| 查看: 4119 | 回复: 2 | |
[求助]
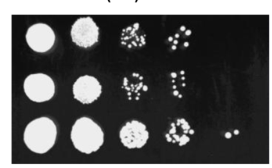
在培养皿上培养酵母菌,需要留存数据,拍下来之后需要处理成论文中普遍用的黑白色 已有1人参与
|
|
|
|
|
arthrospira金虫 (正式写手)
|
|
|
2楼2017-12-18 10:34:41
|
|
|
3楼2017-12-23 20:01:47
|
|














回复此楼