°æ¿éµ¼º½
ÕýÔÚ¼ÓÔØÖÐ...
¿Í»§¶ËAPPÏÂÔØ
怬
×¢²á
Ìû×Ó
Ìû×Ó
Óû§
±¾°æ
Ó¦¡¶ÍøÂ簲ȫ·¨¡·ÒªÇó£¬×Ô2017Äê10ÔÂ1ÈÕÆð£¬Î´½øÐÐʵÃûÈÏÖ¤½«²»µÃʹÓû¥ÁªÍø¸úÌû·þÎñ¡£Îª±£ÕÏÄúµÄÕʺÅÄܹ»Õý³£Ê¹Óã¬Ç뾡¿ì¶ÔÕʺŽøÐÐÊÖ»úºÅÑéÖ¤£¬¸ÐлÄúµÄÀí½âÓëÖ§³Ö£¡
24СʱÈÈÃŰæ¿éÅÅÐаñ
>
ÂÛ̳¸üÐÂÈÕÖ¾
(715)
>
³æÓÑ»¥Ê¶
(97)
>
»ù½ðÉêÇë
(79)
>
µ¼Ê¦ÕÐÉú
(13)
>
¿¼²©
(10)
>
˶²©¼ÒÔ°
(7)
>
ÐÝÏйàË®
(6)
>
ÕÐÆ¸ÐÅÏ¢²¼¸æÀ¸
(5)
>
ÍâÎÄÊé¼®ÇóÖú
(5)
>
ÕÒ¹¤×÷
(4)
>
ÎÄÏ×ÇóÖú
(4)
>
ÎïÀí
(3)
>
½Ìʦ֮¼Ò
(3)
>
ÂÛÎÄͶ¸å
(3)
>
Ö°³¡ÈËÉú
(2)
>
²©ºóÖ®¼Ò
(2)
Сľ³æÂÛ̳-ѧÊõ¿ÆÑл¥¶¯Æ½Ì¨
»
ÉúÎïÒ½Ò©Çø
»
ҽѧ
»
¼ìÑé
»
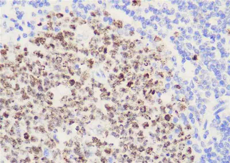
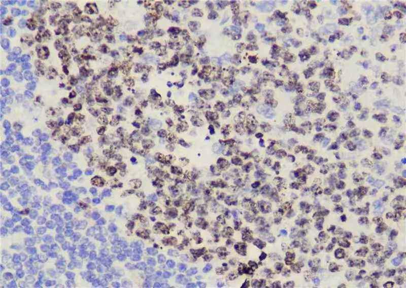
ÃâÒß×黯DABȾɫÔöÇ¿
32
1/1
·µ»ØÁбí
²é¿´: 977 | »Ø¸´: 31
Ö»¿´Â¥Ö÷
@ËûÈË
´æµµ
лظ´ÌáÐÑ
(ºöÂÔ)
ÊÕ²Ø
ÔÚAPPÖв鿴
ÌìÕÕСÐÇÐÇ
гæ
(СÓÐÃûÆø)
Ó¦Öú: 0
(Ó×¶ùÔ°)
½ð±Ò: 171.8
Ìû×Ó: 295
ÔÚÏß: 13.4Сʱ
³æºÅ: 34244256
ÒÑÁìÍê
ÃâÒß×黯DABȾɫÔöÇ¿
ÁìÈ¡ºì°ü
(Сľ³æÊÖ»úappרÊôºì°ü)
ɨһɨ£¬ÏÂÔØÐ¡Ä¾³æ¿Í»§¶Ë
ÃâÒß×黯DABȾɫÔöÇ¿ ÓÐʲôºÃ°ì·¨ÔöÇ¿ÏÔÉ«ÓÖ²»²úÉú±³¾° ¿ÉÒÔÁªÏµÎÒ
·¢×ÔСľ³æAndroid¿Í»§¶Ë
»Ø¸´´ËÂ¥
» ²ÂÄãϲ»¶
¹ØÓÚÖØ¸´µ÷²éºÍÖØ¸´²âÁ¿µÄÎÊÌ⣬°Ù˼²»µÃÆä½â£¡
ÒѾÓÐ1È˻ظ´
»¤Àí±¾£¬¹«ÎÀ˶£¬¾ÍÒµ»¹ÊÇ»¤Àí²©
ÒѾÓÐ1È˻ظ´
Éúֳϵͳ/ΧÉúҽѧ/ÐÂÉú¶ùÂÛÎÄÈóÉ«/·ÒëÔõôÊÕ·Ñ?
ÒѾÓÐ284È˻ظ´
Éç»áҽѧÓëÎÀÉúÊÂÒµ¹ÜÀí·½Ïò¿¼²©ÓÐûÓе¼Ê¦ÊÕÁô
ÒѾÓÐ1È˻ظ´
100205¾«Éñ²¡Ó뾫ÉñÎÀÉúѧ£¬³õÊÔ317£¬Î÷Ò½×ÛºÏ224£¬Ó¢Óï34£¬ÇóÖúBÇøµ÷¼Á»ú»á
ÒѾÓÐ1È˻ظ´
¼ª´ó¹«ÎÀ357Çóµ÷¼Á
ÒѾÓÐ5È˻ظ´
Çó¾«Í¨crisper/cas9µÄ´óÀаïÖú
ÒѾÓÐ0È˻ظ´
Ò»Ö¾Ô¸Öдó¹«ÎÀÇóµ÷¼Á
ÒѾÓÐ8È˻ظ´
Öдó¹«ÎÀ303·ÖÇóµ÷¼Á
ÒѾÓÐ11È˻ظ´
¸ß¼¶»Ø¸´
» ÇÀ½ð±ÒÀ²£¡»ØÌû¾Í¿ÉÒԵõ½:
²é¿´È«²¿É¢½ðÌù
¡¾×¨ÒµEPR¡¿£º×ÔÓÉ»ù(³¬Ñõ¡¢ôÇ»ù¡¢µ¥Ïß̬Ñõ)£¬¿ÕλȱÏÝ£»¶¨Á¿¼ÆË㣬VX: 761711562¡£
+
1
/88
±¡Ä¤¶Ï²ã¹âÆ×ÒÇ£¬¿´Í¸±¡Ä¤ÄÚ²¿£¡🔍
+
1
/86
ѰÕÒ×ö¼æÖ°µÄͬѧ£¬³¤ÆÚµÄ£¨³¤Èý½Ç£ºÑª¹Ü½éÈëÒ½ÁÆÆ÷е·½Ãæ¼æÖ°£©
+
1
/32
ºþÄÏʦ·¶´óѧ£¨211£¬Ë«Ò»Á÷£©-Óлú»¯Ñ§-ÉêÇëÉóºËÖÆ²©Ê¿ÕÐÉú
+
1
/31
±±¾©º½¿Õº½Ìì´óѧ-·ÂÉú½çÃæ²ÄÁÏ¿ÆÑ§È«¹úÖØµãʵÑéÊÒ¹ùÁÖԺʿÍÅ¶Ó³ÏÆ¸²©Ê¿ºó
+
2
/30
˫һÁ÷´óÑ§ÏæÌ¶´óѧ¡°»¯¹¤¹ý³ÌÄ£ÄâÓëÇ¿»¯¡±¹ú¼ÒµØ·½ÁªºÏ¹¤³ÌÑо¿ÖÐÐÄÕÐÊÕ²©Ê¿Éú
+
1
/29
¡¾¼±ÕС¿¡°Ë«Ò»Á÷¡±¸ßУ-ÐÂÄÜÔ´²ÄÁÏ¿ÎÌâ×éÕÐÊÕ2026ÄêÇï¼¾Èëѧ²©Ê¿Éú1Ãû(ÏæÌ¶´óѧ)
+
1
/29
¡¾²©Ê¿ÕÐÉú¡¿½Î÷Àí¹¤´óѧÕÐÊÕ²©Ê¿Ñо¿Éú
+
1
/28
²©Ê¿ÉêÇë
+
1
/22
Ö£ÖÝ´óѧ¡¤°²»Õ¸ßµÈÑо¿Ôº 2026Ä격ʿÕÐÉú£¨ÉêÇ뿼ºËÖÆ£©
+
1
/12
¡°Ë«Ò»Á÷¡±ÄϾ©Óʵç´óѧ--º£ÓÅÍŶÓ--ÕÐÊÕ2026²©Ê¿Éú1-2Ãû£¨6ÔÂ15ÈÕǰÓÐЧ£©
+
1
/12
Ó¢¹úÀ·ò±¤´óѧ²©Ê¿ÕÐÉú£¨º¬½±Ñ§½ð£©
+
1
/10
¡¾26.9ÔÂÈëѧ¡¿211´óѧ²¹ÕÐѧ²©1ÈË£¨AI»ò¿ØÖÆ·½Ïò£©
+
1
/9
ÉϺ£½»Í¨´óѧ»¯Ñ§»¯¹¤Ñ§ÔºÕÅÖÇÌοÎÌâ×é³ÏƸ²©Ê¿ºó
+
1
/5
²ÄÁÏ·ÖÎö²âÊÔ
+
1
/4
¡¾²©Ê¿ÕÐÉú¡¿Î人¿Æ¼¼´óѧÕÐÊÕ²ÄÁÏ¡¢»¯¹¤¡¢»·¾³¡¢Ò±½ðÀà2026Äê¡°ÉêÇë-¿¼ºË¡±ÖƲ©Ê¿Éú
+
1
/4
¡¾Í¨Öª¡¿±±¾©ÐÅÏ¢¿Æ¼¼´óѧÒÇÆ÷¿ÆÑ§Óë¹âµç¹¤³ÌѧԺÕÐÆ¸ÓÅÐãʦ×Ê£¡
+
1
/3
µç×ӿƼ¼´óѧ²ÄÁÏѧԺSFT´´ÐÂÖÐÐÄÕÐÊÕ×¼±¸¿¼Ë¶ºÍ¶Á²©µÄ¿ÆÑÐÖúÀí Àí¹¤Ò½½»²æ·½Ïò
+
1
/2
¡¾Í¨Öª¡¿±±¾©ÐÅÏ¢¿Æ¼¼´óѧÒÇÆ÷¿ÆÑ§Óë¹âµç¹¤³ÌѧԺÕÐÊÕ²©Ê¿Ñо¿Éú£¨2026£©£¬±¨Ãû°É£¡
+
1
/1
´¢ÄÜÓëµç×Ó²ÄÁÏ¿ÎÌâ×é ÕÐÊÕ˶ʿ or ²©Ê¿Ñо¿Éú¡ª¡ªÒÔÉ«ÁÐÀí¹¤-GTIITÁªÅà
+
1
/1
1Â¥
2024-04-22 23:00:30
ÒÑÔÄ
»Ø¸´´ËÂ¥
¹Ø×¢TA
¸øTA·¢ÏûÏ¢
ËÍTAºì»¨
TAµÄ»ØÌû
¼òµ¥»Ø¸´
hyjcs
2Â¥
2024-04-22 23:21
»Ø¸´
ÌìÕÕСÐÇÐÇ(½ð±Ò+1): лл²ÎÓë
ÒÑ»ñµÃ
1
¸ö½ð±Ò
·¢×ÔСľ³æAndroid¿Í»§¶Ë
tzynew
3Â¥
2024-04-22 23:27
»Ø¸´
ÌìÕÕСÐÇÐÇ(½ð±Ò+1): лл²ÎÓë
ÒÑ»ñµÃ
1
¸ö½ð±Ò
·¢×ÔСľ³æAndroid¿Í»§¶Ë
ѧԱylZIvR
4Â¥
2024-04-23 05:24
»Ø¸´
ÌìÕÕСÐÇÐÇ(½ð±Ò+1): лл²ÎÓë
ÒÑ»ñµÃ
1
¸ö½ð±Ò
·¢×ÔСľ³æIOS¿Í»§¶Ë
bodygb
5Â¥
2024-04-23 05:35
»Ø¸´
ÌìÕÕСÐÇÐÇ(½ð±Ò+1): лл²ÎÓë
ÒÑ»ñµÃ
1
¸ö½ð±Ò
·¢×ÔСľ³æIOS¿Í»§¶Ë
XG-WUST
6Â¥
2024-04-23 05:51
»Ø¸´
ÌìÕÕСÐÇÐÇ(½ð±Ò+1): лл²ÎÓë
ÒÑ»ñµÃ
1
¸ö½ð±Ò
·¢×ÔСľ³æIOS¿Í»§¶Ë
ygxlx-61
7Â¥
2024-04-23 06:24
»Ø¸´
ÌìÕÕСÐÇÐÇ(½ð±Ò+1): лл²ÎÓë
ÒÑ»ñµÃ
1
¸ö½ð±Ò
·¢×ÔСľ³æAndroid¿Í»§¶Ë
ÛáÛö¹©Ó¦ÉÌ
8Â¥
2024-04-23 07:07
»Ø¸´
ÌìÕÕСÐÇÐÇ(½ð±Ò+1): лл²ÎÓë
ÒÑ»ñµÃ
1
¸ö½ð±Ò
·¢×ÔСľ³æAndroid¿Í»§¶Ë
gordon399
9Â¥
2024-04-23 07:25
»Ø¸´
ÌìÕÕСÐÇÐÇ(½ð±Ò+1): лл²ÎÓë
ÒÑ»ñµÃ
1
¸ö½ð±Ò
·¢×ÔСľ³æAndroid¿Í»§¶Ë
leafmavis
10Â¥
2024-04-23 08:16
»Ø¸´
ÌìÕÕСÐÇÐÇ(½ð±Ò+1): лл²ÎÓë
ÒÑ»ñµÃ
1
¸ö½ð±Ò
·¢×ÔСľ³æAndroid¿Í»§¶Ë
feichen498
11Â¥
2024-04-23 10:08
»Ø¸´
ÌìÕÕСÐÇÐÇ(½ð±Ò+1): лл²ÎÓë
ÒÑ»ñµÃ
1
¸ö½ð±Ò
·¢×ÔСľ³æAndroid¿Í»§¶Ë
½¨»Ô_1998
12Â¥
2024-04-23 10:16
»Ø¸´
ÌìÕÕСÐÇÐÇ(½ð±Ò+1): лл²ÎÓë
ÒÑ»ñµÃ
1
¸ö½ð±Ò
·¢×ÔСľ³æAndroid¿Í»§¶Ë
Ë¡ÔÚÏÂÖ±ÑÔ
13Â¥
2024-04-23 10:23
»Ø¸´
ÌìÕÕСÐÇÐÇ(½ð±Ò+1): лл²ÎÓë
ÒÑ»ñµÃ
1
¸ö½ð±Ò
·¢×ÔСľ³æIOS¿Í»§¶Ë
Ó©»ð³æÖ®¹È
14Â¥
2024-04-23 10:49
»Ø¸´
ÌìÕÕСÐÇÐÇ(½ð±Ò+1): лл²ÎÓë
ÒÑ»ñµÃ
1
¸ö½ð±Ò
·¢×ÔСľ³æIOS¿Í»§¶Ë
¹þÄ·Ì«ÀÉ
15Â¥
2024-04-23 14:31
»Ø¸´
ÌìÕÕСÐÇÐÇ(½ð±Ò+1): лл²ÎÓë
ÒÑ»ñµÃ
1
¸ö½ð±Ò
·¢×ÔСľ³æAndroid¿Í»§¶Ë
Èý·ÖÖ®¶þ123
16Â¥
2024-04-23 17:34
»Ø¸´
ÌìÕÕСÐÇÐÇ(½ð±Ò+1): лл²ÎÓë
ÒÑ»ñµÃ
1
¸ö½ð±Ò
·¢×ÔСľ³æAndroid¿Í»§¶Ë
chenhuanlong
17Â¥
2024-04-23 18:34
»Ø¸´
ÌìÕÕСÐÇÐÇ(½ð±Ò+1): лл²ÎÓë
ÒÑ»ñµÃ
1
¸ö½ð±Ò
·¢×ÔСľ³æAndroid¿Í»§¶Ë
ᨀ샜.
18Â¥
2024-04-23 22:28
»Ø¸´
ÌìÕÕСÐÇÐÇ(½ð±Ò+1): лл²ÎÓë
ÒÑ»ñµÃ
1
¸ö½ð±Ò
·¢×ÔСľ³æIOS¿Í»§¶Ë
lishouyin
19Â¥
2024-04-26 09:15
»Ø¸´
ÌìÕÕСÐÇÐÇ(½ð±Ò+1): лл²ÎÓë
ÒÑ»ñµÃ
1
¸ö½ð±Ò
·¢×ÔСľ³æAndroid¿Í»§¶Ë
gchcti2022
20Â¥
2024-04-26 09:17
»Ø¸´
ÌìÕÕСÐÇÐÇ(½ð±Ò+1): лл²ÎÓë
ÒÑ»ñµÃ
1
¸ö½ð±Ò
·¢×ÔСľ³æAndroid¿Í»§¶Ë
toppaper
21Â¥
2024-04-26 09:40
»Ø¸´
ÌìÕÕСÐÇÐÇ(½ð±Ò+1): лл²ÎÓë
ÒÑ»ñµÃ
1
¸ö½ð±Ò
·¢×ÔСľ³æAndroid¿Í»§¶Ë
hbzyyliu
22Â¥
2024-04-26 13:03
»Ø¸´
ÌìÕÕСÐÇÐÇ(½ð±Ò+1): лл²ÎÓë
ÒÑ»ñµÃ
1
¸ö½ð±Ò
·¢×ÔСľ³æIOS¿Í»§¶Ë
ÖÐÎ÷Ò½Ò©²»·Ö¼Ò
23Â¥
2024-04-27 20:38
»Ø¸´
ÌìÕÕСÐÇÐÇ(½ð±Ò+1): лл²ÎÓë
ÒÑ»ñµÃ
1
¸ö½ð±Ò
·¢×ÔСľ³æAndroid¿Í»§¶Ë
ºãÒâÈüteh
24Â¥
2024-05-07 12:33
»Ø¸´
ÌìÕÕСÐÇÐÇ(½ð±Ò+1): лл²ÎÓë
ÒÑ»ñµÃ
1
¸ö½ð±Ò
·¢×ÔСľ³æAndroid¿Í»§¶Ë
ÔÆÔÚÇàÌì
25Â¥
2024-05-07 13:24
»Ø¸´
ÌìÕÕСÐÇÐÇ(½ð±Ò+1): лл²ÎÓë
ÒÑ»ñµÃ
1
¸ö½ð±Ò
·¢×ÔСľ³æAndroid¿Í»§¶Ë
¿ÆÑгæ×ÓСÖúÊÖ
26Â¥
2024-06-17 16:50
»Ø¸´
ÌìÕÕСÐÇÐÇ(½ð±Ò+1): лл²ÎÓë
ÒÑ»ñµÃ
1
¸ö½ð±Ò
·¢×ÔСľ³æAndroid¿Í»§¶Ë
xianrenno1
27Â¥
2024-06-18 11:22
»Ø¸´
ÒÑ»ñµÃ
1
¸ö½ð±Ò
·¢×ÔСľ³æIOS¿Í»§¶Ë
xiaolvsa
28Â¥
2024-06-18 19:08
»Ø¸´
ÌìÕÕСÐÇÐÇ(½ð±Ò+1): лл²ÎÓë
ÒÑ»ñµÃ
1
¸ö½ð±Ò
·¢×ÔСľ³æAndroid¿Í»§¶Ë
zqs3916
29Â¥
2024-06-19 07:51
»Ø¸´
ÌìÕÕСÐÇÐÇ(½ð±Ò+1): лл²ÎÓë
ÒÑ»ñµÃ
1
¸ö½ð±Ò
·¢×ÔСľ³æIOS¿Í»§¶Ë
Ó¸Òţţ²»ÅÂÀ§Ä
30Â¥
2024-06-29 13:32
»Ø¸´
ÌìÕÕСÐÇÐÇ(½ð±Ò+1): лл²ÎÓë
ÒÑ»ñµÃ
1
¸ö½ð±Ò
·¢×ÔСľ³æAndroid¿Í»§¶Ë
aa123qq
31Â¥
2024-06-29 14:06
»Ø¸´
ÌìÕÕСÐÇÐÇ(½ð±Ò+1): лл²ÎÓë
ÒÑ»ñµÃ
1
¸ö½ð±Ò
·¢×ÔСľ³æAndroid¿Í»§¶Ë
lovely1712
32Â¥
2024-07-05 08:55
»Ø¸´
ÌìÕÕСÐÇÐÇ(½ð±Ò+1): лл²ÎÓë
ÒÑ»ñµÃ
1
¸ö½ð±Ò
·¢×ÔСľ³æAndroid¿Í»§¶Ë
Ïà¹Ø°æ¿éÌø×ª
ÐÂÒ©Ñз¢
ҩѧ
Ò©Æ·Éú²ú
·Ö×ÓÉúÎï
΢ÉúÎï
¶¯Ö²Îï
ÉúÎï¿ÆÑ§
ҽѧ
ÎÒÒª¶©ÔÄÂ¥Ö÷
ÌìÕÕСÐÇÐÇ
µÄÖ÷Ìâ¸üÐÂ
32
1/1
·µ»ØÁбí
Èç¹û»ØÌûÄÚÈݺ¬ÓÐÐû´«ÐÅÏ¢£¬ÇëÈçʵѡÖС£·ñÔòÕʺŽ«±»È«ÂÛ̳½ûÑÔ
ÆÕͨ±íÇé
Áú
ÍÃ
Ȣ
è
¸ß¼¶»Ø¸´
(¿ÉÉÏ´«¸½¼þ)
°Ù¶ÈÍøÅÌ
|
360ÔÆÅÌ
|
ǧÒ×ÍøÅÌ
|
»ªÎªÍøÅÌ
ÔÚд°¿ÚÒ³ÃæÖдò¿ª×Ô¼ºÏ²»¶µÄÍøÅÌÍøÕ¾£¬½«ÎļþÉÏ´«ºó£¬È»ºó½«ÏÂÔØÁ´½Ó¸´ÖƵ½Ìû×ÓÄÚÈÝÖоͿÉÒÔÁË¡£
ÐÅÏ¢Ìáʾ
¹Ø±Õ
ÇëÌî´¦ÀíÒâ¼û
¹Ø±Õ
È·¶¨