²é¿´: 850  |  »Ø¸´: 0

18317190548

гæ (СÓÐÃûÆø)

[½»Á÷] ϸ°û×ÔÊÉ£¬¾¿¾¹Ôõô "Íæ"£¿ - MedChemExpress

ϸ°û×ÔÊÉ£¬¾¿¾¹Ôõô "Íæ"£¿ - MedChemExpress
½ñÄê 8 Ô 24 ÈÕ£¬¹ú¼Ò×ÔÈ»¿ÆÑ§»ù½ðίԱ»á½ÒÏþÁË 2023 Äê¹ú×ÔÈ»ÆÀÉó½á¹û£¬×ÔÊÉÏà¹ØÑо¿µÄÖбêÊýÁ¿¸ß´ï 518 Ïî!£¨À´Ô´£ºZCOOL ¹ú×ÔÈ»ÏîÄ¿²éѯϵͳ£©
ÑÔ¹éÕý´«£¡×ÔÊÉ£¬Ò»ÖÖÕë¶Ôϸ°ûÄÚ¸÷ÖֳɷֽøÐнµ½âµÄ»ù±¾¹ý³Ì¡£Ë­À´½µ½â£¿ÈÜøÌ壻½µ½âË­£¿Ï¸°ûÄڵĸ÷Àà´ó·Ö×ÓºÍÑÇϸ°û³É·Ö£¬ÀýÈçºËËá¡¢µ°°×ÖÊ¡¢Ö¬ÖʺÍϸ°ûÆ÷µÈ¡£
×ÔÊÉ¿ÉÒÔÊÇ·ÇÑ¡ÔñÐԵģ¬Ï¸°ûÖÊÎïÖʱ»¸ôÀëµ½×ÔÊÉÌåÖнøÐÐÍÌÊÉ£¬Í¨³£ÔÚÓªÑøÈ±·¦Ê±·¢Éú¡£Ïà±È֮ϣ¬Ñ¡ÔñÐÔ×ÔÊɻή½âÌØ¶¨°Ð±ê£¬ÀýÈçÊÜËðµÄϸ°ûÆ÷£ºÏßÁ£Ìå×ÔÊÉ¡¢ÈÜøÌå×ÔÊÉ¡¢ÄÚÖÊÍø×ÔÊɵȵȣ¬´Ó¶øÔÚϸ°ûÖÊÁ¿¿ØÖÆÖз¢»ÓÖØÒª×÷Óà(ͼ 1)[1][2]¡£ 

ϸ°û×ÔÊÉ£¬¾¿¾¹Ôõô "Íæ"£¿ - MedChemExpress-1


ϸ°û×ÔÊÉ£¬¾¿¾¹Ôõô "Íæ"£¿ - MedChemExpress-2


ϸ°û×ÔÊÉ£¬¾¿¾¹Ôõô "Íæ"£¿ - MedChemExpress-3


ϸ°û×ÔÊÉ£¬¾¿¾¹Ôõô "Íæ"£¿ - MedChemExpress-4


ϸ°û×ÔÊÉ£¬¾¿¾¹Ôõô "Íæ"£¿ - MedChemExpress-5


ϸ°û×ÔÊÉ£¬¾¿¾¹Ôõô "Íæ"£¿ - MedChemExpress-6


ͼ 1. ²»Í¬µÄ×ÔÊÉ»úÖÆ¼°Ìصã[2]¡£



ϸ°û×ÔÊÉ£¬¾¿¾¹Ôõô "Íæ"£¿ - MedChemExpress-7
×ÔÊÉÊÇÒ»¸ö¸ß¶È¼¯³ÉµÄ¹ý³Ì£¬Í¨¹ý´Ù½øÏ¸°û´æ»î»òµ¼ÖÂϸ°ûËÀÍöÀ´Î¬³Öϸ°ûÎÈ̬[3][4]¡£
▐  ×ÔÊɽ鵼µÄϸ°û±£»¤×÷ÓÃ
×ÔÊɵÄÖ÷Òª¹¦ÄÜÊÇͨ¹ý»ØÊÕ±ØÒªµÄϸ°û³É·ÖÀ´´Ù½øÓ¦¼¤/ÓªÑøÏÞÖÆºóµÄϸ°û´æ»î¡£×ÔÊÉÓÉÓªÑøºÍÄÜÁ¿Ó¦¼¤¡¢È±Ñõ¡¢Ñõ»¯»¹Ô­Ó¦¼¤ºÍÏßÁ£ÌåËðÉ˵ȶàÖִ̼¤ÓÕµ¼[4]¡£

ϸ°û×ÔÊÉ£¬¾¿¾¹Ôõô "Íæ"£¿ - MedChemExpress-8


ϸ°û×ÔÊÉ£¬¾¿¾¹Ôõô "Íæ"£¿ - MedChemExpress-9


ͼ 2. Ñõ»¯Ó¦¼¤Í¨¹ý¶àÖÖ»úÖÆÓÕµ¼×ÔÊÉ[5]¡£


(A-D): ÏìÓ¦¼¢¶öµ÷½Ú×ÔÊɵÄÖ÷ÒªÐźÅתµ¼Í¾¾¶¸ÅÊö¡£(E-H)£ºÓÕµ¼×ÔÊɵÄÌØ¶¨Ó¦¼¤Í¾¾¶¸ÅÊö£ºÈ±Ñõ (E)£»Ñõ»¯ËðÉËÔö¼Ó (F); p53ϵͳµÄ¸ÉÈÅ (G)»òÏßÁ£Ì幦ÄÜÕϰ­ (H) ÓÕµ¼×ÔÊɵĻúÖÆÊ¾Òâͼ¡£



ÀýÈ磬µ±Ï¸°ûÔÚͬʱȱ·¦ÓªÑøºÍÉú³¤Òò×ÓµÄÇé¿öÏÂÅàÑøÊ±£¬×ÔÊɵ½´ï×î¸ßˮƽ[6]¡£¶øÔÚСÊóÖУ¬¼¢¶ö 24-48 h ºó£¬´ó¶àÊý×éÖ¯ÖеĴó¶àÊýϸ°ûÏÔʾ³ö×ÔÊÉÌåÊýÁ¿Ôö¼Ó[7]¡£Æä´Î£¬Ï¸°û±ØÐëÇå³ýÊÜËðµÄÏßÁ£Ì壬ÒÔ·ÀÖ¹ ROS »ý¾Û[5]¡£µ±È»£¬Ä³Ð©Ó¦¼¤Í¾¾¶ÈçÖжÈȱÑõʱ£¬Ò²»áÓÕµ¼×ÔÊÉ£¬·Àֹϸ°ûËÀÍö (ͼ 2)[5][8]¡£

▐  ×ÔÊÉÓÕµ¼Ï¸°ûËÀÍö
×ÔÊɾ­³£ÔÚϸ°ûËÀÍöÖй۲쵽£¬ÔÚijЩÇé¿öÏ£¬ÒÖÖÆ×ÔÊÉ¿ÉÒÔ·Àֹϸ°ûËÀÍö[9]¡£ÓÉÓÚ²»Í¬ÐźÅͨ·֮¼äµÄ¹ã·º´®ÈÅ£¬×ÔÊɵĴÙËÀÍö×÷Ó÷dz£¸´ÔÓ[10]¡£

ϸ°û×ÔÊÉ£¬¾¿¾¹Ôõô "Íæ"£¿ - MedChemExpress-10


½ñÄê 3 Ô£¬Jiao Liu µÈÈ˱¨µÀÁË TMEM164 ÔÚÌúËÀÍöÆÚ¼ä (¶ø²»ÊǼ¢¶öÆÚ¼ä) Ñ¡ÔñÐԽ鵼 ATG5 ÒÀÀµÐÔ×ÔÊÉÌåÐγÉÖеĹؼü×÷Óá£TMEM164 ͨ¹ý¼¤»î×ÔÊɽµ½âÌúµ°°× (Ferritin)¡¢GPX4 ºÍÖ¬µÎ£¬ÒÔÔö¼ÓÌú»ýÀÛºÍÖ¬ÖʹýÑõ»¯£¬´Ó¶ø´Ù½øÊÈÌúϸ°ûµÄËÀÍö¡£TMEM164 µÄȱʧÏÞÖÆÁËСÊóÌåÄÚÌúËÀÍö½éµ¼µÄϸ°û¶¾ÐԵĿ¹°©»îÐÔ£¬½¨Á¢ÁË×ÔÊÉÒÀÀµÐÔÌúËÀÍöµÄÐÂģʽ[11]¡£

ϸ°û×ÔÊÉ£¬¾¿¾¹Ôõô "Íæ"£¿ - MedChemExpress-11


ͼ 3. TMEM164 ÔÚ×ÔÊÉÒÀÀµÐÔϸ°ûËÀÍöÖеÄ×÷ÓÃ[11]¡£


ÌúËÀÍö¼¤»î¼Á (Èç
RSL3) »áÓÕµ¼ TMEM164 ÒÀÀµÐÔ×ÔÊÉÌåÐγɣ¬µ¼Ö¿¹ÌúËÀÍöµ÷½ÚÒò×Ó (Èç GPX4¡¢FTH1 ºÍÖ¬µÎ) Ñ¡ÔñÐÔ½µ½â¡£

ϸ°û×ÔÊÉ£¬¾¿¾¹Ôõô "Íæ"£¿ - MedChemExpress-12


Ñо¿±íÃ÷£¬GX15-070 ¿Éͨ¹ýÔö¼Ó×ÔÊÉÌåµÄ»ýÀÛÀ´ÓÕµ¼×ÔÊÉ£¬²¢´Ù½ø Atg5 (×ÔÊÉÌåĤµÄÒ»¸ö×é³É²¿·Ö) Ó뻵ËÀÌå (Necrosome) µÄ¹Ø¼ü³É·Ö£¬¼´ FADD¡¢RIP1 ºÍ RIP3 µÄÏ໥×÷Ó㬴¥·¢»µËÀÌåÔÚ×ÔÊÉÌåÉϵÄ×é×°¡£Õâµ¼ÖÂϸ°ûÖÊϸ°ûËÀÍöÐźŸ´ºÏÎïµÄÐγɣ¬Òý·¢»µËÀÐÔϸ°ûËÀÍö[12]¡£

ϸ°û×ÔÊÉ£¬¾¿¾¹Ôõô "Íæ"£¿ - MedChemExpress-13


ͼ 4. GX15-070 ͨ¹ý´Ù½ø»µËÀÌåÔÚ×ÔÊÉÌåÉϵÄ×é×°À´´¥·¢»µËÀÐÔµòÍö[12]¡£



×ÔÊÉÔÚ°©Ö¢ÖоßÓеÄË«ÖØ×÷Ó㬾ßÌåÈ¡¾öÓÚ°©Ö¢µÄÀàÐͺͽ׶Î[10][13]¡£
Ò»·½Ã棬×ÔÊÉ¿ÉÒÔ´Ù½øÖ×ÁöµÄ·¢ÉúºÍ×ªÒÆ£¬Ä¿Ç° FDA Åú×¼µÄ×ÔÊÉÒÖÖÆ¼ÁÊÇ Chloroquine ºÍ Hydroxychloroquine[14]¡£ÁíÒ»·½Ã棬×ÔÊÉ¿ÉÒÔͨ¹ý×ÔÉí»òÓëÆäËûϸ°ûËÀÍö;¾¶Ð­Í¬´Ù½øÏ¸°ûËÀÍöÀ´ÔöÇ¿°©Ö¢ÖÎÁƵĹ¦Ð§ (±í 1)[10]¡£

±í 1. ÓÕµ¼×ÔºÍϸ°ûËÀÍöµÄÒ©ÎïÖÎÁÆ[10]¡£

 

ϸ°û×ÔÊÉ£¬¾¿¾¹Ôõô "Íæ"£¿ - MedChemExpress-14



ϸ°û×ÔÊÉ£¬¾¿¾¹Ôõô "Íæ"£¿ - MedChemExpress-15
Ëæ×Å×ÔÊÉÑо¿ÈȶȵÄÔö¼Ó£¬ÆäÏà¹Ø¼ì²âÒ²³ÉΪ¿ÆÑС°Íô¡±ÃǵÄÃÜÇйØ×¢¡£Ï¸°û×ÔÊÉÌåµÄÊýÁ¿ºÍ×ÔÊÉͨÁ¿³£×÷Ϊϸ°û×ÔÊÉ»îÐÔˮƽµÄÖ¸±ê¡£

▐  ¼à²â×ÔÊÉÌåµÄÊýÁ¿
ĿǰʹÓÃÈýÖÖÖ÷Òª·½·¨À´¼à²â×ÔÊÉÌåµÄÊýÁ¿£¬°üÀ¨µç×ÓÏÔ΢¾µ¡¢¹âѧÏÔ΢¾µ¼ì²â LC3 µÄÑÇϸ°û¶¨Î»ÒÔ¼°Éú»¯¼ì²â LC3 µÄĤÏà¹ØÐÎʽ[15]¡£
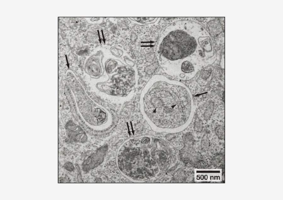
×ͳµÄ·½·¨Êǵç×ÓÏÔ΢¾µ£¬Í¨¹ý¹Û²ìÑùÆ·ÅжÏÊÇ·ñÓÐ×ÔÊÉÅÝÑù½á¹¹³öÏÖ¡£µç¾µÏ£¬·¢Éú×ÔÊɵÄϸ°û¿É¼ûËðÉ˵Äϸ°ûÆ÷ÈçÏßÁ£ÌåµÄÖ×ÕͱäÐÔ£¬ÆäÖÜΧÓпÕÅÝ×´Ë«²ãĤÑù½á¹¹£¬»òË«²ãĤ»·ÈÆÏßÁ£ÌåÐγÉ×ÔÊÉÌ壬Ҳ¿É¼û×ÔÊÉÈÜøÌåÄÚ×îÖÕ²»Äܽµ½âµÄ²ÐÌåµÈ (ͼ 5 ºÍͼ 6A)[15][16]¡£

ϸ°û×ÔÊÉ£¬¾¿¾¹Ôõô "Íæ"£¿ - MedChemExpress-16


ͼ 5. ×ÔÊÉÌåºÍ×ÔÈÜøÌåÐÎ̬[15]¡£



Æä´Î£¬²¸È鶯Îï×ÔÊɵ°°× LC3 ÊÇ×ÔÊÉÌåµÄ±êÖ¾Î¿Éͨ¹ý¸ü¹ã·ºÊ¹ÓõĹâѧÏÔ΢¾µºÍÉú»¯·½·¨Ëù¼ì²â¡£ÄÚÔ´ÐÔ LC3 »ò GFP-LC3 ͨ¹ýÓ«¹âÏÔ΢¾µ¹Û²ìΪÃÖÉ¢µÄϸ°ûÖʳػòÖ÷Òª´ú±í×ÔÊÉÌåµÄµã×´½á¹¹ (ͼ 6 B-C)¡£
▐  ¼à²â×ÔÊÉͨÁ¿
Ŀǰ²âÁ¿×ÔÊÉͨÁ¿µÄÖ÷Òª·½·¨Ö®Ò»ÊǼà²â LC3 ÖÜתÂÊ£¬µ±ÓÃÈÜøÌåÊÔ¼Á (ÈçÂÈ»¯ï§¡¢Chloroquine »ò Bafilomycin A1) »òÈÜøÌåµ°°×øÒÖÖÆ¼Á (Èç E64d) ´¦Àíϸ°ûʱ£¬LC3-II µÄ½µ½â±»×è¶Ï£¬µ¼Ö LC3-II µÄ»ýÀÛ¡£Òò´Ë£¬ÑùÆ·Ö®¼ä LC3-II Á¿µÄ²îÒì´ú±íÁ˱»µÝË͵½ÈÜøÌå½øÐнµ½âµÄ LC3 Á¿ (ͼ 6D)[15]¡£

ϸ°û×ÔÊÉ£¬¾¿¾¹Ôõô "Íæ"£¿ - MedChemExpress-17


ϸ°û×ÔÊÉ£¬¾¿¾¹Ôõô "Íæ"£¿ - MedChemExpress-18


ͼ 6. ×ÔÊÉÌåÊýÁ¿ºÍ×ÔÊÉͨÁ¿µÄ¼à²â·½·¨[15]¡£


Æä´Î£¬¿ÉÒÔͨ¹ýÃâÒßÓ¡¼£·ÖÎö»òÁ÷ʽϸ°ûÊõ¶¨Á¿»òͨ¹ýÓ«¹âÏÔ΢¾µ¶¨ÐÔ¹Û²ì×Üϸ°û LC3 µÄÁ¿£¬Óë×ÔÊÉͨÁ¿³É·´±È¡£³ýÁË LC3 Ö®Í⣬ÆäËû×ÔÊɵ×ÎïµÄˮƽҲ¿ÉÓÃÓÚ¼à²â×ÔÊÉͨÁ¿ (ͼ 6)¡£ 

ϸ°û×ÔÊÉ£¬¾¿¾¹Ôõô "Íæ"£¿ - MedChemExpress-19
±¾ÆÚС M Ϊ´ó¼Ò×ܽáÁËϸ°û×ÔÊɵÄÀàÐÍ¡¢Ïà¹Ø»úÖÆÍ¼¼°ÌØÕ÷µÈÏà¹Ø»ù´¡ÖªÊ¶£¬²¢½éÉÜÁË×ÔÊɵÄϸ°û±£»¤Óë´ÙËÀÍöµÄË«ÖØ¹¦ÄÜ£¬×îºóΪ´ó¼ÒÕûÀíÁËÓйØÏ¸°û×ÔÊɵÄÏà¹Ø¼ì²â·½·¨£¡ÄDZ¾ÆÚ¾Íµ½ÕâÀïÀ²~ÔÛÃÇÏÂÆÚÔÙ¼û~
MCEµÄËùÓвúÆ·½öÓÃ×÷¿ÆÑ§Ñо¿»òÒ©Ö¤É걨£¬ÎÒÃDz»ÎªÈκθöÈËÓÃ;Ìṩ²úÆ·ºÍ·þÎñ¡£

²Î¿¼ÎÄÏ×£º

[1] Vargas JNS,et al. The mechanisms and roles of selective autophagy in mammals. Nat Rev Mol Cell Biol. 2023 Mar;24(3):167-185.
 
[2] Aman Y,et al. Autophagy in healthy aging and disease. Nat Aging. 2021 Aug;1(8):634-650.
 
[3] Noguchi M, et al. Autophagy as a modulator of cell death machinery. Cell Death Dis. 2020 Jul 8;11(7):517. 
 
[4] Denton D, et al. Autophagy-dependent cell death. Cell Death Differ. 2019 Mar;26(4):605-616. 
 
[5] Kroemer G, et al. Autophagy and the integrated stress response. Mol Cell. 2010 Oct 22;40(2):280-93. 
 
[6] Boya P, et al. Inhibition of macroautophagy triggers apoptosis. Mol Cell Biol. 2005 Feb;25(3):1025-40. 
 
[7] Mizushima N. The role of the Atg1/ULK1 complex in autophagy regulation. Curr Opin Cell Biol. 2010 Apr;22(2):132-9. 
 
[8] Bellot G, et al. Hypoxia-induced autophagy is mediated through hypoxia-inducible factor induction of BNIP3 and BNIP3L via their BH3 domains. Mol Cell Biol. 2009 May;29(10):2570-81. 
 
[9] Jung S, et al. Autophagy as a decisive process for cell death. Exp Mol Med. 2020 Jun;52(6):921-930. 
 
[10] Denton D, et al. Autophagy as a pro-death pathway. Immunol Cell Biol. 2015 Jan;93(1):35-42. 
 
[11] Liu J, et al. TMEM164 is a new determinant of autophagy-dependent ferroptosis. Autophagy. 2023 Mar;19(3):945-956.  
 
[12] Basit F, et al. Obatoclax (GX15-070) triggers necroptosis by promoting the assembly of the necrosome on autophagosomal membranes. Cell Death Differ. 2013 Sep;20(9):1161-73.  
 
[13] Li X, et al. Autophagy and autophagy-related proteins in cancer. Mol Cancer. 2020 Jan 22;19(1):12. 
 
[14] Mohsen S, et al. Autophagy Agents in Clinical Trials for Cancer Therapy: A Brief Review. Curr Oncol. 2022 Mar 5;29(3):1695-1708. 
 
[15] Mizushima N, et al. Methods in mammalian autophagy research. Cell. 2010 Feb 5;140(3):313-26. 
 
[16] Martinet W, et al. In situ detection of starvation-induced autophagy. J Histochem Cytochem. 2006 Jan;54(1):85-96.
»Ø¸´´ËÂ¥

» ²ÂÄãϲ»¶

» ±¾Ö÷ÌâÏà¹ØÉ̼ÒÍÆ¼ö: (ÎÒÒ²ÒªÔÚÕâÀïÍÆ¹ã)

ÒÑÔÄ   »Ø¸´´ËÂ¥   ¹Ø×¢TA ¸øTA·¢ÏûÏ¢ ËÍTAºì»¨ TAµÄ»ØÌû
Ïà¹Ø°æ¿éÌø×ª ÎÒÒª¶©ÔÄÂ¥Ö÷ 18317190548 µÄÖ÷Ìâ¸üÐÂ
×î¾ßÈËÆøÈÈÌûÍÆ¼ö [²é¿´È«²¿] ×÷Õß »Ø/¿´ ×îºó·¢±í
[¿¼ÑÐ] ÉúÎïѧ071000 329·ÖÇóµ÷¼Á +5 ÎÒ°®ÉúÎïÉúÎﰮΠ2026-03-17 5/250 2026-03-22 16:42 by tcx007
[¿¼ÑÐ] 303Çóµ÷¼Á +5 °²ÒäÁé 2026-03-22 6/300 2026-03-22 12:46 by ËØÑÕÇã³Ç1988
[¿¼ÑÐ] 354Çóµ÷¼Á +7 Tyoumou 2026-03-18 10/500 2026-03-22 11:11 by ÈËÀ´Ê¢
[¿¼ÑÐ] ÉúÎïѧһ־Ը985£¬·ÖÊý349Çóµ÷¼Á +4 zxts12 2026-03-21 7/350 2026-03-22 09:57 by zxts12
[¿¼ÑÐ] 336Çóµ÷¼Á +5 rmc8866 2026-03-21 5/250 2026-03-21 17:24 by ѧԱ8dgXkO
[¿¼ÑÐ] 299Çóµ÷¼Á +5 shxchem 2026-03-20 7/350 2026-03-21 17:09 by ColorlessPI
[»ù½ðÉêÇë] ѧУÒѾ­Ìá½»µ½NSFC£¬»¹ÄÜÐÞ¸ÄÂ𣿠40+4 babangida 2026-03-19 9/450 2026-03-21 16:12 by babangida
[¿¼ÑÐ] 279·ÖÇóµ÷¼Á Ò»Ö¾Ô¸211 +14 chaojifeixia 2026-03-19 15/750 2026-03-21 13:24 by zhukairuo
[¿¼ÑÐ] 085700×ÊÔ´Óë»·¾³308Çóµ÷¼Á +12 īīĮ 2026-03-18 13/650 2026-03-21 01:42 by JourneyLucky
[¿¼ÑÐ] ²ÄÁÏ 336 Çóµ÷¼Á +3 An@. 2026-03-18 4/200 2026-03-21 01:39 by JourneyLucky
[¿¼ÑÐ] 22408 344·Ö Çóµ÷¼Á Ò»Ö¾Ô¸ »ªµç¼ÆËã»ú¼¼Êõ +4 solanXXX 2026-03-20 4/200 2026-03-20 23:49 by alg094825
[¿¼ÑÐ] Ò»Ö¾Ô¸ÄϾ©Àí¹¤´óѧ085701×ÊÔ´Óë»·¾³302·ÖÇóµ÷¼Á +4 ¿ûè÷ÎÀ¶Ó 2026-03-18 6/300 2026-03-20 23:02 by JourneyLucky
[¿¼ÑÐ] ¿¼Ñе÷¼ÁÇóÑ§Ð£ÍÆ¼ö +3 ²®ÀÖ29 2026-03-18 5/250 2026-03-20 22:59 by JourneyLucky
[¿¼ÑÐ] 295¸´ÊÔµ÷¼Á +8 ¼òľChuFront 2026-03-19 8/400 2026-03-20 20:44 by zhukairuo
[¿¼ÑÐ] ²ÄÁÏѧ˶318Çóµ÷¼Á +5 February_Feb 2026-03-19 5/250 2026-03-19 23:51 by 23Postgrad
[¿¼ÑÐ] 0703»¯Ñ§µ÷¼Á +4 18889395102 2026-03-18 4/200 2026-03-19 16:13 by 30660438
[¿¼ÑÐ] ²ÄÁÏÓ뻯¹¤Çóµ÷¼Á +7 Ϊѧ666 2026-03-16 7/350 2026-03-19 14:48 by ¾¡Ë´Ò¢1
[¿¼ÑÐ] 344Çóµ÷¼Á +6 knight344 2026-03-16 7/350 2026-03-18 20:13 by walc
[˶²©¼ÒÔ°] ºþ±±¹¤Òµ´óѧ ÉúÃü¿ÆÑ§Ó뽡¿µÑ§Ôº-¿ÎÌâ×éÕÐÊÕ2026¼¶Ê³Æ·/ÉúÎï·½Ïò˶ʿ +3 1ϲ´º8 2026-03-17 5/250 2026-03-17 17:18 by ber´¨cool×Ó
[¿¼ÑÐ] ÓÐûÓеÀÌú/ÍÁľµÄÏëµ÷¼ÁÄÏÁÖ£¬¸ø×Ô¼ºÕÐʦµÜÖС« +3 TqlXswl 2026-03-16 7/350 2026-03-17 15:23 by TqlXswl
ÐÅÏ¢Ìáʾ
ÇëÌî´¦ÀíÒâ¼û