| 查看: 439 | 回复: 0 | |||
[交流]
扫描电镜低加速电压成像
|
|
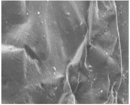
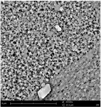
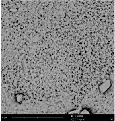
扫描电镜的加速电压与束流强度对成像有着决定性的影响。 通常来说,操作人员更愿意使用更高的加速电压去成像,当加速电压较大时,信噪比更好,分辨率更高,更容易得到“清晰”的图像。但低加速电压却是当今扫描电镜的发展趋势,这是什么原因呢?今天,这篇文章将围绕“低加速电压成像”展开讨论。 电子束与样品相互作用将会激发出多种电子信号,包括背散射电子(BSE)、二次电子(SE)等。二次电子(SE)主要表征样品的表面形貌信息,激发深度一般低于 10nm,主要表征样品的表面形貌信息。 当使用较高加速电压去观测样品,二次电子来自样品表面 5~10nm 范围,最表层的形貌被削弱,甚至掩盖;而用低加速电压观测样品时,由于入射电子束与样品的相互作用小,信号更多来源于材料的表面,加速电压越低,观测的形貌效果越接近表层,且低加速电压对样品的损伤也较小。 现在,通过几组照片,让大家更好地理解低加速电压成像的优势: 5kV 15kV 样品为金项链在不同加速电压(5kV 与 15kV)下的扫描电镜图像,当加速电压为 5kV 时,金项链的孔洞、裂纹等缺陷得以体现,具有更多的表面细节,而加速电压为 15kV 时,表面更为平整。 5kV 10kV 15kV 石墨颗粒在不同加速电压(5kV、10kV、15kV)下的三张照片:5kV 时的束流穿透是最弱的,展示了最多的结构信息,具有更好的形貌衬度。 5kV 15kV 陶瓷在不同加速电压(5kV、15kV)下的两张照片: 加速电压为 5kV 时,可以看到烧结陶瓷的缺陷。 5kV 15kV 样品是泡沫聚苯乙烯在不同加速电压(5kV、15kV)下的两张照片,对于轻元素样品(高分子材料等),低加速电压可以减少对样品的损伤。 5kV 10kV 样品是薄膜在不同加速电压(5kV、10kV)下的两张照片 |
» 猜你喜欢
求调剂
已经有3人回复
一志愿北京化工大学,初试成绩350求调剂
已经有14人回复
复试调剂
已经有4人回复
323分(计算机视觉和大模型项目)能直接上手
已经有3人回复
311分 22408 求调剂
已经有3人回复
320分人工智能调剂
已经有7人回复
一志愿郑大0705求调剂
已经有4人回复
0703化学
已经有10人回复
301求调剂
已经有10人回复
306分材料与化工求调剂
已经有6人回复















回复此楼


10