| 查看: 1803 | 回复: 1 | ||
| 【悬赏金币】回答本帖问题,作者悠悠是小猪将赠送您 5 个金币 | ||
[求助]
TUNEL显色法结果出来了,请问暴露组是否有凋亡?
|
||
|
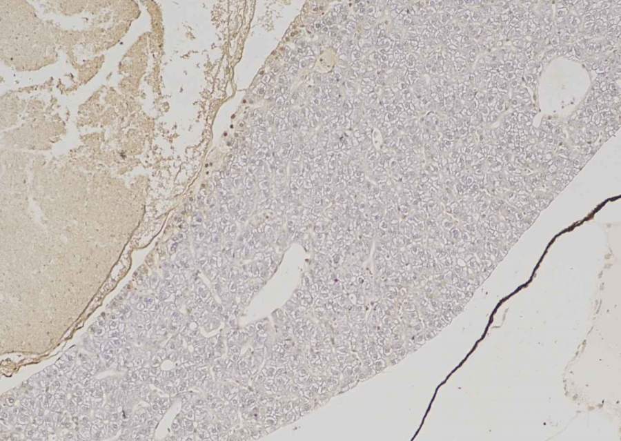
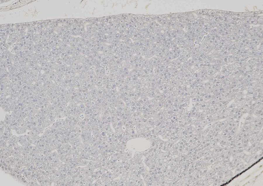
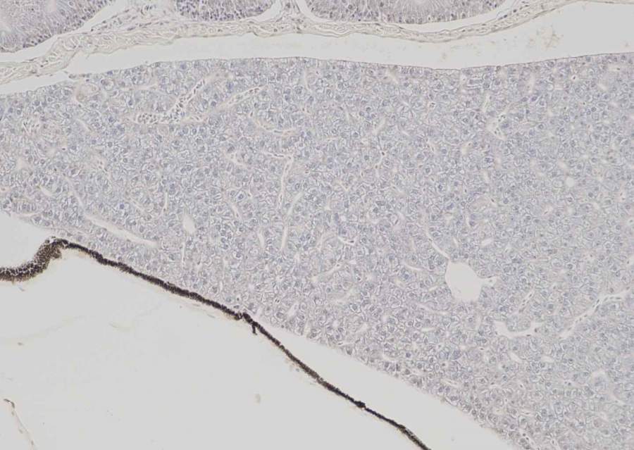
TUNEL小白求问: 用鱼做了两个月的污染物暴露实验,下面四张图是鱼肝脏切片的TUNEL白光染色(DAB)结果。 前两张是空白组的肝脏,后两张是暴露组的肝脏。 看上去后两张棕色更多,请问大家暴露组肝细胞是发生凋亡了吗?凋亡区域在哪里?凋亡程度如何? 另外还想问问如何识别凋亡细胞呢? 谢谢! @gyesang @gyesang 发自小木虫Android客户端 |
» 猜你喜欢
没有青基直接申请面上,感觉自己疯了
已经有12人回复
欢迎211本科同学,过A区国家线,A区非偏远一本,交叉学科课题组
已经有9人回复
0856材料求调剂
已经有16人回复
0856材料与化工,270求调剂
已经有18人回复
0703 东华大学 理学化学均过 a 线,总分 281 求调剂
已经有6人回复
环境调剂
已经有7人回复
070300化学 280 一志愿太原理工 求调剂
已经有7人回复
304分材料专硕求调剂
已经有11人回复
化学工程求调剂
已经有10人回复
材料085600 303求调剂
已经有6人回复
2楼2020-12-07 17:14:42













回复此楼
100