| 查看: 1216 | 回复: 0 | |||
hongbo1025金虫 (小有名气)
|
[交流]
贴壁细胞染色,如何去除那些圆圆的细胞
|
|
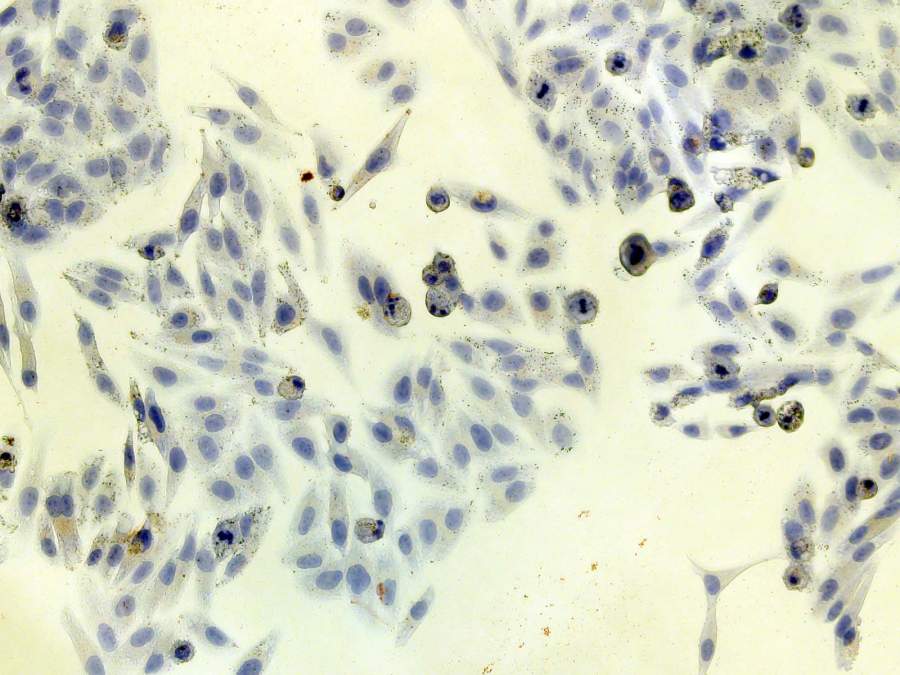
对贴壁细胞进行普通染色,视野范围内经常有一些圆圆的细胞被染色,导致图像不好看,这些细胞还是贴壁状态,洗不下来。图中是油红O/苏木素染色,哪些圆圆的、深染的应该是将要分裂的细胞还是快要死的细胞?大家是怎么避免或去除的? 图像_60.jpg |
» 猜你喜欢
求文献
已经有3人回复
277工科求调剂
已经有7人回复
调剂
已经有3人回复
301求调剂
已经有3人回复
0703求调剂383分
已经有6人回复
英一数二生物信息学287分,本科生物科学,求调剂
已经有7人回复
考研调剂
已经有5人回复
081700,311,求调剂
已经有5人回复
0703化学
已经有7人回复
363求调剂
已经有7人回复














回复此楼
5