| 查看: 2898 | 回复: 12 | |||
[交流]
AZ31镁合金金相侵蚀求助 已有10人参与
|
|||
|
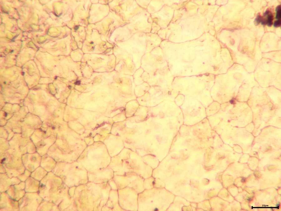
挤压过后的az31镁合金的相关实验。现在遇到的问题是不管用苦味酸还是硝酸酒精都没办法得到很好的侵蚀效果。想请教下是什么原因呢?变形层未充分去除?侵蚀时间或者是侵蚀剂不对应? 图1、2是用苦味酸侵蚀40秒;图3、4是用5%硝酸酒精侵蚀20秒;图5、6是用5%硝酸酒精侵蚀40秒。 发自小木虫Android客户端 |
» 猜你喜欢
298求调剂
已经有4人回复
生物学308分求调剂(一志愿华东师大)做过分子实验
已经有7人回复
288求调剂,一志愿华南理工大学071005
已经有11人回复
一志愿深大085601材料工程专业(专硕)300分可以调剂去哪
已经有13人回复
一志愿郑州大学085600求调剂
已经有24人回复
327求调剂
已经有12人回复
327求调剂
已经有10人回复
材料考研求调剂总分280
已经有28人回复
308求调剂
已经有14人回复
材料专硕调剂
已经有13人回复
25run
木虫 (小有名气)
- 应助: 0 (幼儿园)
- 金币: 3534.1
- 散金: 15
- 红花: 2
- 帖子: 233
- 在线: 205.3小时
- 虫号: 1476159
- 注册: 2011-11-04
- 专业: 生物医用高分子材料
3楼2021-03-19 21:19:59
9191924228
新虫 (正式写手)
- 应助: 0 (幼儿园)
- 金币: 1176.6
- 红花: 3
- 帖子: 400
- 在线: 8.8小时
- 虫号: 9570491
- 注册: 2018-07-21
- 专业: 金属材料
2楼2021-03-19 11:57:11
yinweisteel
新虫 (正式写手)
- 应助: 0 (幼儿园)
- 金币: 1228.3
- 散金: 105
- 红花: 9
- 帖子: 734
- 在线: 76.6小时
- 虫号: 5773495
- 注册: 2017-02-27
- 专业: 金属材料的微观结构
4楼2021-03-26 07:31:42
★
小木虫: 金币+0.5, 给个红包,谢谢回帖
小木虫: 金币+0.5, 给个红包,谢谢回帖
|
本帖内容被屏蔽 |
5楼2021-04-22 08:08:23
6楼2021-05-07 22:09:42
qiangtao08
银虫 (著名写手)
- 应助: 0 (幼儿园)
- 金币: 119.9
- 散金: 158
- 红花: 6
- 帖子: 1302
- 在线: 787.9小时
- 虫号: 562201
- 注册: 2008-05-23
- 专业: 聚合物共混与复合材料
7楼2021-05-22 15:53:58
8楼2021-06-11 00:18:13
yangfulai
新虫 (初入文坛)
- 应助: 0 (幼儿园)
- 金币: 38.2
- 帖子: 13
- 在线: 3.8小时
- 虫号: 14253719
- 注册: 2019-02-20
- 专业: 金属材料的合金相、相变及
9楼2021-06-22 09:46:23
10楼2021-07-08 19:28:58














回复此楼
