版块导航
正在加载中...
客户端APP下载
论文辅导
申博辅导
登录
注册
帖子
帖子
用户
本版
应《网络安全法》要求,自2017年10月1日起,未进行实名认证将不得使用互联网跟帖服务。为保障您的帐号能够正常使用,请尽快对帐号进行手机号验证,感谢您的理解与支持!
24小时热门版块排行榜
>
论坛更新日志
(4106)
>
导师招生
(585)
>
虫友互识
(568)
>
文献求助
(468)
>
休闲灌水
(134)
>
考博
(125)
>
招聘信息布告栏
(114)
>
博后之家
(108)
>
硕博家园
(99)
>
公派出国
(84)
>
论文投稿
(81)
>
教师之家
(79)
>
考研
(65)
>
基金申请
(52)
>
绿色求助(高悬赏)
(51)
>
SciFinder/Reaxys
(34)
小木虫论坛-学术科研互动平台
»
生物医药区
»
微生物
»
综合其他
»
乳酸菌和粪肠球菌的镜检图片分析,求高人
9
1/1
返回列表
查看: 2167 | 回复: 8
只看楼主
@他人
存档
新回复提醒
(忽略)
收藏
在APP中查看
tlm305
新虫
(小有名气)
MicEPI: 3
应助: 1
(幼儿园)
金币: 150.7
帖子: 78
在线: 31.7小时
虫号: 978603
[交流]
乳酸菌和粪肠球菌的镜检图片分析,求高人
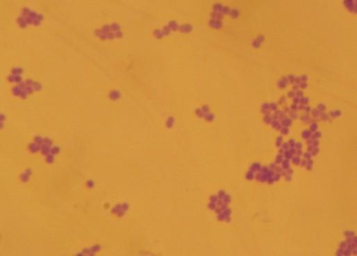
前两张图片是从粪肠球菌的产品中分离的后镜检得到的,点状的为亮白的小颗粒,凹凸的为菌斑,凹凸不平。革兰氏阳性
第三张是从酸奶里分离得到的。革兰氏阳性
请判断下这是我要的菌么
粪肠球菌,凹凸
粪肠球菌,点状
酸奶中分离的乳酸菌
[ 来自科研家族
快乐家族
]
回复此楼
» 猜你喜欢
拟解决的关键科学问题还要不要写
已经有8人回复
26申博
已经有3人回复
存款400万可以在学校里躺平吗
已经有22人回复
最失望的一年
已经有4人回复
国自然申请面上模板最新2026版出了吗?
已经有19人回复
请教限项目规定
已经有3人回复
基金委咋了?2026年的指南还没有出来?
已经有10人回复
基金申报
已经有6人回复
推荐一本书
已经有13人回复
疑惑?
已经有5人回复
高级回复
» 本主题相关价值贴推荐,对您同样有帮助:
求帮助
已经有10人回复
帮忙看下xrd的图,分析下里面的物质以及颗粒大小。谢谢!jade
已经有3人回复
丙烯酰胺电泳图片分析
已经有8人回复
JMC返修求助!
已经有5人回复
求教,一些初到新加坡的问题~
已经有7人回复
紧急求助!色谱新技术论文!
已经有10人回复
求各位大侠帮我分析一张红外光谱图
已经有13人回复
单色仪设备求助
已经有3人回复
求通信高人点拨
已经有7人回复
求助HPLC测定氨基酸具体方法
已经有9人回复
PCR出现问题,求高人解答
已经有5人回复
投稿2周才发现所投的杂志两年前被SCI踢出来了,请各位帮我分析一下,现在撤稿好不好啊
已经有20人回复
求助:TA-XT Plus 质构仪结果分析
已经有4人回复
丁醇梭菌被乳酸菌感染,求高人指点!谢谢!
已经有7人回复
» 抢金币啦!回帖就可以得到:
查看全部散金贴
保障电池制造超纯环境:威格科技电池生产全线解决方案
+
1
/90
南昌大学化学化工学院付拯江教授拟招收“申请-考核”制博士研究生
+
1
/89
上海交通大学变革分子学中心申涛课题组2026秋季入学推荐-考核制博士招生(有机)
+
1
/87
成会明院士团队|钱希堂(国家青年人才)招博后啦!二维材料和固态电池
+
1
/73
武汉理工大学2026年学术博士招生
+
5
/70
中国地质大学(武汉)地质学、地质资源与地质工程、资源与环境方向招生,请尽快联系!
+
1
/59
西工大可塑性液体材料课题组招收软物质、流体力学、细胞工程等背景博士生
+
1
/42
211双一流北京工业大学招计算机、AI、自动控制、电子信息等方向博士生(长期有效)
+
1
/40
Win10系统Xshell窗口小、无法移动、不显示工具栏的一个解决办法
+
1
/38
【教授本人】南佛罗里达大学化学系刘文奇课题组 2026 Fall 招收有机/超分子方向博士生
+
1
/34
【教授本人】南佛罗里达大学化学系刘文奇课题组 2026 Fall 招收有机/超分子方向博士生
+
1
/32
哈尔滨工业大学(深圳)-包斌招收2026年博士研究生及博士后
+
1
/26
浙江大学信息光子材料与器件实验室诚聘博士后、科研助理
+
1
/16
中国地质大学(武汉)材化学院招收2026年材料科学与工程专业博士研究生
+
1
/15
北京工业大学高靓教授课题组2026级博士研究生招生
+
1
/10
南京邮电大学-材料院尹超教授课题组-诚聘材料、化学、生物医学博士后(长期有效)
+
1
/9
科研党/导师看过来,强推这个自带“引文验真”的国产工具,改作业效率翻倍
+
1
/5
上海交通大学化学化工学院张智涛课题组诚聘博士后
+
1
/5
去哪里找期刊封面、目录、发表论文页面、期刊的尾封面
+
1
/4
生殖医学与子代健康全国重点实验室华鹏课题组招收博士后及研究生(长期有效)
+
1
/2
1楼
2012-06-04 15:36:32
已阅
回复此楼
关注TA
给TA发消息
送TA红花
TA的回帖
清风雅月
铜虫
(小有名气)
应助: 1
(幼儿园)
金币: 82.7
帖子: 88
在线: 15.7小时
虫号: 564387
★
tlm305(金币+1): 谢谢参与
第二张像粪肠,第三张像乳酸杆菌,有个疑问,为什么第二张中的粪肠球菌染的不是紫色倒像是红色,粪肠是革兰氏阳性菌是不是你染色有问题?
赞
一下
回复此楼
2楼
2012-06-04 16:43:06
已阅
回复此楼
关注TA
给TA发消息
送TA红花
TA的回帖
huwei2919
木虫
(著名写手)
应助: 0
(幼儿园)
金币: 9546.6
帖子: 1582
在线: 201.6小时
虫号: 667108
★
tlm305(金币+1): 谢谢参与
第三张有双歧
回复此楼
3楼
2012-06-05 00:01:19
已阅
回复此楼
关注TA
给TA发消息
送TA红花
TA的回帖
tlm305
新虫
(小有名气)
MicEPI: 3
应助: 1
(幼儿园)
金币: 150.7
帖子: 78
在线: 31.7小时
虫号: 978603
引用回帖:
2楼
:
Originally posted by
清风雅月
at 2012-06-04 16:43:06
第二张像粪肠,第三张像乳酸杆菌,有个疑问,为什么第二张中的粪肠球菌染的不是紫色倒像是红色,粪肠是革兰氏阳性菌是不是你染色有问题?
是紫色的 是照相的问题,···用相机照的时候,就这样啦···
赞
一下
回复此楼
4楼
2012-06-05 08:03:09
已阅
回复此楼
关注TA
给TA发消息
送TA红花
TA的回帖
tlm305
新虫
(小有名气)
MicEPI: 3
应助: 1
(幼儿园)
金币: 150.7
帖子: 78
在线: 31.7小时
虫号: 978603
引用回帖:
2楼
:
Originally posted by
清风雅月
at 2012-06-04 16:43:06
第二张像粪肠,第三张像乳酸杆菌,有个疑问,为什么第二张中的粪肠球菌染的不是紫色倒像是红色,粪肠是革兰氏阳性菌是不是你染色有问题?
是紫色的 是照相的问题,···用相机照的时候,就这样啦···
赞
一下
回复此楼
5楼
2012-06-05 08:03:20
已阅
回复此楼
关注TA
给TA发消息
送TA红花
TA的回帖
tlm305
新虫
(小有名气)
MicEPI: 3
应助: 1
(幼儿园)
金币: 150.7
帖子: 78
在线: 31.7小时
虫号: 978603
引用回帖:
2楼
:
Originally posted by
清风雅月
at 2012-06-04 16:43:06
第二张像粪肠,第三张像乳酸杆菌,有个疑问,为什么第二张中的粪肠球菌染的不是紫色倒像是红色,粪肠是革兰氏阳性菌是不是你染色有问题?
是紫色的 是照相的问题,···用相机照的时候,就这样啦···
赞
一下
回复此楼
6楼
2012-06-05 08:03:59
已阅
回复此楼
关注TA
给TA发消息
送TA红花
TA的回帖
tlm305
新虫
(小有名气)
MicEPI: 3
应助: 1
(幼儿园)
金币: 150.7
帖子: 78
在线: 31.7小时
虫号: 978603
引用回帖:
2楼
:
Originally posted by
清风雅月
at 2012-06-04 16:43:06
第二张像粪肠,第三张像乳酸杆菌,有个疑问,为什么第二张中的粪肠球菌染的不是紫色倒像是红色,粪肠是革兰氏阳性菌是不是你染色有问题?
是紫色的 是照相的问题,···用相机照的时候,就这样啦···
赞
一下
回复此楼
7楼
2012-06-05 08:04:06
已阅
回复此楼
关注TA
给TA发消息
送TA红花
TA的回帖
tlm305
新虫
(小有名气)
MicEPI: 3
应助: 1
(幼儿园)
金币: 150.7
帖子: 78
在线: 31.7小时
虫号: 978603
引用回帖:
2楼
:
Originally posted by
清风雅月
at 2012-06-04 16:43:06
第二张像粪肠,第三张像乳酸杆菌,有个疑问,为什么第二张中的粪肠球菌染的不是紫色倒像是红色,粪肠是革兰氏阳性菌是不是你染色有问题?
是紫色的 是照相的问题,···用相机照的时候,就这样啦···
赞
一下
回复此楼
8楼
2012-06-05 08:04:27
已阅
回复此楼
关注TA
给TA发消息
送TA红花
TA的回帖
tlm305
新虫
(小有名气)
MicEPI: 3
应助: 1
(幼儿园)
金币: 150.7
帖子: 78
在线: 31.7小时
虫号: 978603
引用回帖:
3楼
:
Originally posted by
huwei2919
at 2012-06-05 00:01:19
第三张有双歧
哦?是不是那种弯曲的杆状就是双岐啊,哪看来我要继续分离咯
赞
一下
回复此楼
9楼
2012-06-05 08:05:21
已阅
回复此楼
关注TA
给TA发消息
送TA红花
TA的回帖
相关版块跳转
新药研发
药学
药品生产
分子生物
微生物
动植物
生物科学
医学
我要订阅楼主
tlm305
的主题更新
9
1/1
返回列表
如果回帖内容含有宣传信息,请如实选中。否则帐号将被全论坛禁言
普通表情
龙
兔
虎
猫
高级回复
(可上传附件)
百度网盘
|
360云盘
|
千易网盘
|
华为网盘
在新窗口页面中打开自己喜欢的网盘网站,将文件上传后,然后将下载链接复制到帖子内容中就可以了。
信息提示
关闭
请填处理意见
关闭
确定