| 查看: 1398 | 回复: 8 | |||
grxbc金虫 (著名写手)
|
[交流]
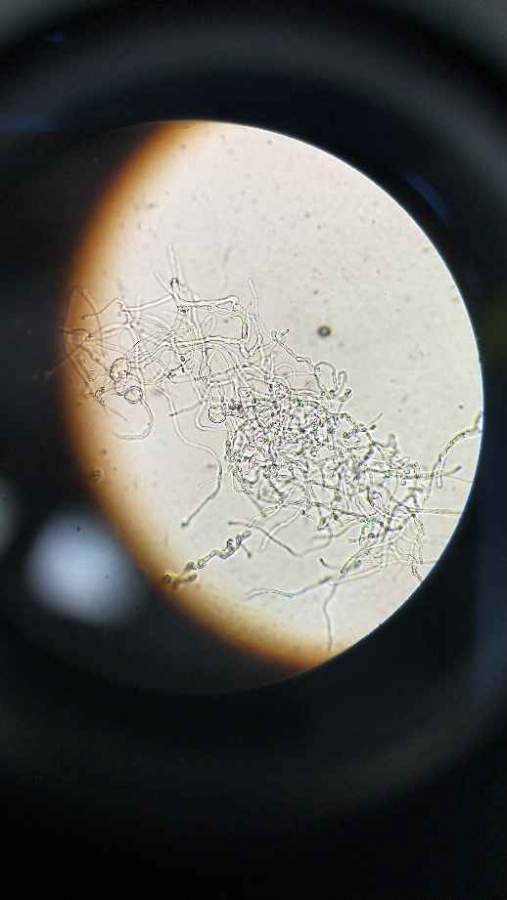
这是什么菌啊?有谁能帮助一下 已有3人参与
|
|
这种菌经常在大肠杆菌培养时污染,特别干扰实验进程,这是空LB摇起来的,这个样子,有谁知道这是什么?怎么处理啊? 发自小木虫Android客户端 |
» 猜你喜欢
一志愿华南师范大学0702物理学305调剂
已经有5人回复
求调剂
已经有30人回复
266求调剂
已经有10人回复
297求调剂
已经有16人回复
326分,一志愿沪9,求生物学调剂
已经有4人回复
288求调剂,一志愿华南理工大学071005
已经有3人回复
304求调剂
已经有13人回复
调剂
已经有18人回复
293调剂
已经有4人回复
338求调剂
已经有7人回复
vincent_hpax
铁杆木虫 (职业作家)
- 应助: 447 (硕士)
- 金币: 20161.6
- 散金: 86
- 红花: 50
- 沙发: 1
- 帖子: 4418
- 在线: 295.6小时
- 虫号: 3959873
- 注册: 2015-07-08
- 性别: GG
- 专业: 微生物生理与生物化学

2楼2022-08-31 23:34:38
grxbc
金虫 (著名写手)
- 应助: 0 (幼儿园)
- 金币: 5688.7
- 红花: 5
- 帖子: 1219
- 在线: 106.1小时
- 虫号: 1340357
- 注册: 2011-07-08
- 性别: GG
- 专业: 植物资源学
3楼2022-09-01 08:41:23
thermocellum
金虫 (正式写手)
- 应助: 3 (幼儿园)
- 金币: 634.8
- 散金: 262
- 红花: 5
- 帖子: 302
- 在线: 83.6小时
- 虫号: 3270483
- 注册: 2014-06-12
- 性别: GG
- 专业: 环境微生物学
4楼2022-09-01 16:17:22
grxbc
金虫 (著名写手)
- 应助: 0 (幼儿园)
- 金币: 5688.7
- 红花: 5
- 帖子: 1219
- 在线: 106.1小时
- 虫号: 1340357
- 注册: 2011-07-08
- 性别: GG
- 专业: 植物资源学
5楼2022-09-01 20:02:23
vincent_hpax
铁杆木虫 (职业作家)
- 应助: 447 (硕士)
- 金币: 20161.6
- 散金: 86
- 红花: 50
- 沙发: 1
- 帖子: 4418
- 在线: 295.6小时
- 虫号: 3959873
- 注册: 2015-07-08
- 性别: GG
- 专业: 微生物生理与生物化学

6楼2022-09-02 08:16:32
thermocellum
金虫 (正式写手)
- 应助: 3 (幼儿园)
- 金币: 634.8
- 散金: 262
- 红花: 5
- 帖子: 302
- 在线: 83.6小时
- 虫号: 3270483
- 注册: 2014-06-12
- 性别: GG
- 专业: 环境微生物学
7楼2022-09-02 08:41:29
grxbc
金虫 (著名写手)
- 应助: 0 (幼儿园)
- 金币: 5688.7
- 红花: 5
- 帖子: 1219
- 在线: 106.1小时
- 虫号: 1340357
- 注册: 2011-07-08
- 性别: GG
- 专业: 植物资源学
8楼2022-09-02 10:41:11
9楼2024-05-16 16:14:43














回复此楼