| 查看: 777 | 回复: 0 | |||
NanoFCMlxq新虫 (正式写手)
|
[交流]
外泌体相关研究文献分享,轻松读完一篇文献(二)
|
|
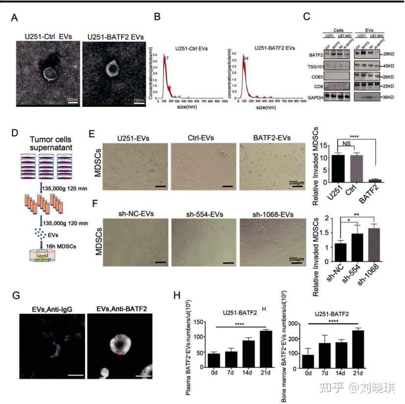
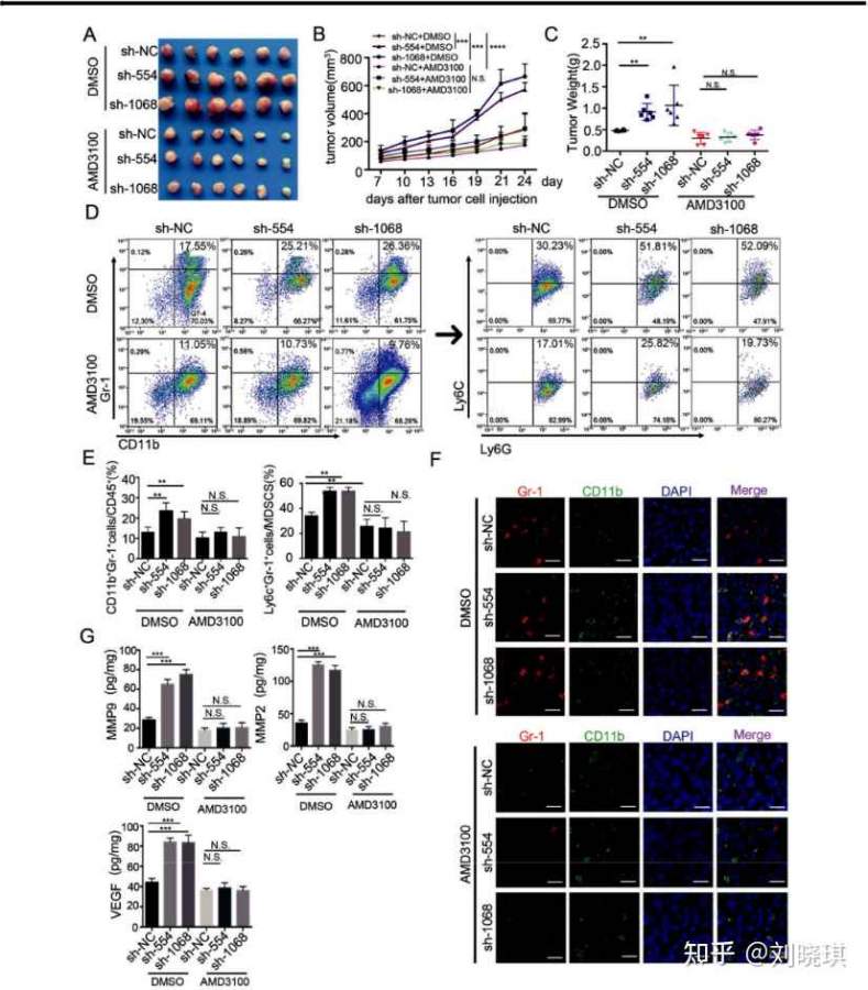
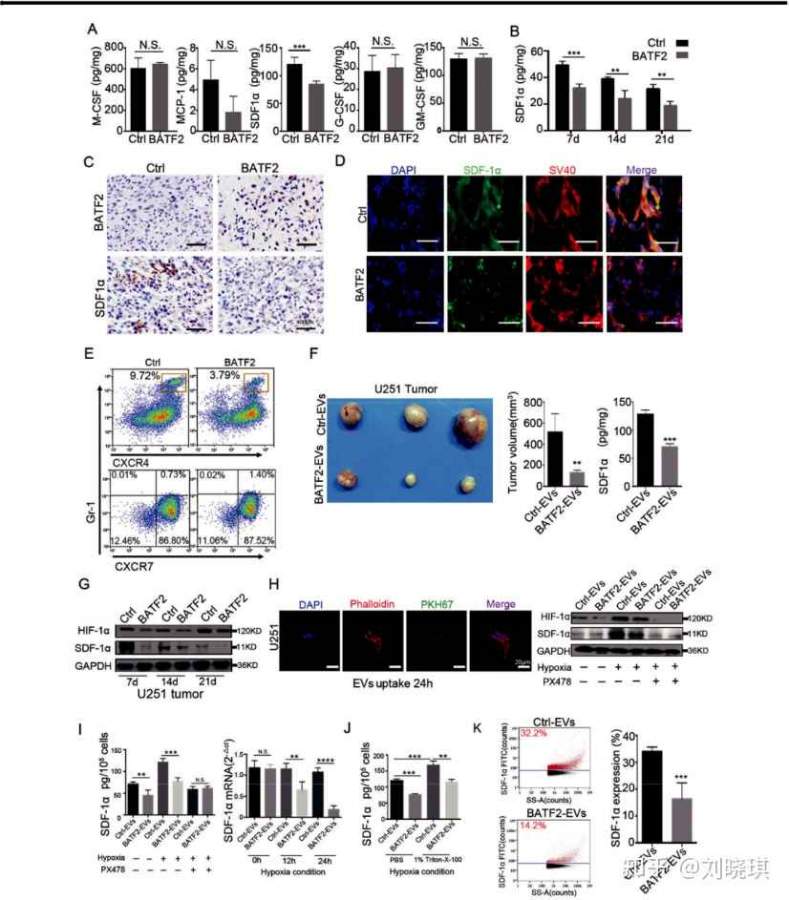
今天分享一篇发表在Oncogene(2020年IF=7.971)上的文章,名为《BATF2 prevents glioblastoma multiforme progression by inhibiting recruitment of myeloid-derived suppressor cells》[1]( BATF2通过抑制骨髓源性抑制细胞的募集来阻止胶质母细胞瘤的多形性进展)。 胶质母细胞瘤(Glioblastoma multiform, GBM)是人类原发性脑肿瘤中最常见、最致命的一种类型。GBM患者中位生存率<16个月。肿瘤微环境(位于内外环境中的肿瘤细胞,TME)对肿瘤的发生、生长和进展至关重要。骨髓源性抑制细胞(MDSCs)是骨髓源性细胞的异质群体,在各种病理条件下累积,特别是在胶质瘤中。MDSCs释放血管内皮生长因子A ( VEGFA)和基质金属蛋白酶(MMP2和MMP-9)促进胶质瘤生长。明确肿瘤细胞与肿瘤微环境之间的相互作用是治疗胶质瘤的关键。重要的是,在微环境中靶向肿瘤相关的MDSCs是胶质瘤的另一种治疗策略。 细胞外囊泡(EVs)包括大小范围约为40-160 nm的小细胞外囊泡(sEVs),以及直径在50 nm到1 μm之间的微粒、微囊泡和大囊泡。EVs是由核内体和核外体以内出芽和外出芽的形式形成的,同时有核酸和蛋白质的包裹。已知肿瘤源EVs在肿瘤细胞与肿瘤微环境之间的通信中发挥关键作用。越来越多的研究表明,EVs与肿瘤微环境密切相关。EVs携带的肿瘤细胞的生物活性分子最终接触并激活肿瘤促进细胞(如MDSCs和肿瘤相关巨噬细胞,TAMs)。EVs是反映肿瘤进展的有效循环标志物,在液体活检领域发挥着重要作用。因此,近年来,血浆EVs (plEVs)被鉴定为能够诊断胶质瘤和其他癌症类型的循环生物标志物。 碱性亮氨酸拉链ATF样转录因子2 (Basic leucine zipper ATF-like transcription factor 2, BATF2),也被称为干扰素调节的AP-1抑制因子(suppressor of AP-1 regulated by interferon (SARI)),通过抑制AP-1结合来降低CCN1启动子活性。最近有研究报道,BATF2过表达可抑制肿瘤细胞增殖和转移,并促进各种肿瘤细胞的凋亡。在患者中,BATF2表达缺失可通过激活肝细胞生长因子/c-Met信号促进上皮-间充质转化。由DNA甲基转移酶抑制剂和BATF2组成的潜在免疫治疗组合对成神经管细胞瘤发挥抗肿瘤作用。此外,BATF2上调TAMs中的IL-12p40,诱导CD8+T细胞活化,从而影响CD8α+树突状细胞发育和B淋巴瘤细胞杀伤。本小组之前的研究表明,BATF2以铜蓝蛋白为靶点抑制缺氧诱导因子(HIF-1α),从而抑制结肠肿瘤的生长。然而,BATF2在胶质瘤生长和肿瘤微环境中的作用尚未完全了解。 本研究发现BATF2通过抑制MDSCs的募集来抑制GBM的生长,而BATF2过表达细胞系的EVs在体外抑制MDSCs的募集。此外,24对不同分期胶质瘤血浆的EVs检测表明,血浆BATF2+ EVs可区分III-IV期胶质瘤、I-II期胶质瘤和健康供体。值得注意的是,我们的新发现确立了BATF2和BATF2-EVs在调节MDSCs中的调节功能,并提出了BATF2+plEVs作为反映胶质瘤分期的生物标志物的潜力。 研究结果: 一、 BATF2过表达抑制GBM成瘤 为了阐明BATF2在胶质瘤形成中的功能联系,我们选择GBM细胞在BALB/c裸鼠颅内进行肿瘤发生试验。我们检测了人星形胶质细胞(HA1800)和5种不同的胶质瘤细胞系(U251、U87-MG、LN-18、U118-MG和A172)的mRNA和蛋白水平上的BATF2表达。结果显示,在U251细胞中BATF2的表达降低,而在U87-MG细胞中BATF2的表达升高。因此,我们用含空载体(LV-Ctrl)或人BATF2编码载体(LV-BATF2)的慢病毒感染U251细胞。此外,我们还用两种针对BATF2的慢病毒编码shRNA (sh-1068和sh-554)或对照shRNA (sh-NC)感染U87-MG细胞。通过western blotting和qPCR分析证实了病毒转导后BATF2的表达。接下来,我们在裸鼠前脑原位植入1 × 10^5 U251-Ctrl和U251-BATF2细胞,并进行MRI和micro-CT检测以评估初始肿瘤生长情况。肿瘤植入5周后,我们发现在U251细胞中过表达BATF2显著抑制了肿瘤生长。在终点测量肿瘤体积(n=5) (p< 0.001)。此外,皮下注射U251-Ctrl和U251-BATF2细胞显示,BATF2上调显著降低肿瘤体积和重量~64.8% (p< 0.01)。对U87-shBATF2下调的异种移植物的MRI扫描和H&E染色显示,当BATF2下调时,肿瘤肿块显著增加(红色虚线显示肿瘤区域)。肿瘤体积和重量统计数据证实了相同的结果(p< 0.001)。这些数据证实了BATF2抑制颅内和皮下GBM模型中的肿瘤生长。 图1 BATF2过表达抑制GBM成瘤。A. U251-Ctrl组和U251-BATF2组典型肿瘤,MRI图像(35天),3D-Micro-CT图像(35天),H&E(35天)。红色点状区域突出肿瘤区域。基准尺,100μm。B. 平均颅内肿瘤体积 (n= 5, *p< 0.05, **p< 0.01, ***p< 0.001)。C. U251-Ctrl和U251-BATF2的平均皮下肿瘤体积 (n= 5, *p< 0.05, **p < 0.01, ***p < 0.001)。D. U251-Ctrl和U251BATF2的平均皮下肿瘤重量(n =5, *p< 0.05, **p< 0.01, ***p< 0.001)。 E. U87-sh-NC、U87-sh-554、U87-sh-1068组典型肿瘤, MRI、3D-micro-CT、H&E图像。红色点状区域突出肿瘤区域。基准尺,100μm。F. 平均颅内肿瘤体积 (n= 5, *p< 0.05, **p< 0.01, ***p< 0.001)。G. U87-sh-NC、U87-sh-554和U87-sh-1068的平均肿瘤体积(n =6, *p< 0.05, **p< 0.01, ***p< 0.001)。H. U87-sh-NC、U87-sh-554和U87-sh-1068的平均肿瘤重量(n= 6, *p< 0.05, **p< 0.01, ***p< 0.001)。 二、 BATF2抑制单核细胞来源的MDSCs向肿瘤微环境的募集 接下来,我们研究了BATF2是如何抑制肿瘤生长的。有趣的是,Cell Counting Kit-8分析显示,在U251、U87-MG、U118-MG和A172胶质瘤细胞中,BATF2的过表达和下调均不影响体外细胞活力。此外,体外transwell迁移实验显示,BATF2不影响肿瘤细胞的侵袭和迁移。此外,肿瘤皮下组织增殖细胞核抗原(PCNA)免疫组化(IHC)染色显示,BATF2表达上调并不能抑制肿瘤细胞增殖。U87-sh-554、U87-sh-1068和U87-sh-NC组的PCNA免疫组化染色证实了上述结果。因此,我们假设BATF2可能不是直接调控胶质瘤细胞增殖,而是影响肿瘤微环境。在此,我们利用小鼠胶质瘤细胞系GL261和稳定细胞系GL261-BATF2建立胶质瘤模型,发现BATF2过表达抑制GL261皮下肿瘤生长,与预期一致。通过计算骨髓源性细胞(CD45+,主要包括MDSCs和巨噬细胞)募集到肿瘤中的百分比,我们发现BATF2的上调显著抑制了CD45+细胞浸润(p< 0.001)。 此外,我们观察到,与GL261-Ctrl相比,GL261-BATF2中CD45+细胞上Gr-1+CD11b+MDSCs门内百分比显著降低(p< 0.05)。然而,F480+CD11b+ tam无明显变化。我们进一步使用单核细胞标记物(Ly-6C)和粒细胞标记物(Ly-6G)对MDSCs进行染色(数据未显示),结果发现,与U251-Ctrl 相比, BATF2的上调导致人胶质瘤细胞系U251-BATF2中的ly-6c+ Gr-1+ 单核细胞-MDSCs (Mo-MDSCs)和MDSCs募集显著减少(p< 0.001)。此外,与U87-sh-NC相比,U87-sh-554和U87-sh-1068组的Mo-MDSCs和MDSCs募集到肿瘤组织中的数量显著增加。此外,免疫染色也支持我们的研究结果。在人类GBM中,VEGFA、MMP-9和MMP2水平与胶质瘤的进展相关,并可由肿瘤细胞和MDSCs分泌。我们还进行了ELISA检测,发现BATF2上调显著降低了胶质瘤组织中VEGFA、MMP2和MMP-9的水平(VEGFA: p< 0.001;MMP2: p < 0.01;MMP-9: p < 0.01), U251-BATF2肿瘤中MMP-9染色减少。此外,酶谱结果显示,BATF2组MMP2和MMP-9活性降低。这些数据共同表明,BATF2抑制胶质瘤进展和Mo-MDSCs浸润。 图2 BATF2抑制单核细胞来源的MDSCs向肿瘤微环境的募集。A. 对注射15天后GL261-Ctrl和GL261-BATF2皮下肿瘤中BMDMs的流式分析和统计(n= 3,独立实验,*p< 0.05, **p< 0.01, ***p < 0.001)。B. 注射15天后U251-Ctrl和U251-BATF2组 GR-1+ CD11b+MDSCs和Ly-6C+ GR-1+ Mo-MDSCs/MDSCs 的流式分析。C. U251-Ctrl和U251-BATF2注射15天后CD11b+ Gr-1+MDSCs的统计(n =3,独立实验,*p< 0.05, **p< 0.01, ***p< 0.001)。D. U251-Ctrl和U251-BATF2注射15天后Gr-1+Ly-6C+Mo-MDSCs/CD11b+Gr1+MDSCs的统计(n=3,独立实验,*p< 0.05, **p< 0.01, ***p< 0.001)。E. 注射15天后U87-sh-NC、U87-sh-554和U87-sh-1068中CD11b+Gr-1+MDSCs和Gr-1+Ly-6C+Mo-MDSCs/ CD11b+Gr-1+MDSCs的流式分析。F. 注射15天后U87sh-NC、U87-sh-554和U87-sh-1068的CD11b+Gr-1+MDSCs的统计(n=3,独立实验,*p< 0.05, **p< 0.01, ***p< 0.001)。G. 注射15天后U87sh-NC、U87-sh-554和U87-sh-1068的Gr-1+Ly-6C+Mo-MDSCs/CD11b+Gr-1+MDSCs统计(n=3,独立实验,*p< 0.05, **p< 0.01, ***p< 0.001)。H. U251-Ctrl和U251-BATF2颅内肿瘤Gr-1(绿色)、CD11b(红色)、DAPI(蓝色)免疫荧光染色的典型图像。白色箭头表示MDSCs。基准尺,50μm。I. ELISA检测U251-Ctrl和U251-BATF2颅内肿瘤中MMP-9、MMP2、VEGF (n=3,独立实验,*p< 0.05, **p< 0.01, ***p< 0.001)。J. U251-Ctrl和U251-BATF2颅内肿瘤MMP-9(绿色)和DAPI(蓝色)免疫荧光染色的典型图像。基准尺,50μm。K. U251-Ctrl和U251-BATF2肿瘤的酶谱分析。 三、 过表达BATF2细胞系的EVs在体外抑制MDSCs趋化 肿瘤来源EVs在肿瘤细胞与微环境之间的通信中起着关键作用。因此,我们假设BATF2抑制MDSCs与EVs有关。为了解决这个问题,我们从U251-Ctrl和U251-BATF2细胞系中分离了EVs。透射电镜(TEM)显示,U251-Ctrl和U251-BATF2细胞中肿瘤源EVs的大小分布和形态相似。此外,从肿瘤细胞上清中提取的EVs的NTA分析也显示了U251-Ctrl和U251-BATF2细胞的大小分布。NTA分析也证实了来自胎牛血清的EVs的颗粒数。western blotting检测U251-Ctrl、U251-BATF2、U87-NC和U87-sh-BATF2上清液中EVs标记物CD63、CD9、TSG101、GAPDH和BATF2的表达。这些数据表明,从U251-BATF2细胞中提取的EVs的BATF2蛋白水平高于从U251-Ctrl细胞中提取的EVs。此外,与sh-NC相比,sh-BATF2细胞系释放的EVs中BATF2含量降低。为了进一步提供BATF2 - EVs抑制MDSCs趋化作用的体外证据,我们从携带GL-261的BALB/c裸小鼠中分离脾MDSCs,并从板孔底部过表达或下调BATF2的细胞中接种EVs,并与新鲜分离的脾MDSCs在上室共同孵育16小时。通过计数通过膜侵入的MDSCs数量,我们发现与BATF2- EVs共培养时,与ctrl - EVs组相比,底部的MDSCs数量明显减少。相反,BATF2下调的细胞系(U87sh-554和U87-sh-1068)的EVs促进了MDSCs体外趋化。用Exocounter检测EVs的表面蛋白。用金偶联的BATF2抗体孵育的GBM来源EVs,然后用TEM扫描。结果显示,EV表面存在BATF2蛋白,可以标记。我们使用Exo-counter平台计算了U251-BATF2荷瘤小鼠血浆中BATF2+EVs的数量。我们观察到,当BATF2在U251细胞中过表达时,随着时间的推移,注射U251BATF2的小鼠血浆和骨髓中检测到BATF2+EVs。这些数据表明,当BATF2在肿瘤中过表达时,体内荷瘤小鼠血浆和骨髓中的BATF2+EV浓度可能上调。综上所述,我们的结果表明,BATF2过表达细胞的EVs有效地抑制了MDSCs的募集。 图3. 过表达batf2细胞系的ev在体外抑制MDSCs趋化。A. 用扫描透射电镜分析,得到U251-Ctrl和U251-BATF2上清液中EVs的图像。比例尺,100nm。B. 典型的U251-Ctrl和U251BATF2来源EVs样品的NTA结果。C. western blotting检测U251-Ctrl、U251-BATF2、U87-sh-NC、U87-sh-BATF2肿瘤细胞来源的EVs和肿瘤细胞中BATF2、TSG101、CD9、CD63和GAPDH的蛋白水平。D. 肿瘤来源EVs激活并招募MDSCs的Matrigel侵袭实验。E. 与U251、U251- ctrl、U251- batf2肿瘤来源EVs共培养后的侵袭MDSCs细胞的代表图像及统计。比例尺,200 μm (n= 3,独立实验,*p< 0.05, **p< 0.01, ***p< 0.001)。F. 与U87-sh-NC、U87-sh-554、U87-sh-1068肿瘤来源EVs共培养后侵袭的MDSCs细胞的代表性图像及统计。比例尺,200 μm (n= 3,独立实验,*p< 0.05, **p< 0.01, ***p< 0.001)。G. GBM患者血浆EVs经一抗batf2和金偶联二抗染色后的透射电镜观察。箭头表示BATF2 EV染色阳性。比例尺,100nm。H. Exo-Counter检测u251 -BATF2小鼠0、7、14、21天血浆和骨髓中BATF2+EVs (n= 3,独立实验,*p< 0.05, **p< 0.01, ***p< 0.001)。 四、 在颅内肿瘤中,BATF2抑制SDF-1α的表达和cxcr4阳性的MDSCs浸润 接下来,我们用ELISA检测肿瘤中MDSCs相关的趋化因子(SDF-1α, MCP-1, M-CSF, GM-CSF和GCSF)。数据显示,SDF-1α水平在颅内U251-BATF2 肿瘤显著降低 (p < 0.001) 。 然而,GM-CSF、MCP-1、M-CSF和G-CSF的局部表达没有变化。特别是,BATF2上调抑制了在颅内肿瘤细胞注射后7、14和21d期间SDF-1α的分泌。 此外,免疫组化染色证实了BATF2与SDF-1α水平呈负相关。为了进一步证实SDF-1α丰度的减少,我们还用胶质瘤特异性标记SV40Tag和SDF-1α共同染色颅内肿瘤组织。结果表明,过表达BATF2可减弱SDF-1α在肿瘤细胞周围的定位。由于CXCR4是SDF-1α的主要受体,我们发现BATF2过表达主要抑制CXCR4+MDSCs的募集(p< 0.01),但不抑制CXCR7+MDSCs的募集(不显著)。免疫荧光共染色证实,在U251-BATF2肿瘤中存在少量的CXCR4+MDSCs,而在U251-Ctrl和U251-BATF2肿瘤中观察到的CXCR7+MDSCs很少。为了证实BATF2- EVs对SDF-1α是否有抑制作用,我们在U251肿瘤建立7 d后,每3 d皮下注射U251- ctrl和U251- batf2上清EVs。我们注意到注射来自U251- batf2上清液的EVs显著抑制了U251的生长(p< 0.001)。ELISA结果显示,注射BATF2- EVs后肿瘤组织中SDF-1α水平显著降低。据报道,HIF-1α通路可增加SDF-1α的表达。我们发现,在d7和d21之间的U251肿瘤进展过程中,HIF-1α的表达被激活,而在BATF2组中,在所有三个不同阶段HIF-1α的表达都被降低。为了证明BATF2- EVs在SDF-1α减少中的作用,共聚焦显微镜证实了U251细胞对体外EVs的摄取。Western blotting和ELISA结果显示,在常氧条件下,摄取BATF2- EVs对细胞SDF-1α的表达只有轻微的影响,而在缺氧条件下,BATF2- EVs处理明显抑制了HIF-1α和SDF-1α的表达。补充PX478阻断HIF-1α通路,防止BATF2或BATF2- EVs诱导的SDF-1α抑制。此外,ELISA和qPCR数据均证实,缺氧条件下,BATF2- EVs处理抑制了SDF-1α的表达。先前的研究表明SDF-1α是一种分泌蛋白。然而,尚不清楚SDF-1α是否存在于EVs中。因此,我们用非离子表面活性剂Triton X-100处理EVs,随后的ELISA数据显示,Triton X-100处理导致EVs水平上调1.5倍,而SDF-1α在BATF2- EVs共处理组显著下调。western blotting和ELISA检测证实,BATF2抑制U251细胞内源性HIF-1α和SDF-1α。用金偶联抗SDF-1α抗体标记EVs细胞膜后,TEM扫描检测到SDF-1α。此外,Nano-FCM分析显示SDF-1α+ EVs在U251-Ctrl细胞中的百分比(32.2%),而在U251-BATF2细胞中较少(14.2%)(p< 0.05)。这些数据表明,SDF-1α水平在BATF2- EVs中降低。综上所述,这些结果表明,batf2诱导的Mo-MDSCs招募抑制可能与SDF-1α有关。 图4. 在颅内肿瘤中,BATF2抑制SDF-1α的表达和cxcr4阳性的MDSCs浸润。A. ELISA检测U251-Ctrl和U251-BATF2组织中mdscs相关细胞因子(n =3,独立实验,*p< 0.05, **p< 0.01, ***p < 0.001)。B. ELISA检测U251-Ctrl和U251-BATF2肿瘤7、14、21天SDF-1α (n =3,独立实验,*p< 0.05, **p< 0.01, ***p< 0.001)。C. U251-Ctrl和U251-BATF2颅内肿瘤连续切片上的BATF2和SDF-1α代表性免疫组化图像。比例尺,100 μm。D. U251-Ctrl和U251-BATF2颅内肿瘤中SDF-1α(绿色)、SV40 largeT(红色)和DAPI(蓝色)免疫荧光染色的代表性图像。比例尺,25μm。E. 流式细胞分析从肿瘤中分离的CD11b+Gr1+MDSCs中CXCR4和CXCR7表达细胞的百分比。F. U251肿瘤注射U251-Ctrl和U251- batf2来源EVs四次后的代表图像,采用ELISA检测皮下肿瘤体积和SDF-1α (n =3个独立实验,*p< 0.05, **p< 0.01, ***p < 0.001)。G. Western blot检测U251肿瘤进展7、14和21天内HIF-1α和SDF-1α。将PKH67标记的EVs加入phalloidin染色的U251细胞,western blot检测HIF-1α和SDF-1α。比例尺,20μm。I. ELISA和qPCR检测用Ctrl-EVs和BATF2-EVs处理的U251肿瘤中SDF-1α (n= 3,独立实验,*p< 0.05, **p< 0.01, ***p < 0.001)。J. ELISA检测缺氧条件下加入和不加入1% Triton X-100的SDF-1α (n= 3,独立实验,*p< 0.05, **p< 0.01, ***p< 0.001)。K. Nano-FCM分析和统计SDF-1α在ctrl -EVs和batf2 -EVs中的表达(n= 3,独立实验,*p< 0.05, **p< 0.01, ***p< 0.001)。 五、 通过阻断CXCR4信号通路,增加的MDSCs募集和batf2下调的肿瘤生长被逆转 图5. 通过阻断CXCR4信号通路,batf2下调的MDSCs招募增加和肿瘤生长被逆转。A. DMSO和AMD3100处理U87-sh-NC, U87-sh-554, U87-sh-1068注射小鼠的肿瘤图像。B. DMSO和AMD3100处理的U87-sh-NC、U87sh-554、U87-sh-1068注射小鼠的肿瘤体积(n= 6, *p< 0.05, **p< 0.01, ***p< 0.001)。C. DMSO和AMD3100处理的U87-sh-NC、U87-sh-554、U87-sh-1068注射小鼠的肿瘤重量(n= 6, *p< 0.05, **p< 0.01, ***p< 0.001)。D. 流式分析U87-sh-NC、U87-sh-554和U87-sh-1068注射DMSO和AMD3100处理的肿瘤中CD11b+Gr1+ MDSCs。E. U87-sh-NC、U87sh-554和U87-sh-1068注射DMSO和AMD3100处理的肿瘤中CD11b+Gr1+MDSCs的统计(n= 3,独立实验,*p< 0.05, **p< 0.01, ***p< 0.001)。F. 经DMSO和AMD3100处理的U87-sh-NC、U87-sh-554和U87sh-1068中Gr-1(红色)、CD11b(绿色)和DAPI(蓝色)免疫荧光染色的代表性图像。比例尺,25μm。G. ELISA检测DMSO和AMD3100注射U87-sh-NC、U87-sh554、U87-sh-1068中MMP-9、VEGF、MMP2 (n= 3,独立实验,*p< 0.05, **p< 0.01, ***p< 0.001)。 有兴趣的话可以自己找这篇文献具体看,或者私聊我要文献资料,有理解得不对的地方,欢迎专业人士指正,一起交流~ 参考文献: [1]Zhang, X; Liu, Y; Dai, L; et al.BATF2 prevents glioblastoma multiforme progression by inhibiting recruitment of myeloid-derived suppressor cells.[J].Oncogene.2021,40(8):1516-1530 发自小木虫Android客户端 |
» 猜你喜欢
天津大学招2026.09的博士生,欢迎大家推荐交流(博导是本人)
已经有11人回复
表哥与省会女结婚,父母去帮带孩子被省会女气回家生重病了
已经有9人回复
AI 太可怕了,写基金时,提出想法,直接生成的文字比自己想得深远,还有科学性
已经有10人回复
同年申请2项不同项目,第1个项目里不写第2个项目的信息,可以吗
已经有10人回复
依托企业入选了国家启明计划青年人才。有无高校可以引进的。
已经有11人回复
依托企业入选了国家启明计划青年人才。有无高校可以引进的。
已经有11人回复













回复此楼