24小时热门版块排行榜    

Znn3bq.jpeg
北京石油化工学院2026年研究生招生接收调剂公告
查看: 18  |  回复: 0

义翘神州

新虫 (初入文坛)


[资源] 免疫组化(IHC)实验总遇难题,根源竟在封闭?

免疫组化(ihc)作为生物和医学研究中定位蛋白表达的常用技术,其结果的特异性与准确性将直接决定后续研究的可靠性与深度。然而,ihc操作步骤繁琐,我们常常因某一环节的疏忽而陷入困境。
封闭(blocking)常被定义为“简单辅助步骤”而被草率对待。但是,当您的实验频繁遭遇假阳性、假阴性或高背景困扰时,根源可能就藏在这被低估的操作里。对封闭液作用机制的理解不足、使用方法不当,或是忽略了样本的组织特异性,都有可能影响ihc结果准确性。
「ihc诊断室」第8期,一起来梳理封闭操作的原理及作用机制。
一、封闭技术的诞生
封闭概念最早来源于免疫组化。早在20世纪30年代,ihc的原理就已为学界所熟知。但直到1942年,第一个ihc研究成果才正式发表。哈佛大学医学院免疫学家albert h. coons团队开创性地利用fitc标记的抗体,成功鉴定了感染组织中的肺炎球菌抗原。

随着ihc技术的应用范围扩大,研究人员发现非特异性结合、背景信号高等问题严重影响了染色结果的准确性。通过使用正常兔血清消除抗体的非特异性结合,成功攻克这一难题,为生物化学带来了全新的概念:封闭液。
随着免疫学技术的日新月异,封闭已成为ihc、wb、elisa、流式细胞术等实验流程中不可或缺的标准环节。1984年,david a. johnson团队在western blot实验中创新性地采用blott(bovine lacto transfer technique optimizer,即5%脱脂奶粉)替代早期的鱼精dna和denhardt's试剂作为封闭液。研究证实,该方案在降低非特异性结合方面显著优于明胶,能够有效抑制背景信号,为后续实验优化提供了新思路。
免疫组化(IHC)实验总遇难题,根源竟在封闭?


二、封闭定位:因何封?何时封?如何封?
理解封闭在整体流程中的定位,是掌握这项技术的第一步。
若封闭操作不当易出现以下两种情况:
封闭不足,导致高背景
封闭不充分会导致抗体与样本中的蛋白发生非特异性结合,导致背景弥漫性,而非特定结构(如细胞核、胶原纤维)选择性着色。若出现细胞核或胶原纤维等特定结构的染色,还需排查一抗特异性不足、二抗交叉反应、内源性物质干扰等因素。
假阴性,没有信号
这种情况较少见,主要原因是封闭液中含有能与一抗(或二抗)发生交叉反应的成分,抗体难以与目的蛋白结合。
免疫组织化学(ihc)与免疫细胞化学(icc)的实验流程高度相似,封闭操作位于样本制备完成和一抗孵育之前。这一环节还可以细分为灭活和封闭两步。灭活旨在消除细胞或组织中的内源性酶及其他活性物质,常用3%双氧水室温处理10min。封闭的核心目的是阻断切片上的非特异性位点与抗体结合,常用3-5%的bsa或二抗同种属的正常血清,室温孵育30min。
免疫组化(IHC)实验总遇难题,根源竟在封闭?-1

灭活与封闭操作步骤
step 1:将切片放入染色缸中,浸入3%过氧化氢溶液中10min
step 2:用0.1% tbs-tween(即tbst)洗片3次
step 3:用无尘纸擦干组织切片周围的水渍,用免疫组化笔在组织周围画圈,组织与圈线之间保留一定间隙
step 4:画圈后,切片立即在0.1% tbst中快速浸洗一次
step 5:每片加3-5滴封闭液,室温孵育15-30min。置于装有去离子水的湿盒中,滴加封闭液后立即盖紧
三、封闭到底在封什么?
封闭的本质是通过添加惰性蛋白或试剂,占据样本中潜在的非特异结合位点。理想的封闭液应具备:能封闭所有非特异性位点,同时不掩盖表面上的靶蛋白、不结合靶蛋白表位、不与抗体或检测试剂发生交叉反应。ihc实验通常包含一个或多个封闭步骤,包括非特异封闭、生物素封闭、内源酶封闭、自发荧光封闭,以降低背景信号并减少假阳性。
根据ihc实验的不同需求,封闭可分为四大类型,每种都有其特定的应用场景:
1封闭非特异性位点
这是封闭的“核心使命”。样本中的非特异性结合主要由疏水作用或离子相互作用介导,封闭液中的蛋白能够与这些非特异性位点结合,降低抗体与非靶蛋白的结合几率。理论上,不与靶抗原或检测中使用的抗体及其它检测试剂发生特异性结合的蛋白质都可以用于封闭。但在实验操作中,一些蛋白在中性ph条件下更容易发生非特异性结合,因此常用于封闭,如正常血清、牛血清白蛋白(bsa)、脱脂奶粉等,酪蛋白、明胶等也可用作封闭液。封闭液一般用pbs、pbst或者tbst进行稀释。
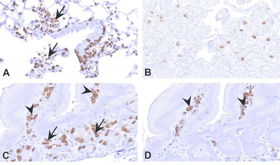
典型非特异性染色案例
a. 小鼠肺组织中性粒细胞出现ki67抗体非特异性染色
b. 大鼠子宫组织肥大细胞非特异性染色
c-d. 小鼠肠道固有层浆细胞棕色染色(省去一抗仅加二抗仍有信号,确认为非特异性结合)
免疫组化(IHC)实验总遇难题,根源竟在封闭?-2
非特异性染色的典型案例。a小鼠肺组织的中性粒细胞出现ki67抗体的非特异性染色;b大鼠子宫组织肥大细胞出现非特异性染色;c-d小鼠肠道组织中固有层浆细胞出现棕色,省去一抗仅加二抗仍有棕染,确定存在非特异性染色。箭头所指为非特异性染色。(图片源自kyathanahalli s. janardhan et al. 2018. doi:10.1177/0192623318776907)
2灭活内源性过氧化物酶
肝脏、肾脏及其它血管丰富的组织中,内源性过氧化物酶活性较高。若使用hrp标记二抗进行检测,这些内源酶会与其反应,导致背景信号飙升。为有效阻断这一干扰源,常规做法是在封闭前用3%-10%的过氧化氢溶液处理切片,彻底灭活内源性过氧化物酶活性。
讨论:
部分文献建议在二抗孵育前进行灭活。您认为哪一步进行更合理呢?
免疫组化(IHC)实验总遇难题,根源竟在封闭?-3
封闭过氧化物酶对减少非特异性染色的影响。a和b分别为未封闭和封闭过氧化氢酶的肾脏组织切片;c和d分别为未封闭的脾脏和肝脏组织切片,箭头所指为非特异性染色。(图片源自kyathanahalli s. janardhan et al. 2018. doi:10.1177/0192623318776907)

3灭活内源性碱性磷酸酶
若使用碱性磷酸酶(ap)标记二抗进行检测,需先评估样本中是否存在内源性碱性磷酸酶。如肾脏、肠道、成骨细胞等组织及冷冻样本通常具有较高的内源性碱性磷酸酶活性。判断方法简单:设置省去一抗和二抗孵育的空白对照,仅将样本与底物孵育。如果样本出现着色即需要进行灭活处理。盐酸左旋咪唑或盐酸四咪唑等ap抑制剂是常用的灭活试剂。
重点提醒:使用ap标记二抗进行检测时,所有后续步骤(包括封闭、一抗/二抗稀释、洗涤)都应使用tbs缓冲体系,严禁使用pbs,因为pbs中的磷酸盐会强烈抑制碱性磷酸酶的活性,导致无信号或信号极弱。
4封闭内源性生物素
当采用abc法或lsab法进行ihc实验时,会使用生物素标记的二抗。内源性生物素同样会与检测体系发生反应,引发假阳性。因此在检测肝脏、肾脏等含有较高水平内源性生物素的组织时,建议使用亲和素/生物素预处理。
解决方案:先用亲和素封闭内源性生物素,随后需加入生物素进行孵育,以封闭亲和素分子上剩余的生物素结合位点,避免干扰后续检测。
封闭类型速查表:
免疫组化(IHC)实验总遇难题,根源竟在封闭?-4

四、封闭问题的诊断与排查
当ihc出现无信号结果时,如何快速判断是封闭所致的呢?以下两组对照实验助你锁定问题根源:
1,无封闭组
省去封闭步骤,其余操作保持不变。如果该组有信号且背景较高,说明原方案存在封闭过度的问题,需要优化封闭液的浓度和孵育时间。如果该组仍然没有信号,则问题不在封闭,需排查抗原修复、一抗效价等环节。
2,更换封闭液
将原封闭液换成其他类型,如将脱脂奶粉换成bsa。如果实验信号恢复正常,则说明原封闭液存在种属交叉反应或变质。
通过这两组简单的对照,您可以快速排除或确认封闭因素,避免在抗体稀释、抗原修复等步骤上盲目摸索,节省实验时间和费用。
五、让封闭成为ihc成功的助推器而非绊脚石
回顾全文,封闭操作并非简单的“按流程走”,而是需要综合考量靶蛋白类型、丰度、定位及显色检测方法。成功的封闭策略应涵盖以下三个要素:
1,匹配性:
封闭液的种类、浓度须与二抗来源、酶标二抗种类、靶蛋白特性高度契合,形成精准匹配。ap系统忌用pbs,生物素系统慎用脱脂奶粉,多重染色需要根据一抗种属组合,选择相应的正常血清混合使用。
2,针对性:
不同组织的内源性干扰物存在差异,需要提前了解样本特性,制定专属的封闭方案。
3,灵活性:
根据预实验结果及时调整封闭策略,背景高则延长封闭时间或提高封闭液浓度,信号弱则尝试更好封闭液或优化封闭时间和浓度。
基于以上原则,一些特殊的靶蛋白需要特殊对待:
如egfr、her2、pd-l1等膜蛋白或受体蛋白,暴露的表位有限,强封闭会遮掩胞外结构域,推荐使用3-5% bsa或低浓度血清,时间控制在30min,可视具体情况缩短。
表达丰度低的蛋白要缩短封闭时间或降低封闭液浓度,并增加洗剂强度。优化封闭可避免靶蛋白信号被过度抑制,增加洗剂次数可减少非特异性结合,在信号和背景间达到平衡。
对于核蛋白或转录因子来说,出现核区泛染的可能性较高。建议在封闭液中添加低浓度的去污剂,增强封闭的针对性,减少核区非特异性结合。
血清中含有大量的分泌蛋白和细胞外基质(ecm)蛋白,易引发交叉反应。在检测分泌蛋白或ecm蛋白时,推荐使用bsa或无蛋白商业化封闭液。
血清中的糖基成分易干扰抗体或凝集素与靶蛋白结合,在对糖基化蛋白或细胞表面糖蛋白进行检测时,优先选用bsa或化学封闭剂,避免糖基交叉反应。
end
封闭这一看似“无足轻重”的步骤常常被科研人员所忽略,他们宁愿花费大量的时间和精力投入到调整抗体稀释比例、优化抗原修复等环节,也不愿在封闭上“驻足10分钟”。然而,ihc实验的成功建立在对每一个环节的精细把控上。封闭正是阻断非特异性结合、区分信号与噪音的关键。
充分理解封闭操作的原理及作用机制,建立系统的优化策略,才能有效避免假阳性、假阴性、高背景等常见困扰,让ihc技术成为蛋白定位研究中真正的可靠工具。好的实验,始于对细节的尊重。
互动有礼
关于ihc封闭,大家还有哪些关注的话题吗?可以在评论区留言,我们将会根据高赞内容,在后续的公众号中进行分享。
回复此楼

» 本帖附件资源列表

» 猜你喜欢

» 本主题相关商家推荐: (我也要在这里推广)

已阅   回复此楼   关注TA 给TA发消息 送TA红花 TA的回帖
相关版块跳转 我要订阅楼主 义翘神州 的主题更新
☆ 无星级 ★ 一星级 ★★★ 三星级 ★★★★★ 五星级
普通表情 高级回复 (可上传附件)
最具人气热帖推荐 [查看全部] 作者 回/看 最后发表
[考研] 266求调剂 +4 08电气工程 2026-04-03 4/200 2026-04-08 15:57 by 向9755
[考研] 材料专硕322分 +12 哈哈哈吼吼吼哈 2026-04-02 12/600 2026-04-08 11:43 by 1753564080
[考研] 326分,一志愿沪9,求生物学调剂 +4 刘墨墨 2026-04-05 4/200 2026-04-08 06:22 by lijunpoly
[考研] 326求调剂 +5 9ahye 2026-04-02 6/300 2026-04-07 21:37 by lijunpoly
[考研] 305分求调剂 +3 哈_哈_哈_哈_哈 2026-04-04 5/250 2026-04-07 14:49 by 哈_哈_哈_哈_哈
[考研] 372分材料与化工(085600)英二数二求调剂 +4 蓝笺片 2026-04-06 4/200 2026-04-07 12:30 by dongzh2009
[考研] 求调剂 +11 xzghyuj 2026-04-04 11/550 2026-04-06 11:49 by lijunpoly
[考研] 考研调剂 +3 mcbbc 2026-04-04 3/150 2026-04-05 10:03 by barlinike
[考研] 353求调剂 +10 MayUxw1 2026-04-03 10/500 2026-04-05 09:23 by 无际的草原
[考研] 295求调剂 +4 A你好研究生 2026-04-04 5/250 2026-04-04 22:46 by yu221
[考研] 320求调剂 +3 一样圆 2026-04-04 3/150 2026-04-04 22:29 by 啵啵啵0119
[考研] 085400电子信息319求调剂(接受跨专业调剂) +5 星星不眨眼喽 2026-04-03 6/300 2026-04-04 21:50 by hemengdong
[考研] 333求调剂 +12 wfh030413@ 2026-04-03 13/650 2026-04-04 21:02 by jj987
[考研] 338求调剂 +7 晟功? 2026-04-03 7/350 2026-04-04 20:37 by 蓝云思雨
[考研] +5 雾与海 2026-04-02 6/300 2026-04-04 19:53 by 蓝云思雨
[考研] 071000生物学调剂 +8 知昭蔓 2026-04-02 8/400 2026-04-03 10:36 by macy2011
[考研] 312求调剂 +4 赊月色 2026-04-02 5/250 2026-04-03 08:21 by fangshan711
[考研] 材料340分调剂 +7 夏夜晚风_long 2026-04-02 9/450 2026-04-02 21:20 by dongzh2009
[考研] 一志愿山东大学,085600,344 +7 魏子per 2026-04-02 8/400 2026-04-02 21:12 by 百灵童888
[考研] 298求B区调剂 +4 zzz,,r 2026-04-02 5/250 2026-04-02 12:17 by 土木硕士招生
信息提示
请填处理意见