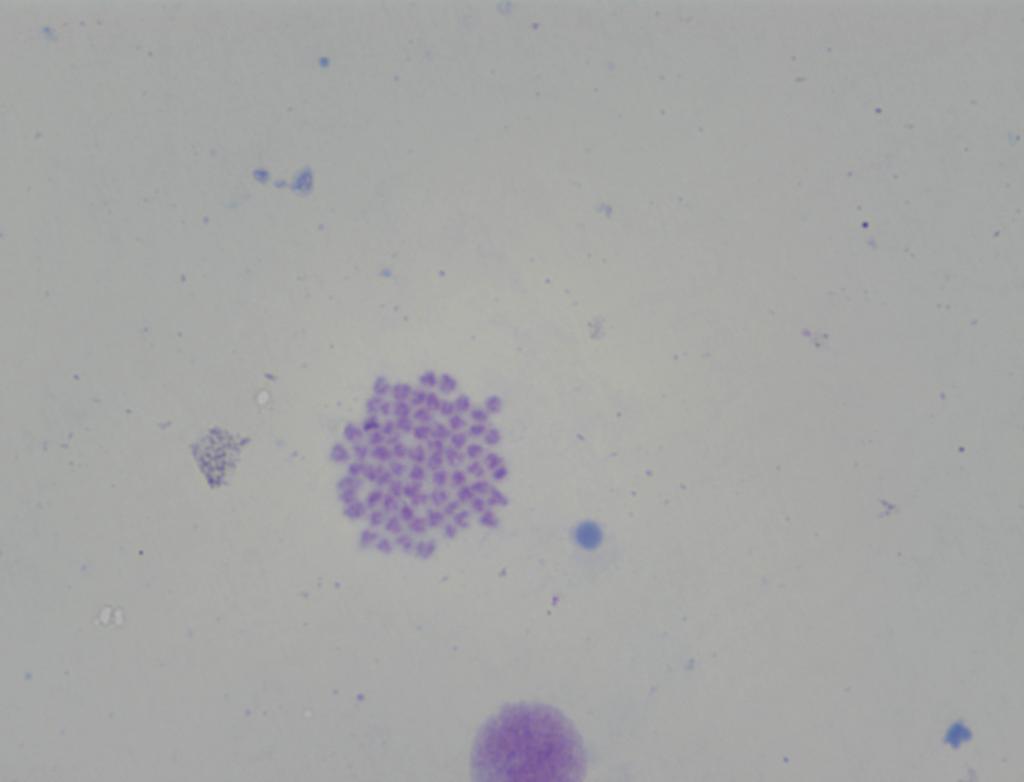
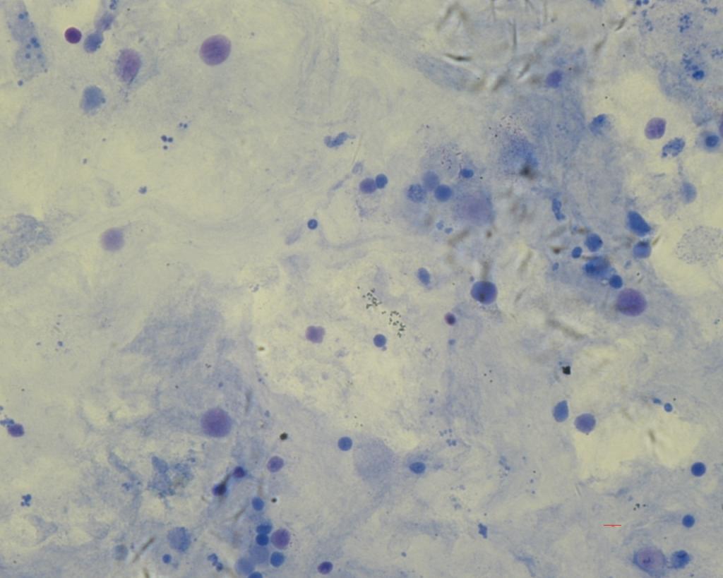
染色体照相不清晰,无法辨别
|
||
|
|
||
| 回帖置顶 ( 共有4个 ) | ||
|
2楼2012-12-02 20:44:24
|
|
|
|
5楼2012-12-06 16:35:02
|
|
|
|
6楼2012-12-06 16:39:17
|
|
|
|
7楼2012-12-06 16:41:49
|
|
|
| 普通回帖 | ||
iyueliang1新虫 (初入文坛) |
|
|
|
3楼2012-12-05 15:15:18
|
|
|
dongxie1982铜虫 (正式写手)
|
||
|
4楼2012-12-05 20:02:58
|
|
|
|
8楼2012-12-07 13:32:42
|
|
|
wangzc1981木虫 (小有名气)
|
||
|
9楼2013-03-26 19:31:33
|
|
|













回复此楼