| ²é¿´: 2511 | »Ø¸´: 3 | ||
| ¡¾ÐüÉͽð±Ò¡¿»Ø´ð±¾ÌûÎÊÌ⣬×÷Õßxuegyx½«ÔùËÍÄú 20 ¸ö½ð±Ò | ||
xuegyxľ³æ (ÕýʽдÊÖ)
|
[ÇóÖú]
»¬Ä¤×éÖ¯ÇÐÆ¬HEȾɫ
|
|
|
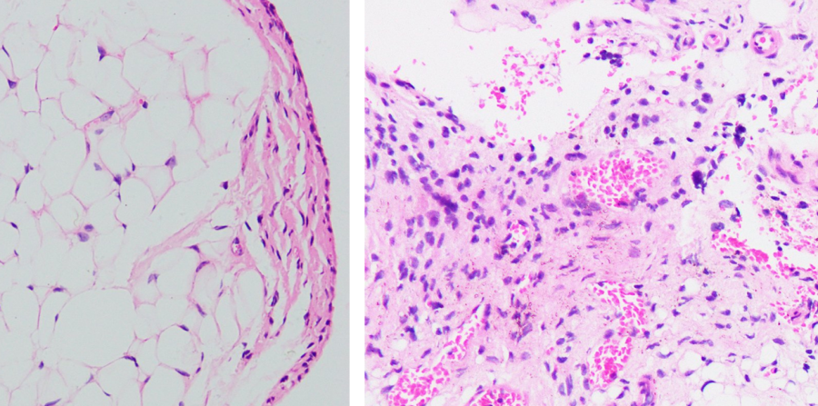
×î½ü×öСÊ󹨽ÚÑ×Ä£ÐÍ»¬Ä¤×éÖ¯HEȾɫÇÐÆ¬¡£Èçͼ£¬×ó±ßΪÕý³£×飬ÓÒ±ßΪģÐÍ×é¡£ÇëÎʽá¹ûÈçºÎ½â¶Á£¿±ÈÈçÄ£ÐÍ×éÊÇ·ñÓÐÑ×ÐÔϸ°û½þÈó£¿ÊÇ·ñÓÐÐÂÉúѪ¹Ü£¿ ͼƬ2.png |
» ²ÂÄãϲ»¶
±¾¿Æ211£¬293·ÖÇëÇóµ÷¼Á
ÒѾÓÐ4È˻ظ´
Çóµ÷¼Á
ÒѾÓÐ3È˻ظ´
085400µç×ÓÐÅÏ¢319Çóµ÷¼Á£¨½ÓÊÜ¿çרҵµ÷¼Á£©
ÒѾÓÐ5È˻ظ´
268Çóµ÷¼Á
ÒѾÓÐ9È˻ظ´
һ־Ը˫·Ç085502£¬267·Ö£¬¹ýËļ¶Çóµ÷¼Á
ÒѾÓÐ3È˻ظ´
Ò»Ö¾Ô¸085404£¬×Ü·Ö291£¬Ëļ¶Òѹý£¬Çóµ÷¼Á
ÒѾÓÐ4È˻ظ´
297Çóµ÷¼Á
ÒѾÓÐ12È˻ظ´
26µ÷¼Á 086003
ÒѾÓÐ3È˻ظ´
265Çóµ÷¼Á
ÒѾÓÐ20È˻ظ´
271·ÖÇóµ÷¼ÁѧУ
ÒѾÓÐ11È˻ظ´
Áè¶ùÁèÒÄ
ͳæ (СÓÐÃûÆø)
- Ó¦Öú: 0 (Ó×¶ùÔ°)
- ½ð±Ò: 1067
- É¢½ð: 50
- Ìû×Ó: 97
- ÔÚÏß: 40.3Сʱ
- ³æºÅ: 1696041
- ×¢²á: 2012-03-16
- ÐÔ±ð: MM
- רҵ: »ù´¡ÊÞҽѧ
2Â¥2021-07-28 22:07:21
SheeranXu7
гæ (³õÈëÎÄ̳)
- Ó¦Öú: 0 (Ó×¶ùÔ°)
- ½ð±Ò: 18
- Ìû×Ó: 12
- ÔÚÏß: 26·ÖÖÓ
- ³æºÅ: 25628250
- ×¢²á: 2021-03-04
- רҵ: Ò©¼Áѧ
3Â¥2022-11-22 00:43:22
4Â¥2024-06-25 21:22:43














»Ø¸´´ËÂ¥
