版块导航
正在加载中...
客户端APP下载
论文辅导
申博辅导
登录
注册
帖子
帖子
用户
本版
应《网络安全法》要求,自2017年10月1日起,未进行实名认证将不得使用互联网跟帖服务。为保障您的帐号能够正常使用,请尽快对帐号进行手机号验证,感谢您的理解与支持!
24小时热门版块排行榜
>
论坛更新日志
(3700)
>
虫友互识
(444)
>
文献求助
(409)
>
导师招生
(247)
>
硕博家园
(156)
>
休闲灌水
(147)
>
博后之家
(94)
>
招聘信息布告栏
(78)
>
考博
(74)
>
教师之家
(71)
>
绿色求助(高悬赏)
(59)
>
论文投稿
(59)
>
论文道贺祈福
(49)
>
基金申请
(39)
>
考研
(34)
>
公派出国
(23)
小木虫论坛-学术科研互动平台
»
专业学科区
»
食品
»
微生物、发酵
»
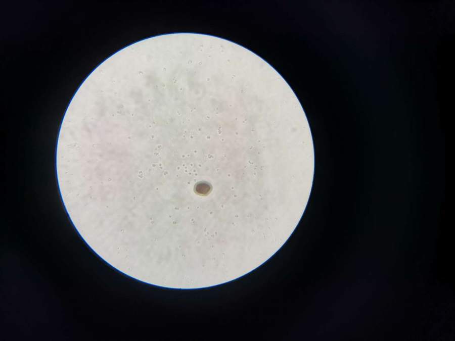
请问各位大佬,这是蛔虫卵吗,采用的饱和硝酸钠漂浮法
6
1/1
返回列表
查看: 1645 | 回复: 5
只看楼主
@他人
存档
新回复提醒
(忽略)
收藏
在APP中查看
【有奖交流】积极回复本帖子,参与交流,就有机会分得作者 明日的我z 的 1 个金币 ,回帖就立即获得 1 个金币,每人有 1 次机会
明日的我z
铁虫
(初入文坛)
应助: 0
(幼儿园)
金币: 34
帖子: 11
在线: 17.6小时
虫号: 14249137
[交流]
请问各位大佬,这是蛔虫卵吗,采用的饱和硝酸钠漂浮法
请问各位大佬,这是蛔虫卵吗,采用的饱和硝酸钠漂浮法
微信图片_20200831100504.jpg
微信图片_20200831100516.jpg
回复此楼
» 猜你喜欢
【不合理蛙科研实验分享干货】粗蛋白检测方法与实践要点
已经有0人回复
【不合理蛙科学实验趣事分享】钙铁锌硒检测趣事多
已经有0人回复
食品科学论文润色/翻译怎么收费?
已经有53人回复
【不合理蛙科研实验科普】DNS法同步测总糖与还原糖心得
已经有0人回复
【不合理蛙科研实验干货分享】乳酸菌叶酸效价微孔板法手记
已经有0人回复
【不合理蛙科研实验干货分享】石墨炉原子吸收测米铅镉铬小结
已经有0人回复
【不合理蛙科研实验交流分享】有机研萃促交流,协同创新拓前沿
已经有0人回复
【不合理蛙科研基础检测分享】原子吸收测元素,细调火焰稳基线
已经有0人回复
【不合理蛙科研实验干货分享】乳脂检测避坑记:温度离心定成败
已经有0人回复
【不合理蛙科研实验干货】微波消解测四素,钙铁锌硒一次清
已经有0人回复
【不合理蛙科研实验分享】梯度稀释控杂菌,限量计数不踩坑
已经有0人回复
高级回复
» 抢金币啦!回帖就可以得到:
查看全部散金贴
湖南师范大学蒋乐勇教授课题组招收2026届“申请-考核”制博士生
+
1
/187
新加坡国立大学张阳教授课题组招聘博士后(AI与生物医学方向)
+
1
/131
中国科学院山西煤炭化学研究所水污染防治与资源化利用方向招本科/硕士线上实习生
+
1
/83
清华大学药学院卢磊课题组诚聘新药研发方向科研助理
+
1
/76
中国计量大学集成电路与微系统国家高层次人才团队招收博士生
+
1
/51
口腔健康的标准
+
1
/44
【CSC招生】荷兰莱顿大学医学中心LKEB图像处理实验室 招收2026年CSC博士生多名
+
1
/39
中国科学院大学杰青团队招聘脂质体代谢方向博士后
+
1
/30
上海交通大学周宝文课题组招收2026年申请考核制博士研究生
+
1
/29
上海大学昝鹏教授、军事医学研究院伯晓晨研究员/倪铭副研究员 课题组招聘博士生
+
2
/22
感悟
+
1
/17
生物力学 细胞力学牵张拉伸仪 剪切压缩仪等国产自研设备 免费试用30天 全流程科研支持
+
1
/12
中国科大电池方向任晓迪课题组招收2026级博士生-电解液/电池安全性/人工智能方向
+
1
/8
长春工业大学 机电工程学院 韩玲教授 招收审核制2026年秋季入学博士生
+
1
/6
德国马普所招三名CSC博士生
+
1
/5
中国科大化学与材料科学学院/苏州高研院刘东/熊宇杰教授团队诚聘催化方向博士后
+
1
/4
中国科大化学与材料科学学院/苏州高研院刘东/熊宇杰教授团队诚聘博士后
+
1
/4
英国兰卡斯特大学(Lancaster University)大模型、计算机视觉PhD招生
+
1
/2
南京工业大学柔性电子全国重点实验室--招收2026届全日制博士生
+
1
/2
电子科技大学能源材料界面课题组2026年博士生招生
+
1
/1
1楼
2020-08-31 10:10:04
已阅
回复此楼
关注TA
给TA发消息
送TA红花
TA的回帖
zinfly
专家顾问
(职业作家)
专家经验: +1860
食品EPI: 14
应助: 1459
(讲师)
贵宾: 0.02
金币: 6819.4
帖子: 4972
在线: 647.4小时
虫号: 1362687
★
明日的我z(金币+1): 谢谢参与
换个大倍数的,看清楚点
赞
一下
回复此楼
4楼
2020-09-02 09:02:43
已阅
回复此楼
关注TA
给TA发消息
送TA红花
TA的回帖
简单回复
miaojiabing
2楼
2020-09-01 08:39
回复
明日的我z(金币+1): 谢谢参与
苏州华博
3楼
2020-09-01 15:06
回复
明日的我z(金币+1): 谢谢参与
1
nono2009
5楼
2020-09-04 08:34
回复
明日的我z(金币+1): 谢谢参与
·
苏州华博
6楼
2020-09-04 14:33
回复
1
相关版块跳转
数理科学综合
机械
物理
数学
农林
食品
地学
能源
信息科学
土木建筑
航空航天
转基因
我要订阅楼主
明日的我z
的主题更新
6
1/1
返回列表
提示: 如果您在30分钟内回复过其他散金贴,则可能无法领取此贴金币
如果回帖内容含有宣传信息,请如实选中。否则帐号将被全论坛禁言
普通表情
龙
兔
虎
猫
高级回复
(可上传附件)
百度网盘
|
360云盘
|
千易网盘
|
华为网盘
在新窗口页面中打开自己喜欢的网盘网站,将文件上传后,然后将下载链接复制到帖子内容中就可以了。
信息提示
关闭
请填处理意见
关闭
确定