| 查看: 1355 | 回复: 1 | |
| 【悬赏金币】回答本帖问题,作者毕哥啊将赠送您 10 个金币 | |
[求助]
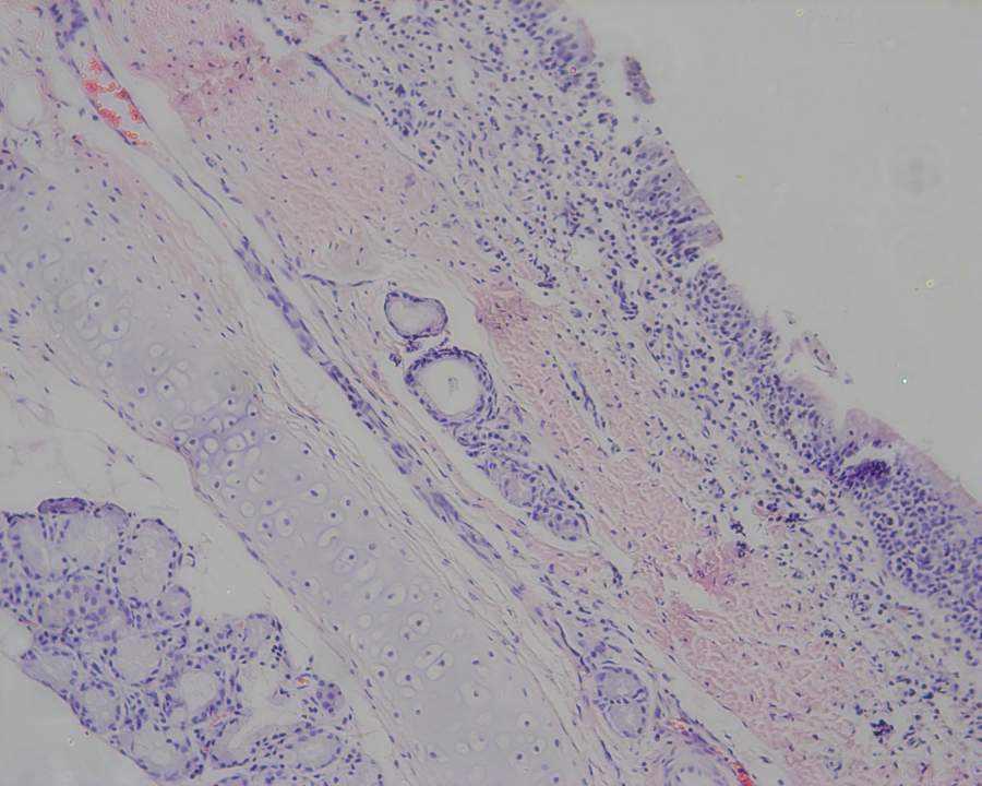
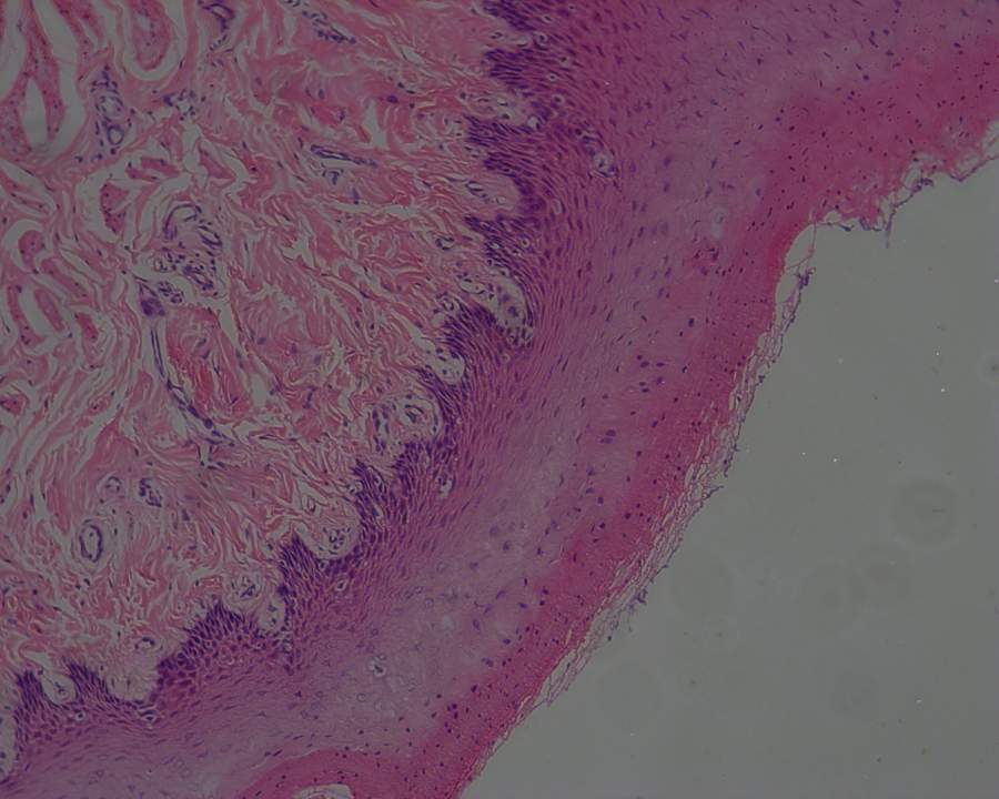
HE染色后怎么描述组织无损伤?
|
|
|
|
|
恒意赛teh
|
|
|
2楼2021-12-08 10:15:25
|
|














回复此楼