| 查看: 353 | 回复: 0 | ||
[求助]
组织病理学检验
|
|
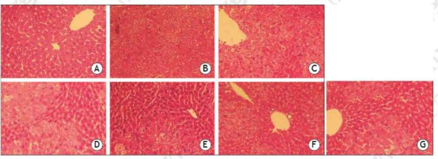
请问下这个图应该怎么看呢,希望可以给解答下,这个是肝细胞的组织切片后的显微镜效果图 发自小木虫Android客户端 |
» 猜你喜欢
求助,PCR扩增产物有两个条带
已经有1人回复
广东药科大学中药学院硕士研究生招生调剂
已经有1人回复
预防医学论文润色/翻译怎么收费?
已经有296人回复
求助论文一篇
已经有2人回复
散金币期待基金立项
已经有42人回复
评审意见
已经有4人回复
眼科丨小鼠眼球解剖特点与一般生理参数
已经有0人回复














回复此楼