²é¿´: 1320  |  »Ø¸´: 0

victor_u

гæ (СÓÐÃûÆø)

[½»Á÷] ¹ØÓÚϸ°ûÆÆËé¼¼ÊõÓë·½·¨£¬Ò»ÆðÁ˽âÏÂ~

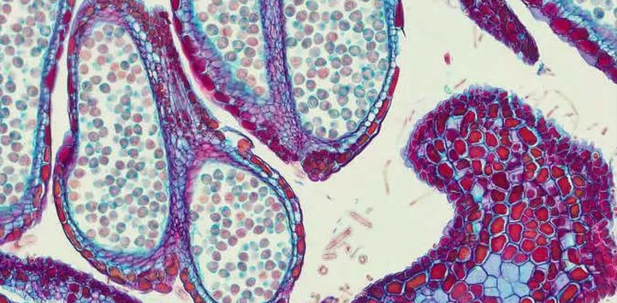
ϸ°ûÆÆËé¼¼ÊõµÄ¶¨Ò嬡ª¡ªÏ¸°ûÆÆËé¼¼ÊõÊÇÖ¸ÀûÓÃÍâÁ¦ÆÆ»µÏ¸°ûĤºÍϸ°û±Ú£¬Ê¹Ï¸°ûÄÚÈÝÎï°üÀ¨Ä¿µÄ²úÎï³É·ÖÊͷųöÀ´µÄ¼¼Êõ£¬ÊÇ·ÖÀë´¿»¯Ï¸°ûÄÚÈݺϳɵķǷÖÃÚÐÍÉú»¯
ÎïÖÊ£¨²úÆ·£©µÄ»ù´¡¡£½áºÏÖØ×éDNA¼¼ÊõºÍ×éÖ¯ÅàÑø¼¼ÊõÉϵÄÖØ´ó½øÕ¹£¬ÒÔǰÈÏΪºÜÄÑ»ñµÃµÄµ°°×ÖÊÏÖÔÚ¿ÉÒÔ´ó¹æÄ£Éú²ú¡£

ÔÚÉúÎïѧÑо¿ÖУ¬³ýÁËijЩϸ°ûÍâµÄ¶àëļ¤ËغÍijЩµ°°×ÖÊÓëøÒÔÍ⣬¾­³£»á¶Ôϸ°û»ò×éÖ¯½øÐÐÆÆËé´¦Àí£¬Ê¹ÉúÎï´ó·Ö×Ó³ä·ÖÊͷŵ½ÈÜÒºÖУ¬²¢²»¶ªÊ§ÉúÎï»îÐÔ£¬×îÖÕÄ¿µÄÊÇ»ñµÃϸ°ûÄÚµÄÎïÖÊ¡£²»Í¬µÄÉúÎïÌå»òͬһÉúÎïÌåµÄ²»Í¬²¿Î»µÄ×éÖ¯£¬Æäϸ°ûÆÆËéµÄÄÑÒײ»Ò»£¬Ê¹Óõķ½·¨Ò²²»Ïàͬ£¬È綯ÎïÔàÆ÷µÄϸ°ûĤ½Ï´àÈõ£¬ÈÝÒׯÆË飬ֲÎïºÍ΢ÉúÎïÓÉÓÚ¾ßÓнϼá¹ÌµÄÏËÎ¬ËØ¡¢°ëÏËÎ¬ËØ×é³ÉµÄϸ°û±Ú£¬Òª²ÉȡרÃŵÄϸ°ûÆÆËé·½·¨¡£

ÓÉÓÚϸ¾ú¡¢½Íĸ¡¢Õæ¾ú¡¢Ö²Îï¶¼ÓÐϸ°û±Ú£¬µ«³É·Ö²»Í¬£¬ÇÒͬÀàϸ°û½á³ÉµÄÍø×´½á¹¹²»Í¬£¬Òò´ËÆäϸ°û±ÚµÄ¼á¹Ì³Ì¶È²»Í¬£¬×ÜÌå³ÊÏÖµÝÔöÌ¬ÊÆ¡£¶¯Îïϸ°ûËäȻûÓÐϸ°û±Ú£¬µ«¾ßÓÐϸ°ûĤ£¬Ò²ÐèÒªÒ»¶¨µÄϸ°ûÆÆËé·½·¨À´ÆÆÄ¤£¬´ïµ½ÌáÈ¡²úÎïµÄÄ¿µÄ¡£

NO.1 ÉøÍ¸³å»÷ÆÆËé·¨
Ò»ÖÖ½ÏΪÎÂºÍµÄÆÆËé·½·¨£¬½«Ï¸°û·ÅÔÚ¸ßÉøÍ¸Ñ¹µÄÈÜÒºÖУ¨ÈçÒ»¶¨Å¨¶ÈµÄ¸ÊÓÍ»òÕáÌÇÈÜÒº£©£¬ÓÉÓÚÉøÍ¸Ñ¹µÄ×÷Óã¬Ï¸°ûÄÚË®·Ö±ãÏòÍâÉøÍ¸£¬Ï¸°û·¢ÉúÊÕËõ£¬µ±´ïµ½Æ½ºâºó£¬½«½éÖÊ¿ìËÙÏ¡ÊÍ£¬»ò½«Ï¸°ûתÈëË®»ò»º³åÒºÖУ¬ÓÉÓÚÉøÍ¸Ñ¹µÄͻȻ±ä»¯£¬°ûÍâµÄˮѸËÙÉøÈë°ûÄÚ£¬ÒýÆðϸ°û¿ìËÙÅòÕͶøÆÆÁÑ¡£

NO.2 ·´¸´¶³ÈÚ·¨
½«Ï¸°û·ÅÔÚµÍÎÂÏÂÀä¶³£¨Ô¼-15¡æ£©£¬È»ºóÔÚÊÒÎÂÖÐÈÚ»¯£¬·´¸´¶à´Î¶ø´ïµ½ÆÆ±Ú×÷Óá£ÓÉÓÚÀä¶³£¬Ò»·½ÃæÄÜʹϸ°ûĤµÄÊèË®¼ü½á¹¹ÆÆÁÑ£¬´Ó¶øÔö¼Óϸ°ûµÄÇ×Ë®ÐÔÄÜ£¬ÁíÒ»·½Ãæ°ûÄÚË®½á¾§£¬Ðγɱù¾§Á££¬ÒýÆðϸ°ûÅòÕÍÆÆÁÑ¡£¶ÔÓÚϸ°û±Ú½Ï´àÈõµÄ¾úÌ壬¿É²ÉÓô˷¨¡£

NO.3 øÈÜ񼮮Ëé·¨
ÀûÓø÷ÖÖË®½âø£¬ÈçÈܾúøµÈ£¬½«Ï¸°û±Ú·Ö½â£¬Ê¹Ï¸°ûÄÚº¬ÎïÊͷųöÀ´¡£´Ë·¨Êʺ϶àÖÖ΢ÉúÎï¡£

NO.4 »¯Ñ§ÊÔ¼Á·¨
ijЩÓлúÈܼÁ£¨Èç±½¡¢¼×±½£©¡¢¿¹ÉúËØ¡¢±íÃæ»îÐÔ¼Á¡¢½ðÊôòüºÏ¼Á¡¢±äÐÔ¼ÁµÈ»¯Ñ§Ò©Æ·¶¼¿ÉÒԸıäϸ°û±Ú»òĤµÄͨ͸ÐÔ´Ó¶øÊ¹ÄÚº¬ÎïÓÐÑ¡ÔñµÄÉøÍ¸³öÀ´¡£ÓÐЩ¶¯Îïϸ°û£¬ÀýÈçÖ×Áöϸ°û¿É²ÉÓÃÊ®¶þÍé»ù»ÇËáÄÆ£¨SDS£©¡¢È¥Ñõµ¨ËáÄÆµÈϸ°ûÄ¤ÆÆ»µ¡£

»¥¶¯»ØÌû°É
ÔÚ¶Ôϸ°ûÆÆËéµÄѧϰ¡¢Ñо¿¹ý³ÌÖУ¬Ä㻹Óöµ½ÆäËûϸ°ûÆÆËé·½·¨Â𣿻¶Ó­»ØÌû·ÖÏí£¬¹²Í¬Ñ§Ï°£¬¹²Í¬½ø²½¡£

¹ØÓÚϸ°ûÆÆËé¼¼ÊõÓë·½·¨£¬Ò»ÆðÁ˽âÏÂ~
030901.png


¹ØÓÚϸ°ûÆÆËé¼¼ÊõÓë·½·¨£¬Ò»ÆðÁ˽âÏÂ~-1
0309-4.png
»Ø¸´´ËÂ¥

» ²ÂÄãϲ»¶

» ±¾Ö÷ÌâÏà¹ØÉ̼ÒÍÆ¼ö: (ÎÒÒ²ÒªÔÚÕâÀïÍÆ¹ã)

ÒÑÔÄ   »Ø¸´´ËÂ¥   ¹Ø×¢TA ¸øTA·¢ÏûÏ¢ ËÍTAºì»¨ TAµÄ»ØÌû
Ïà¹Ø°æ¿éÌø×ª ÎÒÒª¶©ÔÄÂ¥Ö÷ victor_u µÄÖ÷Ìâ¸üÐÂ
×î¾ßÈËÆøÈÈÌûÍÆ¼ö [²é¿´È«²¿] ×÷Õß »Ø/¿´ ×îºó·¢±í
[¿¼ÑÐ] 08¹¤Ñ§µ÷¼Á +7 Óû§573181 2026-03-20 11/550 2026-03-23 15:47 by ÎÒ°®Ñ§Ï°Ñ§Ï°Ê¹Î
[¿¼ÑÐ] 0854µç×ÓÐÅÏ¢Çóµ÷¼Á 324 +3 Promise-jyl 2026-03-23 3/150 2026-03-23 13:43 by wangkm
[¿¼ÑÐ] 263Çóµ÷¼Á +6 yqdszhdap£­ 2026-03-22 9/450 2026-03-23 12:57 by yqdszhdap£­
[¿¼ÑÐ] ±±¿Æ281ѧ˶²ÄÁÏÇóµ÷¼Á +8 tcxiaoxx 2026-03-20 9/450 2026-03-23 12:16 by tcxiaoxx
[¿¼ÑÐ] 276Çóµ÷¼Á +3 YNRYG 2026-03-21 4/200 2026-03-23 08:31 by ×íÔÚ·çÀï
[¿¼ÑÐ] Çóµ÷¼Á +5 Zhangbod 2026-03-21 7/350 2026-03-22 13:13 by Zhangbod
[¿¼ÑÐ] 354Çóµ÷¼Á +7 Tyoumou 2026-03-18 10/500 2026-03-22 11:11 by ÈËÀ´Ê¢
[¿¼ÑÐ] Ò»Ö¾Ô¸¶«»ª´óѧ¿ØÖÆÑ§Ë¶320Çóµ÷¼Á +3 Grand777 2026-03-21 3/150 2026-03-21 19:23 by ¼òÖ®-
[¿¼ÑÐ] Ò»Ö¾Ô¸ÄÏ´ó£¬0703»¯Ñ§£¬·ÖÊý336£¬Çóµ÷¼Á +3 ÊÕµ½VS 2026-03-21 3/150 2026-03-21 18:42 by ѧԱ8dgXkO
[¿¼ÑÐ] 311Çóµ÷¼Á +3 Ó¸ҵÄСÎâ 2026-03-20 3/150 2026-03-21 17:40 by ColorlessPI
[¿¼ÑÐ] 299Çóµ÷¼Á +5 shxchem 2026-03-20 7/350 2026-03-21 17:09 by ColorlessPI
[¿¼ÑÐ] 0805²ÄÁÏ320Çóµ÷¼Á +3 ÉÎïÓï 2026-03-20 3/150 2026-03-21 15:46 by Î޼ʵIJÝÔ­
[¿¼ÑÐ] 265Çóµ÷¼Á +9 ÁºÁºÐ£Ð£ 2026-03-17 9/450 2026-03-21 02:17 by JourneyLucky
[¿¼ÑÐ] 296Çóµ÷¼Á +6 www_q 2026-03-18 10/500 2026-03-20 23:56 by JourneyLucky
[¿¼ÑÐ] 274Çóµ÷¼Á +10 S.H1 2026-03-18 10/500 2026-03-20 23:51 by JourneyLucky
[¿¼ÑÐ] Ò»Ö¾Ô¸ÄϾ©Àí¹¤´óѧ085701×ÊÔ´Óë»·¾³302·ÖÇóµ÷¼Á +4 ¿ûè÷ÎÀ¶Ó 2026-03-18 6/300 2026-03-20 23:02 by JourneyLucky
[¿¼ÑÐ] AÇøÏß²ÄÁÏѧµ÷¼Á +5 ÖÜÖÜÎÞ¼« 2026-03-20 5/250 2026-03-20 21:33 by laoshidan
[¿¼ÑÐ] 353Çóµ÷¼Á +3 À­¹³²»Ðí±ä 2026-03-20 3/150 2026-03-20 19:56 by JourneyLucky
[¿¼ÑÐ] ²ÄÁÏѧ˶318Çóµ÷¼Á +5 February_Feb 2026-03-19 5/250 2026-03-19 23:51 by 23Postgrad
[¿¼ÑÐ] 085600²ÄÁÏÓ뻯¹¤Çóµ÷¼Á +6 Ð÷ÐÒÓë×Ó 2026-03-17 6/300 2026-03-19 13:27 by houyaoxu
ÐÅÏ¢Ìáʾ
ÇëÌî´¦ÀíÒâ¼û