24小时热门版块排行榜    

查看: 362  |  回复: 0

huhuhuhu15

新虫 (小有名气)

[交流] 三维重构研究预裂纹的存在和结晶组织对高强度钢脆性破坏的影响

作者:35411032 藤村 友奈
1.        背景  
有研究表明,由于主裂纹破面发生了二次裂纹(与主裂纹不同的裂纹),破面的晶粒破坏方向不同,所以可能存在多个发生点。因此,本实验室提出:在脆性破坏发生之前,发生多个裂纹,然后合并、成长,寻找最终的脆性破坏的预破裂多发模型的可能性。
本研究的目的是,确认在最初的主裂纹发生时,有无同时发生的脆性裂纹的初始的预裂纹发生,将裂纹和结晶组织的三维形状图像化,确认预裂纹的发生位置。
2.        磨抛查看试样内部
借助鹿儿岛大学足立教授的全自动逐层切片成像系统(Genus_3D),对有裂纹的试样进行了自动研磨、拍照、进行了三维图像的制作。
3.1逐层磨抛条件
层厚:5μm
层数:50
3.2成像方法
为了观察晶体组织而进行抛光研磨,用2%硝酸酒精腐蚀液腐蚀后,用光学显微镜进行观察,在300倍条件下拍照。
3.3三维形状图像的观察
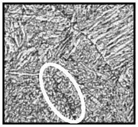
在鹿儿岛大学制作的三维形状图像中,将二次裂纹前端的角度不同的裂纹命名为SC-A、SC-B,并进行了观察。使用EBSD计测周边的结晶方位。

三维重构研究预裂纹的存在和结晶组织对高强度钢脆性破坏的影响                  
图1 A3钢的三维形状图像         

三维重构研究预裂纹的存在和结晶组织对高强度钢脆性破坏的影响-1
图2 A3钢的三维分割提取图像

三维重构研究预裂纹的存在和结晶组织对高强度钢脆性破坏的影响-2
图3 裂纹前端的EBSD图像

三维重构研究预裂纹的存在和结晶组织对高强度钢脆性破坏的影响-3
图4预裂纹                       

三维重构研究预裂纹的存在和结晶组织对高强度钢脆性破坏的影响-4
三维重构研究预裂纹的存在和结晶组织对高强度钢脆性破坏的影响-5
图5 从多个剖面的观察

4.结论
1)        与晶粒的位置关系:可以确认此次观察到的预裂纹都是沿着晶界发生的。
2)        从三维形状图像可知,即使晶体方位多次扭曲,裂纹也会贯通旧γ晶界。

参考文献:1)粟饭原周二:《高强度钢的破坏韧性》研究会资料,2011年
2)田川哲哉:高强度钢的破坏韧性研究会资料10-4,2014年
3)Richard W. Hertzbergeformation and Fracture Mechanics of Engineering Materials Fourth Edition,John Wiley & Sons,Inc.,1995,pp.409-418
回复此楼
已阅   回复此楼   关注TA 给TA发消息 送TA红花 TA的回帖
相关版块跳转 我要订阅楼主 huhuhuhu15 的主题更新
普通表情 高级回复 (可上传附件)
最具人气热帖推荐 [查看全部] 作者 回/看 最后发表
[基金申请] 山东省面上项目限额评审 +4 石瑞0426 2026-03-19 4/200 2026-03-22 08:50 by Wei_ren
[考研] 一志愿华中科技大学071000,求调剂 +4 沿岸有贝壳6 2026-03-21 4/200 2026-03-22 07:21 by ilovexiaobin
[考研] 286求调剂 +10 Faune 2026-03-21 10/500 2026-03-21 23:34 by 314126402
[考研] 一志愿西安交通大学材料工程专业 282分求调剂 +10 枫桥ZL 2026-03-18 12/600 2026-03-21 22:02 by peike
[考研] 求调剂 +3 13341 2026-03-20 3/150 2026-03-21 18:28 by 学员8dgXkO
[考研] 279求调剂 +5 红衣隐官 2026-03-21 5/250 2026-03-21 14:59 by lature00
[考研] 22 350 本科985求调剂,求老登收留 +3 李轶男003 2026-03-20 3/150 2026-03-21 13:28 by 搏击518
[考研] 一志愿 西北大学 ,070300化学学硕,总分287,双非一本,求调剂。 +3 晨昏线与星海 2026-03-18 3/150 2026-03-21 00:46 by JourneyLucky
[考研] 330求调剂 +4 小材化本科 2026-03-18 4/200 2026-03-20 23:13 by JourneyLucky
[考研] 323求调剂 +3 洼小桶 2026-03-18 3/150 2026-03-20 22:54 by JourneyLucky
[考研] 317求调剂 +5 申子申申 2026-03-19 9/450 2026-03-20 22:26 by JourneyLucky
[考研] 材料与化工 322求调剂 +4 然11 2026-03-19 4/200 2026-03-20 22:12 by luoyongfeng
[考研] 0817 化学工程 299分求调剂 有科研经历 有二区文章 +22 rare12345 2026-03-18 22/1100 2026-03-20 20:39 by zhukairuo
[考研] 289求调剂 +6 怀瑾握瑜l 2026-03-20 6/300 2026-03-20 20:30 by 学员8dgXkO
[考研] 一志愿西安交通大学 学硕 354求调剂211或者双一流 +3 我想要读研究生 2026-03-20 3/150 2026-03-20 20:13 by JourneyLucky
[考研] 工科材料085601 279求调剂 +7 困于星晨 2026-03-17 9/450 2026-03-20 17:38 by 无懈可击111
[考研] 广西大学家禽遗传育种课题组2026年硕士招生(接收计算机专业调剂) +3 123阿标 2026-03-17 3/150 2026-03-20 15:58 by 飞行琦
[考研] 招收调剂硕士 +4 lidianxing 2026-03-19 12/600 2026-03-20 12:25 by lidianxing
[考研] 0703化学调剂 +3 妮妮ninicgb 2026-03-17 3/150 2026-03-18 10:29 by macy2011
[考研] 中科院材料273求调剂 +4 yzydy 2026-03-15 4/200 2026-03-16 15:59 by Gaodh_82
信息提示
请填处理意见