| ²é¿´: 1288 | »Ø¸´: 1 | ||
ÀëÈËÏæÑÅÀáÖÁ×ðľ³æ (ÖøÃûдÊÖ)
¿ÆÑй¤×÷Õß
|
[ÇóÖú]
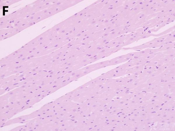
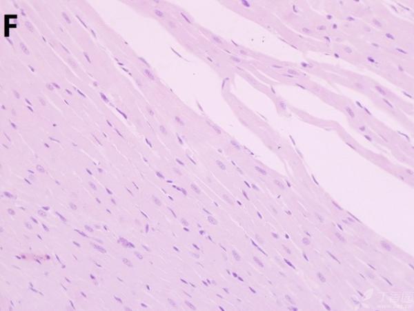
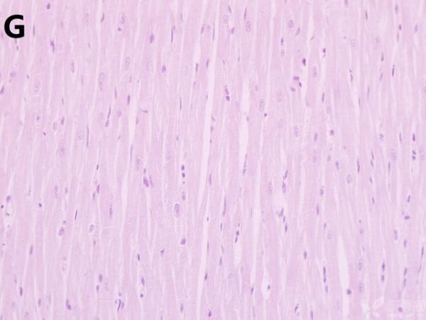
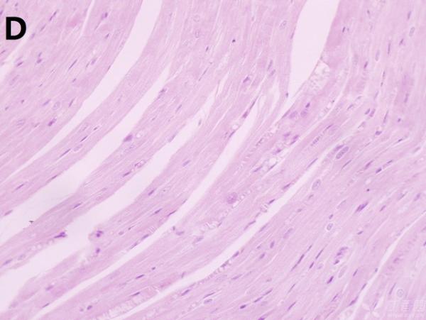
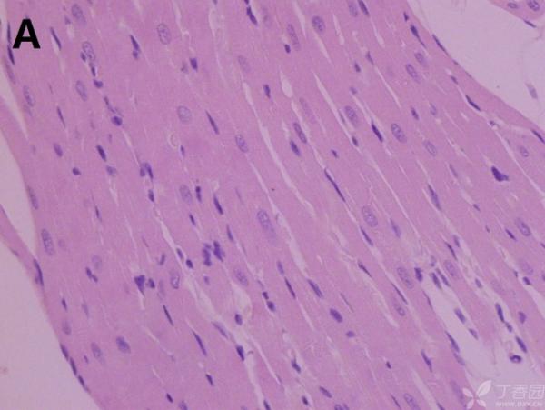
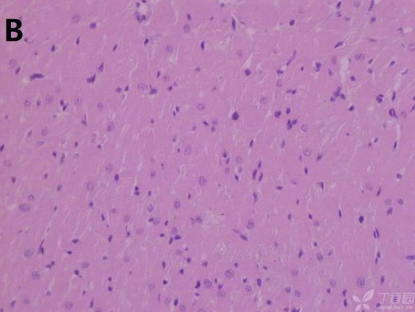
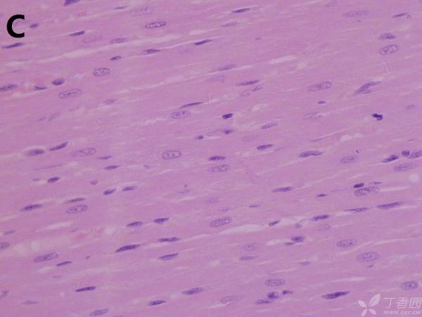
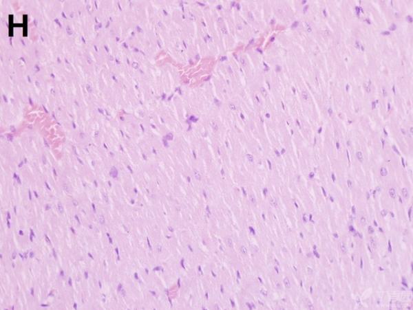
100½ð±Ò·îÉÏ£¬Çë½Ì¸÷λ¸ßÊÖ°ïæ·ÖÎö´óÊóÐļ¡È±ÑªÔÙ¹à×¢HEȾɫʯÀ¯ÇÐÆ¬
|
|
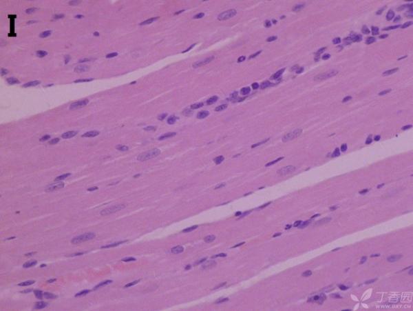
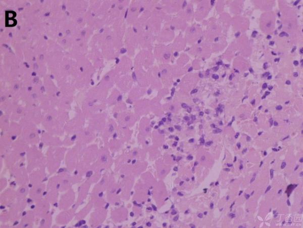
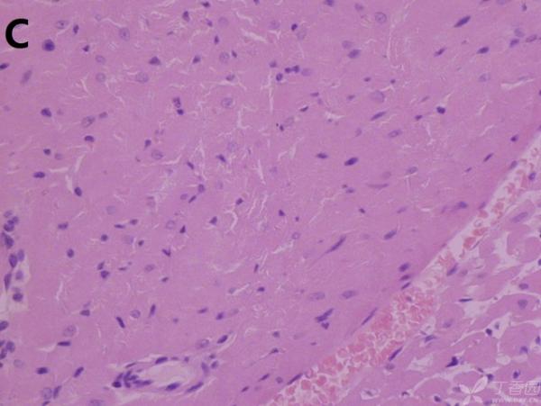
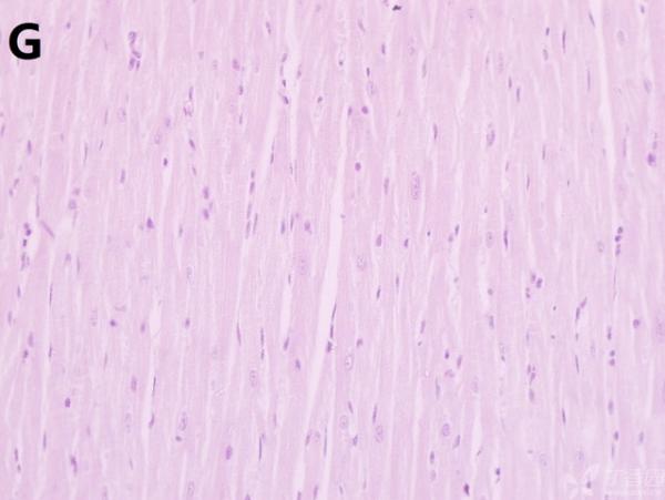
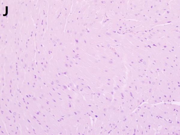
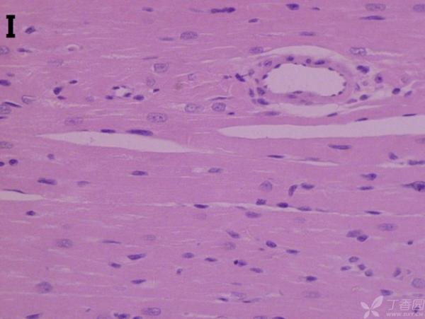
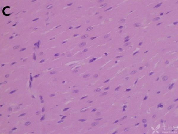
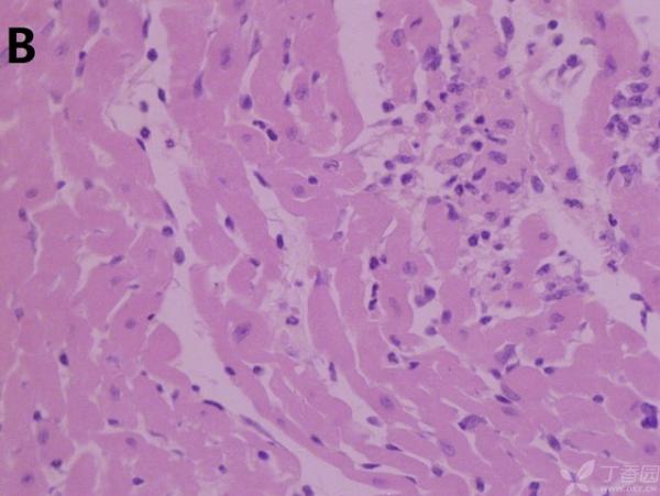
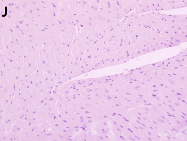
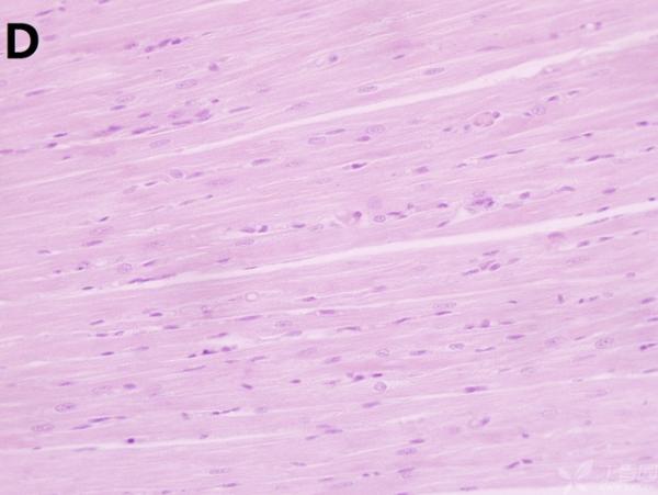
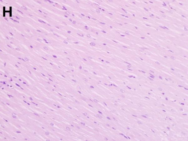
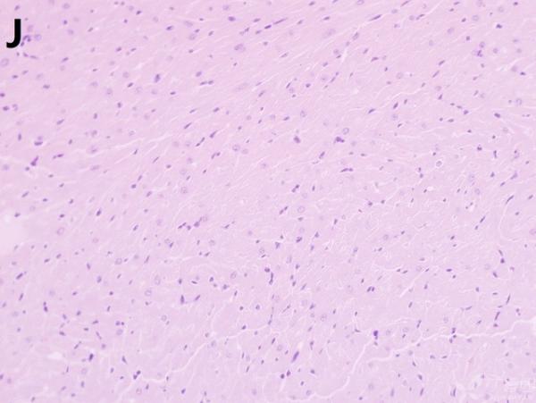
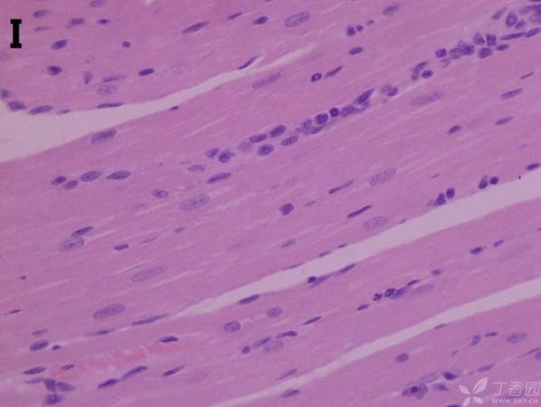
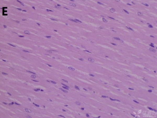
ÎÒ½«Ã¿¸ö×éÖ¯ÅÄÁË3¸öÊÓÒ°£¬ÒÔ±ã×ۺϷÖÎö£¬Âé·³¸÷λ°ïÎÒ°ÑA¡¢B¡¢C¡¢D¡¢E¡¢F¡¢GµÄËðÉË´óСÅŸö˳Ðò ÔÙ°ÑA¡¢B¡¢C¡¢H¡¢I¡¢JËðÉ˵ÄÑÏÖØ³Ì¶ÈÅŸöÐò¡£¸ÃÎÊÌâÒ²ÔÚ¶¡ÏãÔ°ÉÏÇóÖúÁË£¬Á´½Óhttp://www.dxy.cn/bbs/topic/23986562 A1.jpg A2.jpg A3.jpg B1.jpg B2.jpg B3.jpg C1.jpg C2.jpg C3.jpg D1.jpg D2.jpg D3.jpg E.jpg F1.jpg F2.jpg F3.jpg G1.jpg G2.jpg G3.jpg H1.jpg H2.jpg I.jpg I2.jpg I3.jpg J.jpg J2.jpg J3.jpg [ Last edited by ÀëÈËÏæÑÅÀá on 2012-10-9 at 21:11 ] |
» ²ÂÄãϲ»¶
281Çóµ÷¼Á£¨0805£©
ÒѾÓÐ12È˻ظ´
Ò»Ö¾Ô¸Î÷ÄϽ»´ó£¬Çóµ÷¼Á
ÒѾÓÐ4È˻ظ´
0854¿É¿çµ÷¼Á£¬Ò»×÷Ò»ÏîºËÐÄÂÛÎÄÎåÏîרÀû£¬Ê¡¡¢¹ú¼¶Ö¤Êé40+ÊýÒ»Ó¢Ò»287
ÒѾÓÐ7È˻ظ´
297Çóµ÷¼Á
ÒѾÓÐ7È˻ظ´
²ÄÁÏר˶306Ó¢Ò»Êý¶þ
ÒѾÓÐ13È˻ظ´
0703»¯Ñ§µ÷¼Á £¬Áù¼¶Òѹý£¬ÓпÆÑоÀú
ÒѾÓÐ10È˻ظ´
0817 »¯Ñ§¹¤³Ì 299·ÖÇóµ÷¼Á ÓпÆÑоÀú ÓжþÇøÎÄÕÂ
ÒѾÓÐ6È˻ظ´
ÊÕ¸´ÊÔµ÷¼ÁÉú
ÒѾÓÐ4È˻ظ´
²ÄÁÏר˶274Ò»Ö¾Ô¸ÉÂÎ÷ʦ·¶´óѧÇóµ÷¼Á
ÒѾÓÐ6È˻ظ´
331Çóµ÷¼Á£¨0703Óлú»¯Ñ§
ÒѾÓÐ8È˻ظ´
» ±¾Ö÷ÌâÏà¹Ø¼ÛÖµÌùÍÆ¼ö£¬¶ÔÄúͬÑùÓаïÖú:
ÇóÖú¹ØÓÚ´óÊó¼±ÐÔÐļ¡È±ÑªÄ£Ð͵ÄÎÊÌâ
ÒѾÓÐ4È˻ظ´
ÀëÈËÏæÑÅÀá
ÖÁ×ðľ³æ (ÖøÃûдÊÖ)
¿ÆÑй¤×÷Õß
- Ó¦Öú: 3 (Ó×¶ùÔ°)
- ½ð±Ò: 13660.9
- É¢½ð: 73
- ºì»¨: 7
- Ìû×Ó: 1679
- ÔÚÏß: 353.5Сʱ
- ³æºÅ: 1671183
- ×¢²á: 2012-03-06
- ÐÔ±ð: GG
- רҵ: ÓлúºÏ³É
2Â¥2012-10-09 21:36:16













»Ø¸´´ËÂ¥