| 查看: 790 | 回复: 1 | ||
| 【悬赏金币】回答本帖问题,作者Hiiiyooo将赠送您 10 个金币 | ||
[求助]
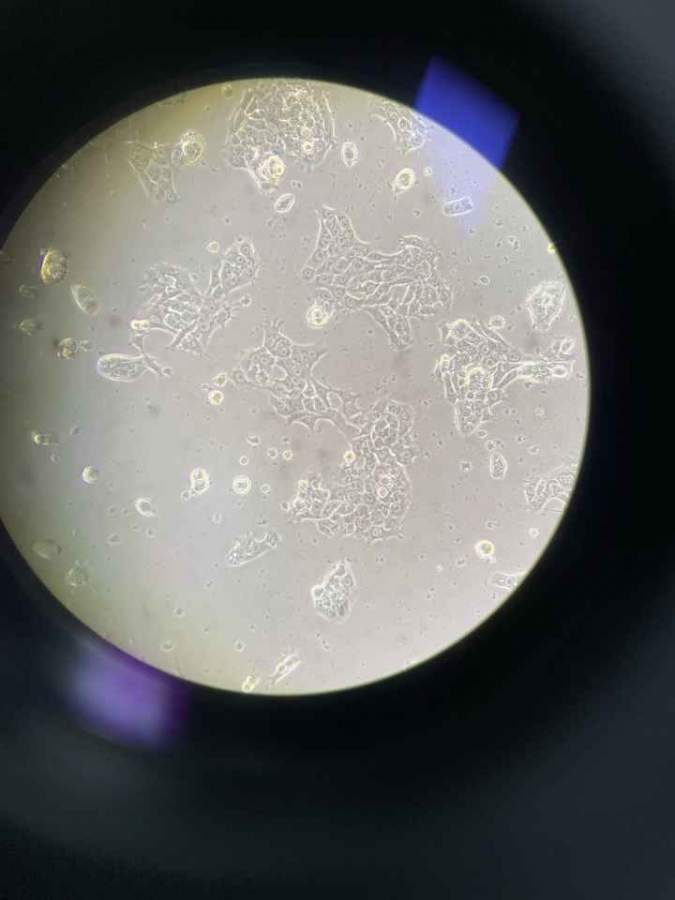
乳腺癌细胞培养问题
|
||
|
百思不得其解 这个4T1细胞养着养着就成这样了 简单说一下,细胞代数未知(或许养了好几年了 个人认为,是细胞传代次数太多,细胞衰老导致细胞凋亡了…(细胞培养小白,只是自我认为的分析一下 求助各位大哥哥大姐姐~ @gyesang @hc-material 发自小木虫Android客户端 |
» 猜你喜欢
AI 太可怕了,写基金时,提出想法,直接生成的文字比自己想得深远,还有科学性
已经有9人回复
有时候真觉得大城市人没有县城人甚至个体户幸福
已经有12人回复
依托企业入选了国家启明计划青年人才。有无高校可以引进的。
已经有11人回复
依托企业入选了国家启明计划青年人才。有无高校可以引进的。
已经有10人回复
同年申请2项不同项目,第1个项目里不写第2个项目的信息,可以吗
已经有9人回复
表哥与省会女结婚,父母去帮带孩子被省会女气回家生重病了
已经有7人回复
天津大学招2026.09的博士生,欢迎大家推荐交流(博导是本人)
已经有9人回复
有院领导为了换新车,用横向课题经费买了俩车
已经有10人回复
2楼2021-12-10 20:14:52













回复此楼