| ²é¿´: 1510 | »Ø¸´: 4 | ||
| ¡¾ÐüÉͽð±Ò¡¿»Ø´ð±¾ÌûÎÊÌ⣬×÷ÕßWÉúÎﻯ¹¤½«ÔùËÍÄú 5 ¸ö½ð±Ò | ||
WÉúÎﻯ¹¤Ìú³æ (³õÈëÎÄ̳)
|
[ÇóÖú]
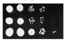
ÅàÑøÃóÉÏÅàÑø¾úÂ䣬ÕÕÏÂÀ´Ö®ºóÐèÒª´¦Àí³ÉºÚ°×É«£¬Ôõô×ö£¿
|
|
ÓÃPSºÍÃÀͼŪÁ˺þÃҲûÓа취£¬PSµÄ»°Ö»ÄÜ¿Ùͼ£¬ÏëÎÊÒ»ÏÂÓÐûÓиü¼ò±ãµÄ·½·¨£¿ÎÒÓÐ400Öê¾ú![]() ÔÚ´Ëл¹ý¸÷λ´óÉñ ![]() ÕâÊÇÎÒÅĵÄÕÕÆ¬ ÐèÒª´¦Àí³ÉÕâÑùµÄµ×É«ºÍ¾úÂäÑÕÉ« |
» ²ÂÄãϲ»¶
085602µ÷¼Á ³õÊÔ×Ü·Ö335
ÒѾÓÐ7È˻ظ´
»¯Ñ§357·Ö£¬¿¼Ñе÷¼Á
ÒѾÓÐ7È˻ظ´
278Çóµ÷¼Á
ÒѾÓÐ12È˻ظ´
085400µç×ÓÐÅÏ¢319Çóµ÷¼Á£¨½ÓÊÜ¿çרҵµ÷¼Á£©
ÒѾÓÐ6È˻ظ´
323Çóµ÷¼Á
ÒѾÓÐ7È˻ظ´
Ò»Ö¾Ô¸±±¾©2£¬²ÄÁÏÓ뻯¹¤308Çóµ÷¼Á
ÒѾÓÐ6È˻ظ´
26¿¼Ñе÷¼Á0710 0860
ÒѾÓÐ13È˻ظ´
296²ÄÁÏר˶Çóµ÷¼Á
ÒѾÓÐ22È˻ظ´
²ÄÁϵ÷¼Á
ÒѾÓÐ12È˻ظ´
285Çóµ÷¼Á
ÒѾÓÐ5È˻ظ´
du_yuhan
½ð³æ (ÕýʽдÊÖ)
- Ó¦Öú: 0 (Ó×¶ùÔ°)
- ½ð±Ò: 1859.7
- É¢½ð: 979
- ºì»¨: 2
- Ìû×Ó: 490
- ÔÚÏß: 27.2Сʱ
- ³æºÅ: 2562982
- ×¢²á: 2013-07-24
- ÐÔ±ð: MM
- רҵ: ÐÅÏ¢´¦Àí·½·¨Óë¼¼Êõ
2Â¥2017-12-18 10:09:37
WÉúÎﻯ¹¤
Ìú³æ (³õÈëÎÄ̳)
- Ó¦Öú: 3 (Ó×¶ùÔ°)
- ½ð±Ò: 91
- Ìû×Ó: 33
- ÔÚÏß: 16.9Сʱ
- ³æºÅ: 4551244
- ×¢²á: 2016-03-29
- רҵ: ÉúÎﻯѧ
3Â¥2017-12-18 10:16:44
du_yuhan
½ð³æ (ÕýʽдÊÖ)
- Ó¦Öú: 0 (Ó×¶ùÔ°)
- ½ð±Ò: 1859.7
- É¢½ð: 979
- ºì»¨: 2
- Ìû×Ó: 490
- ÔÚÏß: 27.2Сʱ
- ³æºÅ: 2562982
- ×¢²á: 2013-07-24
- ÐÔ±ð: MM
- רҵ: ÐÅÏ¢´¦Àí·½·¨Óë¼¼Êõ
|
Ê×ÏÈÄãÐèÒªÏÂÔØ²¢°²×°Ò»¸ömatlab£¬ÎÒ²»»áÓÃps£¬µ«ÊÇÎÒ¾õµÃpsÓ¦¸ÃÒ²ÓжþÖµ»¯Í¼Æ¬µÄ¹¦ÄÜ ·¢×ÔСľ³æAndroid¿Í»§¶Ë |
4Â¥2017-12-18 10:43:30
du_yuhan
½ð³æ (ÕýʽдÊÖ)
- Ó¦Öú: 0 (Ó×¶ùÔ°)
- ½ð±Ò: 1859.7
- É¢½ð: 979
- ºì»¨: 2
- Ìû×Ó: 490
- ÔÚÏß: 27.2Сʱ
- ³æºÅ: 2562982
- ×¢²á: 2013-07-24
- ÐÔ±ð: MM
- רҵ: ÐÅÏ¢´¦Àí·½·¨Óë¼¼Êõ
5Â¥2017-12-18 10:45:37
















»Ø¸´´ËÂ¥