Znn3bq.jpeg
²é¿´: 220  |  »Ø¸´: 0
¡¾ÐüÉͽð±Ò¡¿»Ø´ð±¾ÌûÎÊÌ⣬×÷Õßxpq151½«ÔùËÍÄú 5 ¸ö½ð±Ò

xpq151

гæ (³õÈëÎÄ̳)

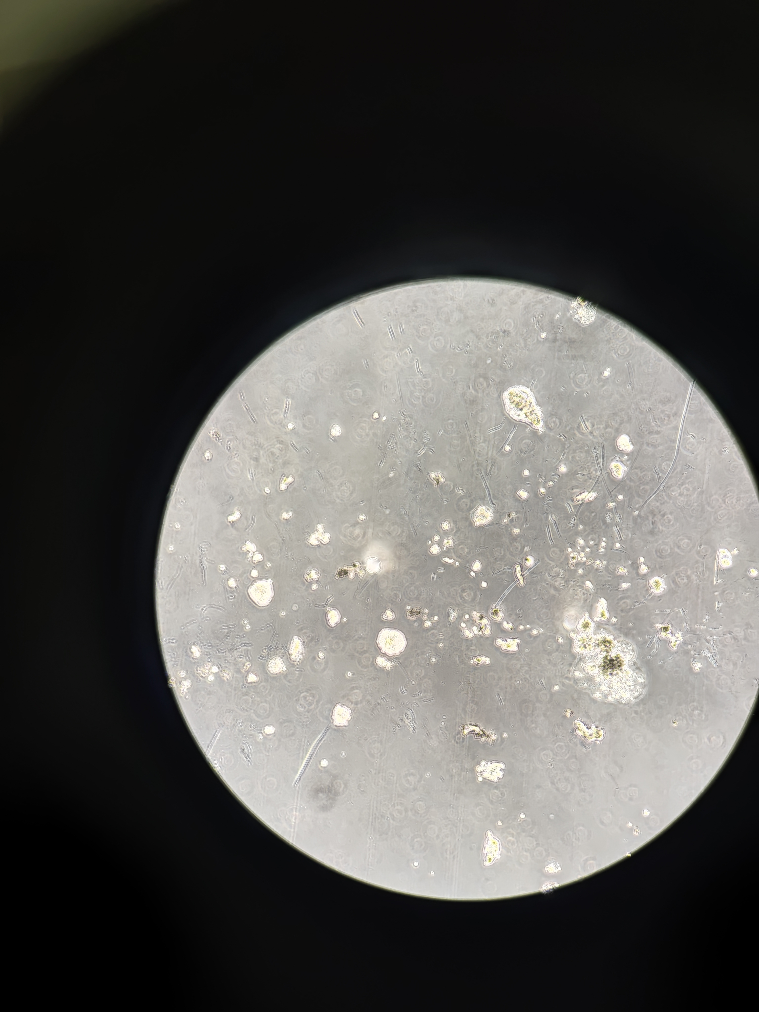
[ÇóÖú] ÇóÖú£ºÈ®PBMCÖ±½ÓÅàÑøNKϸ°û£¬T25Æ¿Ñø£¬Ï¸°û³¤ÉÙ¡¢±È½ÏÏ¡¡£

¸÷λ×öÈ®NKϸ°ûÅàÑøµÄǰ±²£¬Çë½Ìһϣº
ÎÒÓÃÈ®PBMCÖ±½ÓÅàÑøNKϸ°û£¬Î´´ÅÖé·ÖÑ¡£¬T25Æ¿ÅàÑø£¬ÏÖÔÚϸ°û³¤µÃ±È½ÏÏ¡¡¢²»Ãܼ¯£¬ÔöÖ³Ò»°ã¡£
1. È®NKϸ°û£¬T25ƿһ°ã½ÓÖÖ¶àÉÙPBMC±È½ÏºÏÊÊ£¿
2. ÄãÃÇÑøÈ®NKϸ°ûÓõÄѪÇåŨ¶ÈÊǶàÉÙ£¿
3. ÓÐûÓÐʲô°ì·¨ÄÜÈÃϸ°û״̬¸üºÃ¡¢³¤µÃ¸üÃÜ£¿
ÅàÑø»ùÓõÄÊÇRPMI 1640£¬¼ÓÁËIL-2£¬IL-15Ŀǰ½ÓÖÖÁ¿Æ«µÍ£¬Ï¸°û¿´×źÜÏ¡¡£
Ï£ÍûÓо­ÑéµÄǰ±²Ö¸µãһϣ¬·Ç³£¸Ðл£¡

ÇóÖú£ºÈ®PBMCÖ±½ÓÅàÑøNKϸ°û£¬T25Æ¿Ñø£¬Ï¸°û³¤ÉÙ¡¢±È½ÏÏ¡¡£
»Ø¸´´ËÂ¥

» ²ÂÄãϲ»¶

ÒÑÔÄ   »Ø¸´´ËÂ¥   ¹Ø×¢TA ¸øTA·¢ÏûÏ¢ ËÍTAºì»¨ TAµÄ»ØÌû
Ïà¹Ø°æ¿éÌø×ª ÎÒÒª¶©ÔÄÂ¥Ö÷ xpq151 µÄÖ÷Ìâ¸üÐÂ
²»Ó¦Öú È·¶¨»ØÌûÓ¦Öú (×¢Ò⣺ӦÖú²Å¿ÉÄܱ»½±Àø£¬µ«²»ÔÊÐí¹àË®£¬±ØÐëÌîд15¸ö×Ö·ûÒÔÉÏ)
×î¾ßÈËÆøÈÈÌûÍÆ¼ö [²é¿´È«²¿] ×÷Õß »Ø/¿´ ×îºó·¢±í
[¿¼ÑÐ] 286Çóµ÷¼Á +8 ²Ýľ²»ÑÔ 2026-04-04 9/450 2026-04-10 23:29 by dc19971224
[¿¼ÑÐ] 290Çóµ÷¼Á +6 luoziheng 2026-04-10 6/300 2026-04-10 23:22 by babysonlkd
[¿¼ÑÐ] ²ÄÁÏ085601µ÷¼Á +25 ºÎÈó²É123 2026-04-10 27/1350 2026-04-10 23:17 by Ftglcn90
[²ÄÁϹ¤³Ì] ²ÄÁϵ÷¼ÁÍÆ¼ö +8 µ°¸âx2 2026-04-07 8/400 2026-04-10 23:13 by Ftglcn90
[¿¼ÑÐ] Ò»Ö¾Ô¸¿ó´ó£¬²ÄÁϹ¤³Ìר˶314·Ö£¬0856¿Éµ÷¶¼¿ÉÒÔ +15 ÎÞи¿É»÷µÄ¾ÞÈË 2026-04-09 15/750 2026-04-10 18:10 by hmn_wj
[¿¼ÑÐ] ±¾¿ÆÎ÷¹¤´ó 0856 324Çóµ÷¼Á +10 wysyjs25 2026-04-09 11/550 2026-04-10 08:37 by 5268321
[¿¼ÑÐ] 316Çóµ÷¼Á +3 Ïë¶ÁÑо¿Éú( ?¡ß 2026-04-07 3/150 2026-04-09 17:31 by wp06
[¿¼ÑÐ] Ò»Ö¾Ô¸Ö£ÖÝ´óѧ 22408 305·ÖÇóµ÷¼Á +3 °²Ð¡Âúzzz 2026-04-08 3/150 2026-04-09 16:16 by wp06
[¿¼ÑÐ] 085600£¬321·ÖÇóµ÷¼Á +19 ´ó²öС×Ó 2026-04-04 20/1000 2026-04-09 14:12 by Delta2012
[¿¼ÑÐ] 318Çóµ÷¼Á +13 ykyhsa 2026-04-05 15/750 2026-04-08 21:37 by wj165256
[¿¼ÑÐ] 283Çóµ÷¼Á +19 A child 2026-04-04 19/950 2026-04-08 14:26 by xingguangj
[¿¼ÑÐ] 304Çóµ÷¼Á +16 c297914 2026-04-05 17/850 2026-04-08 13:00 by grayjzr
[¿¼ÑÐ] 265Çóµ÷¼Á +19 Сľ³æ085600 2026-04-06 21/1050 2026-04-08 10:38 by ÄæË®³Ë·ç
[¿¼ÑÐ] 363Çóµ÷¼Á +9 zh096 2026-04-04 9/450 2026-04-07 21:51 by 418490947
[¿¼ÑÐ] 286Çóµ÷¼Á +20 Faune 2026-04-06 20/1000 2026-04-07 11:33 by Ê«Óë×ÔÓÉ
[¿¼ÑÐ] 26×ÔÈ»µØÀíѧ303·ÖÇóµ÷¼Á +4 Ò»Õ½³É˶°¡°¡°¡° 2026-04-06 9/450 2026-04-06 20:35 by lin-da
[¿¼ÑÐ] Ò»Ö¾Ô¸C9µÄ»¯Ñ§¹¤³Ì£¨085602£© 340·Ö£¬¸Ð¾õУÄÚµ÷¼ÁÎÞÍû£¬Çóµ÷¼Á +12 ÍòÊÂÒËÕé 2026-04-04 12/600 2026-04-06 07:46 by Î޼ʵIJÝÔ­
[¿¼ÑÐ] 22408 ×Ü·Ö320£¬Ò»ÆªÂÛÎĶþ×÷£¬Á½¸ö¹úÈý£¬Çóµ÷¼Á +3 Leomulufu 2026-04-04 5/250 2026-04-05 19:04 by chongya
[¿¼ÑÐ] 313Çóµ÷¼Á +5 º£ÈÕº£ÈÕ 2026-04-04 5/250 2026-04-05 15:52 by jndximd
[¿¼ÑÐ] 325Çóµ÷¼Á +4 ´º·ç²»½èÒâ 2026-04-04 4/200 2026-04-04 14:46 by ÏæÅ©´¢ÄܲÄÁÏ
ÐÅÏ¢Ìáʾ
ÇëÌî´¦ÀíÒâ¼û