| 查看: 1953 | 回复: 19 | |
| 当前只显示满足指定条件的回帖,点击这里查看本话题的所有回帖 | |
hacoming金虫 (小有名气)
|
[求助]
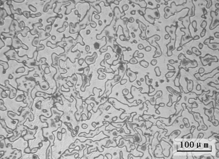
我照的这个金相 看不懂 请问有做出类似图像的么?是不是哪里做错了 请指教
|
|
|
|
hacoming金虫 (小有名气)
|
|
|
11楼2011-06-09 18:31:05
|
|
| 查看全部 20 个回答 | |
hacoming金虫 (小有名气)
|
|
|
3楼2011-06-09 11:48:34
|
|
|
4楼2011-06-09 11:51:57
|
|
hacoming金虫 (小有名气)
|
|
|
5楼2011-06-09 12:04:06
|
|













回复此楼