| 查看: 491 | 回复: 0 | ||
| 【悬赏金币】回答本帖问题,作者彳余铁蛋er将赠送您 29 个金币 | ||
彳余铁蛋er新虫 (初入文坛)
|
[求助]
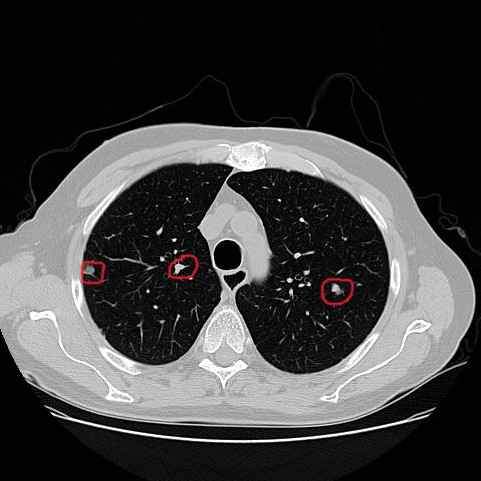
请问中间这个是肺结节吗
|
|
|
毕设自己训练的模型,用的LUNA16数据集,最后识别为肺结节的有三处,数据集标注的只有两侧为肺结节,很好奇中间这块是什么,肺淋巴结还是其它?恳请各位老师或同学解答。如图: 发自小木虫Android客户端 |
» 猜你喜欢
祈福国自然面上资助
已经有6人回复
散金,国自然面上中标
已经有177人回复
神经系统和精神疾病论文润色/翻译怎么收费?
已经有282人回复
有没有研究迁移体或外泌体的前辈呀
已经有0人回复
2025年山东省自然科学基金
已经有103人回复
2026年动脉粥样硬化/巨噬细胞/自噬 相关方向申博,已第一作者发表论文,求导师收留
已经有10人回复
已中的两个地区项目有固定代码
已经有6人回复
JJW维护个der啊!
已经有6人回复
投稿Journal of Medicinal Chemisty求助
已经有1人回复
2026年毕业 肿瘤/生信/心血管 方向申博求助 已发表实验性论文
已经有4人回复
2026年基础医学/心血管/巨噬细胞相关方向申博或相同方向的科研助理
已经有3人回复














回复此楼
10