Znn3bq.jpeg
²é¿´: 27  |  »Ø¸´: 0

ÒåÇÌÉñÖÝ

гæ (³õÈëÎÄ̳)


[×ÊÔ´] ²»·â±ÕµÄIHC£¬Äã¸ÒÊÔÂð£¿Ò»·ÝÀ´×Ե¹úÑо¿ÍŶӵĿÉÐÐÐÔÑо¿½á¹û

ÔÚÃâÒß×éÖ¯»¯Ñ§£¨ihc£©ÊµÑéµÄ±ê×¼²Ù×÷Á÷³ÌÀ·â±ÕÊDZØ×öµÄÒ»²½¡£ÎÒÃÇϰ¹ßÓÚÔÚÒ»¿¹·õÓýǰ£¬ÓÃɽÑòѪÇ壨Óë¶þ¿¹Í¬Ô´£©»òbsa¶Ô×éÖ¯ÇÐÆ¬½øÐд¦Àí¡£ÆäÀíÂÛÒÀ¾ÝÊÇ£ºÄÚÔ´ÐÔfcÊÜÌå»áÓ뿹ÌåµÄfc¶Î½áºÏ£¬Òý·¢·ÇÌØÒìÐÔȾɫ¡£È»¶ø£¬ÕâÒ»±»¹ã·º½ÓÊܵġ°³£Ê¶¡±£¬È´ÏÊÓÐÑо¿È¥ÑéÖ¤ÆäÕæÎ±¡£

2011Ä꣬µÂ¹úºº±¤ÑªÒº²¡ÀíѧÑо¿ËùµÄÍŶÓÔÚscientific reportsÉÏ·¢±íÁËÒ»ÏîÁîÈËÉî˼µÄÎÄÕ¡£ËûÃÇͨ¹ýÑϽ÷µÄ¶ÔÕÕʵÑé֤ʵ£º³£¹æ¹Ì¶¨ºóµÄϸ°ûÓë×éÖ¯Ñù±¾ÖУ¬ÄÚÔ´ÐÔfcÊÜÌåÒÑɥʧ½áºÏ¿¹Ìåfc¶ÎµÄÄÜÁ¦£¬Í¬Ê±Àë×ÓÓëÊèË®Ï໥×÷ÓÃÒ಻»áÒý·¢¿¹Ìå·ÇÌØÒìÐÔ½áºÏ¡£Òò´Ë£¬ÃâÒß×黯Öд«Í³µÄɽÑòѪÇå¡¢bsa·â±Õ²½ÖèÊǷDZØÒªµÄ£¬Ê¡ÂԸò½Öèºó£º
²»»á²úÉú±³¾°È¾É«
²»Ó°ÏìÌØÒìÐÔȾɫ
¿É½ÚʡʵÑé³É±¾Óëʱ¼ä

¡¸ihcÕï¶ÏÊÒ¡¹µÚ9ÆÚ£¬ÎÒÃÇÒ»ÆðÀ´Ñ§Ï°ÕâÆªÎÄÕ£¬½áºÏʵÑé½á¹û£¬¹²Í¬Ì½ÌÖÃâÒß×黯ihc²Ù×÷ÖÐÊÇ·ñÐèÒª·â±Õ²½ÖèÄØ£¿

ÖÊÒɵįðµã£ºÒ»¸öÕÒ²»µ½Ô´Í·µÄ¡°³£Ê¶¡±
¿¹Ìå·ÇÌØÒìÐÔ½áºÏµ¼Ö±³¾°È¾É«£¬ÕâÒ»¹ÛµãÔÚѧÊõ½çÁ÷´«ÒѾá£fcÊÜÌ壨fc receptors, fcrs£©ÊÇʶ±ð¿¹Ìåfc¶Î²¢½éµ¼¶àÖÖЧӦ¹¦ÄܵĹؼü·Ö×Ó£¬ÀíÂÛÉÏȷʵ¿ÉÄÜÔÚihc¼ì²âÖÐÓ뿹Ìå·¢Éú½áºÏ¡£¾¡¹ÜÓдóÁ¿µÄÎÄÏ×Ìáµ½ÕâÒ»¹Ûµã£¬µ«ÊÇÑо¿ÍŶÓÈ´ÎÞ·¨×·Ëݵ½Æäԭʼ³ö´¦¡£
¸üÈÃÑо¿ÍŶӸе½·Ñ½âµÄÊÇĿǰµÄ·â±Õ²ßÂÔ¡£³£¹æ·â±ÕÊÇʹÓöþ¿¹À´Ô´ÖÖÊôµÄ5-10%Õý³£ÑªÇå½øÐзõÓý£¬ÒÔ×è¶Ï¿¹ÌåÓëfcÊÜÌåµÄ·ÇÌØÒìÐÔ½áºÏ¡£ËûÃÇÈÏΪÕâÒ»×ö·¨´æÔÚÂß¼­Â©¶´£ººÜ¶àÑо¿ÒÑ֤ʵɽÑòѪÇå¸ù±¾ÎÞ·¨ÓëÈËÀàϸ°û±íÃæµÄfcÊÜÌå½áºÏ£¬È»¶øÔÚÈËÀà×éÖ¯ÃâÒß¼ì²âÖУ¬¾ø´ó¶àÊýµÄ¶þ¿¹Ô´×ÔɽÑò¡£
¾¡¹ÜÈç´Ë£¬Õë¶ÔfcÊÜÌå»òÀë×Ó¡¢ÊèË®×÷Óý鵼µÄ·ÇÌØÒìÐÔ±³¾°½øÐзâ±Õ£¬ÈÔ±»ÊÓ×÷Ò»¿¹·õÓýǰ²»¿ÉÌø¹ýµÄ»·½Ú¡£¼¸ºõËùÓп¹ÌåÖÆÔìÉ̺ÍÖªÃûÃâÒß×黯ƽ̨£¨Èçihc world£©µÄ±ê×¼²Ù×÷Á÷³ÌÖУ¬¶¼°üº¬ÁË·â±Õ²½Öè¡£ÕâÖÖ¡°Ô¼¶¨Ë׳ɡ±Óë¿ÆÑ§Ö¤¾ÝÖ®¼äµÄºè¹µ£¬´ÙʹÑо¿ÍŶÓÕ¹¿ªÁËϵͳÐÔµÄÑéÖ¤¡£

ʵÑéÉè¼Æ£ºÓÃÊý¾Ý˵»°
Ϊ¶àά¶ÈÆÀ¹À·â±Õ²½ÖèµÄʵ¼ÊЧÓã¬Ñо¿ÍŶÓÉè¼ÆÁ˺­¸Ç¶àÖÖÑù±¾ÀàÐͺͼì²â·½·¨µÄʵÑé·½°¸£º
Ñù±¾ÀàÐÍ£ºÀä¶³ÓëʯÀ¯°üÂñ×éÖ¯ÇÐÆ¬¡¢Ï¸°ûÅàÑøµ¥²ã¡¢Ï¸°ûÀëÐÄͿƬ
¹Ì¶¨ÓëÐÞ¸´£ºÓÃÓÚʯÀ¯°üÂñµÄ×éÖ¯Ñù±¾Óú¬4%¶à¾Û¼×È©µÄpbsÈÜÒº¹Ì¶¨¡£ÇÐÆ¬ºñ¶ÈΪ4¦Ìm£¬¾­¶þ¼×±½ºÍÌݶÈÒÒ´¼ÍÑÀ¯ºó£¬ÔÚ¼ÒÓÃÕô¹øÖÐÓÚ95¡æÔÚ10mmÄûÃÊËáÄÆ»º³åÒº£¨ph 6.0£©ÖмÓÈÈ30·ÖÖÓ½øÐп¹Ô­ÐÞ¸´¡£±ù¶³×éÖ¯ÇÐÆ¬¡¢Ï¸°ûµ¥²ã¡¢ÑªÏ¸°ûͿƬºÍϸ°ûÀëÐÄͿƬÓÃ4%¼×È©¡¢¼×´¼»ò±ûͪ¹Ì¶¨ºó½øÐÐÃâÒßȾɫ¡£
·â±Õ´¦Àí£º5%-10%Õý³£É½ÑòѪÇå»ò1% bsa£¬¶ÔÕÕ×éʡȥ·â±Õ²½Öè¡£
¿¹ÌåÌåϵ£ºÑо¿Ê¹ÓÃÁË45ÖÖСÊ󵥿¹ºÍÍö࿹£¬ËùÓп¹Ìå¾ù°´ÕÕ˵Ã÷ÊéµÄ½¨ÒéʹÓá£Ò»¿¹µÄÖÕŨ¶ÈÔÚ1-5 ¦Ìg/ml¡£Ã÷³¡È¾É«²ÉÓÃhrp¼ì²âϵͳ£¬Ó«¹âÏÔɫʹÓÃÓëcy3¡¢alexa fluor-488¡¢alexa fluor-647µÈżÁªµÄɽÑò¶þ¿¹¡£¶þ¿¹µÄÖÕŨ¶ÈÔÚ5-10 ¦Ìg/ml¡£

ʵÑé½á¹û²ÉÓÃä·¨ÆÀ¹À£¬ÓÉÈýÃû¿ÆÑÐÈËÔ±¶ÀÁ¢ÅжÁÏàÁÚÇÐÆ¬£¨·â±Õ×évsδ·â±Õ×飩µÄȾɫ²îÒì¡£

½á¹û³ÊÏÖ£ºµß¸²ÈÏÖª
 1¡¢×éÖ¯ÇÐÆ¬ÎÞ²îÒì
¾­³£¹æ¹Ì¶¨£¨¼×È©¡¢±ûͪ¡¢¾Æ¾«£©µÄÈËÌå×éÖ¯Ñù±¾ÖУ¬Ê¡ÂÔ·â±Õ²½Öèºó£¬ËùÓп¹Ìå¾ùδ³öÏÖ·ÇÌØÒìÐÔ½áºÏµ¼Öµı³¾°È¾É«¡£¾ßÌåΪ£º
Àä¶³ÇÐÆ¬£ºÈËÉöÔàëϸѪ¹ÜÄÚÆ¤£¨cd34£©¡¢ÒÈÏÙ°©£¨ck8/18/19£©¡¢ÉöÔදÂö±Ú£¨¦Á-sma£©¾ùδ³öÏÖ·ÇÌØÒìÐÔȾɫ£¬±³¾°¸É¾»¡£
ʯÀ¯ÇÐÆ¬£ºÈ˱âÌÒÌ壨cd20£©¡¢ÄÔÐÇÐÎϸ°ûÁö£¨gfap£©¡¢Ñ×ÐÔ¹Ç×éÖ¯£¨col iv£©Í¬Ñùδ³öÏÖ·ÇÌØÒìÐÔ½áºÏ¡£
ÌØ±ðÖµµÃ×¢ÒâµÄÊÇ£¬¸»º¬½ºÔ­µÄ×éÖ¯£¨ÈçѪ¹ÜÖÐĤ¡¢¹Ç×éÖ¯£©³£±»µ£ÓÇ»áÒòiggÓë¼îÐÔ»ùÍŽáºÏ¶ø²úÉú±³¾°£¬µ«ÊµÑéÖи÷Àེԭ·á¸»µÄÑù±¾¾ùδ³öÏÖ¼ÙÑôÐÔÐźš£
²»·â±ÕµÄIHC£¬Äã¸ÒÊÔÂð£¿Ò»·ÝÀ´×Ե¹úÑо¿ÍŶӵĿÉÐÐÐÔÑо¿½á¹û

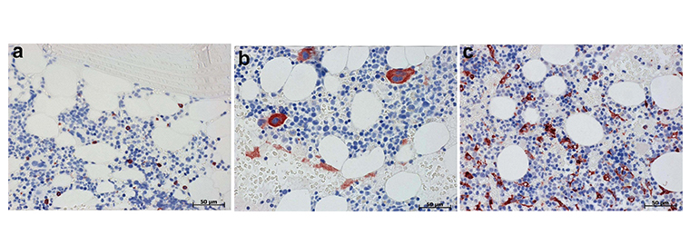
¾­³£¹æ¹Ì¶¨ºóδ½øÐзâ±Õ²½Ö裬ihcûÓзÇÌØÒìÐÔȾɫ¡£a-cΪÀä¶³×éÖ¯ÇÐÆ¬£¬·Ö±ðΪÈËÉöÔàëϸѪ¹ÜÄÚÆ¤£¨cd34£©¡¢ÈËÒÈÏÙ°©£¨ck8/18/19£©ºÍÈËÉöÔදÂö±Ú£¨¦Á-sma£©£¬d-fΪʯÀ¯×éÖ¯ÇÐÆ¬£¬·Ö±ðΪÈ˱âÌÒÌ壨cd20£©¡¢ÈËÄÔÐÇÐÎϸ°ûÁö£¨efap£©¡¢Ñ×ÐÔ¹Ç×éÖ¯£¨col iv£©¡£

 2¡¢fcÊÜÌ帻¼¯×éÖ¯£º¹Ø¼üÑéÖ¤
fcÊÜÌåÖ÷ÒªÔÚµ¥ºËϸ°û¡¢¾ÞÊÉϸ°û¡¢bϸ°û¡¢Ê÷ͻ״ϸ°û¡¢ÖÐÐÔÁ£Ï¸°ûºÍѪС°å±í´ï£¬Ñо¿ÈËÔ±¶ÔÕâЩϸ°û·á¸»µÄ¹ÇË衢ƢÔà¡¢±âÌÒÌåºÍѪϸ°ûÑù±¾½øÐÐÖØµã¼ì²â¡£ÕýÈçÈ˱âÌÒÌåµÄcd20ºÍ¹ÇËèµÄcd20¡¢cd61¡¢cd68 ihc½á¹ûËùʾ£¬Î´¾­·â±ÕµÄ×éÖ¯Ñù±¾ÖÐûÓй۲쵽·ÇÌØÒìÐÔȾɫ£¬ÔÚÒõÐÔ¶ÔÕÕÖÐҲδ¹Û²ìµ½¡£Òò´ËÍÆ¶Ï£¬¾­¹ý³£¹æ¹Ì¶¨ºó£¬ÄÚÔ´ÐÔfcÊÜÌåɥʧÁËÓëigg¿¹Ìåfc¶Î½áºÏµÄÄÜÁ¦¡£
²»·â±ÕµÄIHC£¬Äã¸ÒÊÔÂð£¿Ò»·ÝÀ´×Ե¹úÑо¿ÍŶӵĿÉÐÐÐÔÑо¿½á¹û-1
ÔÚ³£¹æ¹Ì¶¨µÄ¹ÇËè±ê±¾ÖУ¬Ê¡ÂÔ·â±Õ²½Öèºó£¬ËùÓп¹Ì壨cd20¡¢cd61¡¢cd68£©Î´³öÏÖ·ÇÌØÒìÐÔ½áºÏ¡£a bÁܰÍϸ°û£¬b¾ÞºËϸ°ûºÍѪС°å£¬cµ¥ºË/¾ÞÊÉϸ°û¼°Ê÷ͻ״ϸ°û¡£

 3¡¢¶àÖØÈ¾É«£º¸´ÔÓÌåϵÑéÖ¤
ΪÅųý¼ì²âϵͳµÄ¾ÖÏÞÐÔ£¬Ñо¿ÈËÔ±½øÒ»²½²ÉÓöàÖØÓ«¹âÃâÒßȾɫ½øÐÐÑéÖ¤¡£½á¹ûÏÔʾ£¬ÎÞÂÛÊDzÉÓÃÓ«¹âȾÁÏżÁª¿¹Ì廹ÊÇÁ´Ã¹ËØÇ׺ÍËØ¿¹Ì壬½øÐе¥±ê»ò¶àÖØÓ«¹âÃâÒß±ê¼Ç£¬Ê¡ÂÔ·â±Õ²½Öè¾ùδ²úÉú·ÇÌØÒìÐÔȾɫ¡£ÕâÒ»½á¹ûͨ¹ýÈËÈéÏÙÁÛ°©×éÖ¯ÖеÄϸ°û½Çµ°°×5£¨cytokeratin 5, ck5£©¡¢ck10¡¢ck14µÄÈýÖØÃâÒßÓ«¹âȾɫµÃµ½Ö¤Êµ¡£
²»·â±ÕµÄIHC£¬Äã¸ÒÊÔÂð£¿Ò»·ÝÀ´×Ե¹úÑо¿ÍŶӵĿÉÐÐÐÔÑо¿½á¹û-2


ÈËÈéÏÙÁÛ°©Î´¾­·â±ÕµÄck5¡¢ck10¡¢ck14µÄÃâÒßÓ«¹âÈýÖØÈ¾É«½á¹û¡£a ck14£¨alexa 488£¬ÂÌɫͨµÀ£©£¬b ck10£¨cy3£¬ºìɫͨµÀ£©£¬c ck5£¨alexa 647£¬·ÛɫͨµÀ£©£¬dºÏ³ÉͼÏñ

 4¡¢ÊµÑ鶯ÎïÑù±¾£º½á¹ûÏàͬ
ËäÈ»±¾´ÎʵÑéÖ÷ÒªÕë¶ÔÈËÀ໼ÕßµÄ×éÖ¯Ñù±¾£¬µ«ihc¸ü¶àµÄÑù±¾À´×ÔʵÑ鶯ÎÆäÖÐÄö³ÝÀදÎïÊdz£ÓõÄʵÑé²ÄÁÏ¡£Òò´Ë£¬Ñо¿ÈËÔ±¶ÔÐÂÉú´óÊóÅàÑøµÄÐļ¡Ï¸°û¡¢Ð¡ÊóºÍ´óÊóµÄ×éÖ¯Ñù±¾£¬ÒÔ¼°Å£ºÍÖíµÄ×éÖ¯Ñù±¾½øÐÐÁËÏàͬµÄÃâÒß¼ì²â£¬½á¹û·¢ÏÖ£¬Ê¡È¥·â±Õ²½Öè²»»á²úÉú·ÇÌØÒìÐÔ±³¾°È¾É«¡£ÕâÒ»½á¹ûÓëÈËÀàϸ°ûºÍ×éÖ¯Ñù±¾µÄÒ»Ö¡£
²»·â±ÕµÄIHC£¬Äã¸ÒÊÔÂð£¿Ò»·ÝÀ´×Ե¹úÑо¿ÍŶӵĿÉÐÐÐÔÑо¿½á¹û-3
ʵÑ鶯Îïϸ°û¼°×éÖ¯Ñù±¾Î´½øÐзâ±ÕµÄÃâÒß×黯Ⱦɫ½á¹û¡£aÐÂÉú´óÊóÐļ¡Ï¸°û£¨desmin£©£¬b´óÊóÖ÷¶¯Âö±Ú£¨¦Á-sma£©£¬cСÊóÆ¢Ôࣨki67£©£¬dСÊ󳦵À£¨ki67£©


ѧÊõºôÓ¦£ºÀ´×ÔÁíÒ»Ïî¶ÀÁ¢Ñо¿µÄÖ§³Ö
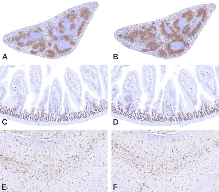
ÎÞ¶ÀÓÐż£¬2018ÄêÃÀ¹úkyathanahalli s. janardhanÍŶÓÔÚtoxicol pathol·¢±íµÄ×ÛÊöÎÄÕ£¬½øÒ»²½Ö§³ÖÁËÕâÒ»¹Ûµã¡£ÆäÊý¾ÝÏÔʾ£¬ÔÚСÊóÆ¢Ôࣨpax5£©¡¢Ð¡³¦£¨ki67£©ºÍÄÔ×éÖ¯£¨gfap£©ÇÐÆ¬ÖУ¬ÎÞÂÛÊÇ·ñ½øÐзâ±Õ£¬¾ùδ³öÏÖ·ÇÌØÒìÐÔȾɫ£¬È¾É«½á¹û¸ß¶ÈÒ»Ö£¬ÊÓ¾õÉÏÄÑÒÔÇø·Ö¡£
²»·â±ÕµÄIHC£¬Äã¸ÒÊÔÂð£¿Ò»·ÝÀ´×Ե¹úÑо¿ÍŶӵĿÉÐÐÐÔÑо¿½á¹û-4
¸£¶ûÂíÁ̶ֹ¨µÄʯÀ¯°üÂñ×éÖ¯ÇÐÆ¬ÖУ¬Ê¹ÓÃѪÇå»òÆäËüÊÔ¼Á½øÐзâ±Õ²¢·Ç¹Ø¼ü²½Ö衣СÊóÆ¢Ôࣨa¡¢b£©¡¢Ð¡³¦£¨c¡¢d£©¡¢ÄÔ£¨e¡¢f£©ÇÐÆ¬·Ö±ðÓÃpax5¡¢ki67ºÍgfap¿¹Ìå½øÐÐȾɫ£¬×ó²àÇÐÆ¬ÔÚÒ»¿¹·õÓýǰÓÃ10%Õý³£ÑªÇå·â±Õ£¬ÓÒ²àÇÐÆ¬Î´½øÐзâ±Õ¡£


½áÂÛÓëÆôʾ£ºÖØÐÂÉóÊÓ¡°±ê×¼²Ù×÷¡±
±¾Ñо¿Í¨¹ýϵͳµÄ¶ÔÕÕʵÑ飬µÃ³öÁËÓëÖ÷Á÷¹ÛµãÏàã£È´Ö¤¾Ý³ä·ÖµÄ½áÂÛ£º

¾­¼×È©¡¢±ûͪ»ò¾Æ¾«³£¹æ¹Ì¶¨ºó£¬ÄÚÔ´ÐÔfcÊÜÌåɥʧÓëigg¿¹Ìåfc¶Î½áºÏµÄ»îÐÔ£»Í¬Ê±£¬¹Ì¶¨ºóµÄÑù±¾Ò²²»»á·¢ÉúÓÉÊèË®×÷ÓûòÀë×ÓÏ໥×÷Óý鵼µÄ·ÇÌØÒìÐÔ½áºÏ¡£Òò´Ë£¬ÃâÒß×黯ÖеĴ«Í³·â±Õ²½Öè²¢·Ç±ØÒª¡£
¸üÉî²ãµÄÆôʾ£ºÕâÏîÑо¿ÌáÐÑÎÒÃÇ£¬ÊµÑéÊÒÖеġ°±ê×¼²Ù×÷¡±¿ÉÄÜÔ´ÓÚÀúÊ·ÑØÏ®¶ø·Çʵ֤»ù´¡¡£Ëæ×Å¿¹ÌåÖÆ±¸¼¼ÊõºÍÃâÒß¼¼ÊõµÄ·¢Õ¹£¬ÎÒÃÇÓ¦ÒÔÅúÅÐÐÔ˼άÉóÊÓÿһ¸öʵÑé²½Ö裬»òÐíÄܹ»·¢ÏÖ¸ü¶àµÄÓÅ»¯¿Õ¼ä£¬½ÚʡʵÑé³É±¾£¬¼Ó¿ì¿ÆÑнø¶È¡£


»¥¶¯ÓÐÀñ
¹ØÓÚihc·â±Õ£¬´ó¼Ò»¹ÓÐÄÄЩ¹Ø×¢µÄ»°ÌâÂ𣿿ÉÒÔÔÚÆÀÂÛÇøÁôÑÔ¡£

²Î¿¼ÎÄÏ×£º
1. buchwalow et al. non-specific binding of antibodies in immunohistochemistry: fallacies and facts. sci. rep. 2011. doi:10.1038/srep00028

2. janardhan et al. immunohistochemistry in investigative and toxicologic pathology. toxicol pathol. 2018. doi:10.1177/0192623318776907
»Ø¸´´ËÂ¥

» ±¾Ìû¸½¼þ×ÊÔ´Áбí

» ²ÂÄãϲ»¶

» ±¾Ö÷ÌâÏà¹ØÉ̼ÒÍÆ¼ö: (ÎÒÒ²ÒªÔÚÕâÀïÍÆ¹ã)

ÒÑÔÄ   »Ø¸´´ËÂ¥   ¹Ø×¢TA ¸øTA·¢ÏûÏ¢ ËÍTAºì»¨ TAµÄ»ØÌû
Ïà¹Ø°æ¿éÌø×ª ÎÒÒª¶©ÔÄÂ¥Ö÷ ÒåÇÌÉñÖÝ µÄÖ÷Ìâ¸üÐÂ
¡î ÎÞÐǼ¶ ¡ï Ò»ÐǼ¶ ¡ï¡ï¡ï ÈýÐǼ¶ ¡ï¡ï¡ï¡ï¡ï ÎåÐǼ¶
×î¾ßÈËÆøÈÈÌûÍÆ¼ö [²é¿´È«²¿] ×÷Õß »Ø/¿´ ×îºó·¢±í
[¿¼ÑÐ] Çóµ÷¼Á +4 ôæôæÒ»ÊéÉú 2026-04-09 4/200 2026-04-10 00:07 by lwk2004
[¿¼ÑÐ] ²ÄÁÏÀà284µ÷¼Á +32 Ïë»»ÊÖ»ú²»Ïë½âÊ 2026-04-08 37/1850 2026-04-09 23:20 by parmtree
[¿¼ÑÐ] 083200 305·Ö Çó¶þÂÖµ÷¼Á ²»½ÓÊÜ¿çרҵ +3 Claireyyyy 2026-04-09 3/150 2026-04-09 23:17 by xiaohe123
[¿¼ÑÐ] 283Çóµ÷¼Á +19 ÄǸöàà×Ó 2026-04-09 19/950 2026-04-09 20:59 by 286640313
[¿¼ÑÐ] 301Çóµ÷¼Á +3 XYPLR 2026-04-05 5/250 2026-04-09 20:55 by lbsjt
[¿¼ÑÐ] 070300»¯Ñ§ Çóµ÷¼Á +13 73372112 2026-04-08 13/650 2026-04-09 20:22 by maddjdld
[¿¼ÑÐ] ²ÄÁÏ»¯¹¤×Ü·Ö334Çóµ÷¼Á +16 Riot2025 2026-04-08 17/850 2026-04-09 20:19 by maddjdld
[¿¼ÑÐ] 085501»úеӢ¶þ77×Ü·Ö294Çóµ÷¼Á£¬½ÓÊÜ¿çרҵѧϰ +6 ÊØ·¨¹«ÃñØÁ¼Í 2026-04-08 6/300 2026-04-09 15:55 by wp06
[¿¼ÑÐ] 086004 Çóµ÷¼Á 309 +7 Yin DY 2026-04-08 7/350 2026-04-09 13:59 by Delta2012
[¿¼ÑÐ] 277Çóµ÷¼Á +16 Äß½¨Éè 2026-04-06 16/800 2026-04-08 21:28 by zhouxiaoyu
[¿¼ÑÐ] ÉúÎïµ÷¼Á +5 ³È×Ó³È×Ó³È×Ó°¡ 2026-04-05 9/450 2026-04-07 15:31 by Éϰ¶¿ì¿ì
[¿¼ÑÐ] Ò»Ö¾Ô¸±±¾©»¯¹¤085600 310·ÖÇóµ÷¼Á +20 0856²ÄÁÏÓ뻯¹¤3 2026-04-04 22/1100 2026-04-07 15:14 by Éϰ¶¿ì¿ì
[¿¼ÑÐ] 307Çóµ÷¼Á +3 Youth@@ 2026-04-07 3/150 2026-04-07 09:25 by СºÚ²»ÅÂÄÑ
[¿¼ÑÐ] һ־Ը̫ԭÀí¹¤´óѧ¼ÆËã»ú¼¼Êõר˶348£¬Çóµ÷¼ÁÖ¸µ¼ +3 nexious 2026-04-05 3/150 2026-04-07 08:19 by jp9609
[¿¼ÑÐ] Çóµ÷¼Á +4 µçÆøÐ¡Éñͯ 2026-04-04 6/300 2026-04-07 00:14 by guanxin1001
[¿¼ÑÐ] 070300»¯Ñ§Ñ§Ë¶311·ÖÇóµ÷¼Á +11 Áº¸»¹óÏÕÖÐÇó 2026-04-04 13/650 2026-04-06 07:24 by houyaoxu
[¿¼ÑÐ] µ÷¼Á +3 Àî¹ã»ð 2026-04-05 3/150 2026-04-05 18:57 by À¶ÔÆË¼Óê
[¿¼ÑÐ] Çóµ÷¼Á +4 êɹ¦? 2026-04-03 4/200 2026-04-04 21:58 by hemengdong
[¿¼ÑÐ] ÇóÉúÎïѧרҵµ÷¼Á-332·Ö +5 ÔÆ¶äåÞÍäÖ¸ÄÏ 2026-04-04 5/250 2026-04-04 10:05 by rzh123456
[¿¼ÑÐ] 081200-11408-276ѧ˶Çóµ÷¼Á +5 ´Þwj 2026-04-03 5/250 2026-04-03 15:06 by arrow8852
ÐÅÏ¢Ìáʾ
ÇëÌî´¦ÀíÒâ¼û