| ²é¿´: 2744 | »Ø¸´: 1 | ||
| ¡¾ÐüÉͽð±Ò¡¿»Ø´ð±¾ÌûÎÊÌ⣬×÷ÕßJoyce11112½«ÔùËÍÄú 5 ¸ö½ð±Ò | ||
Joyce11112гæ (³õÈëÎÄ̳)
|
[ÇóÖú]
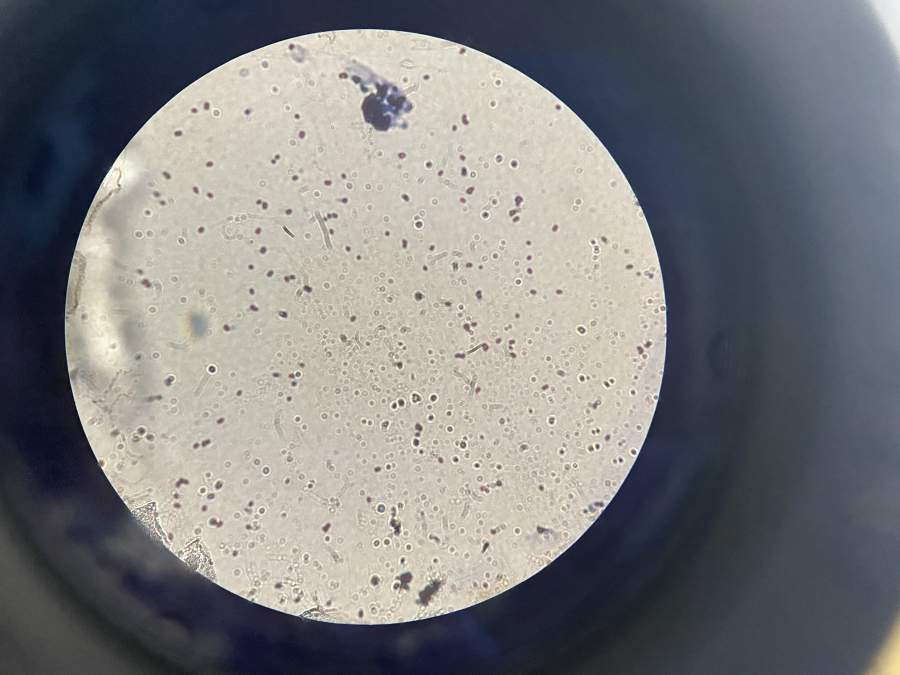
ÇóÖú£¡Çó¿´ÏÔ΢¾µÏÂÈéËá¾úÐÎ̬ºÍÅàÑø»ùÐÎ̬ͼ
|
|
|
|
||
|
||
|
2Â¥2021-04-06 16:01:12
|
|
|













»Ø¸´´ËÂ¥
5