| ²é¿´: 3616 | »Ø¸´: 0 | ||
15614656371гæ (СÓÐÃûÆø)
|
[ÇóÖú]
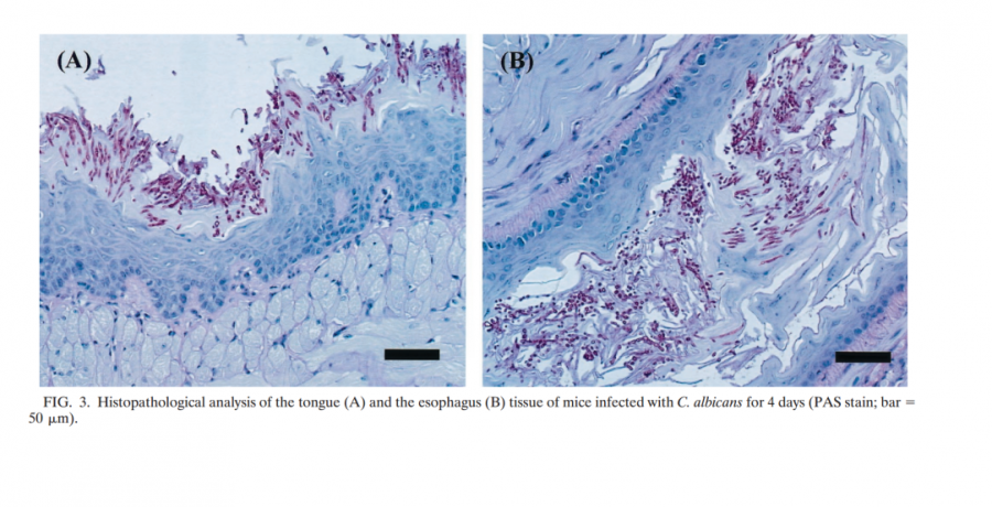
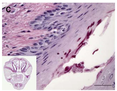
PASȾɫ
|
|
×î½üÔÚËѼ¯¶¯ÎïÕæ¾úÄ£ÐÍ£¬¿´µ½ºÜ¶à×éÖ¯²¡Àíѧ·ÖÎöʱÓÃFABȾɫµÄ£¬¿´Á˺öàÒ²¿´²»Ã÷°×Ⱦɫ½á¹ûͼ£¬ÄÄλ´óÉñ¿ÉÒÔ°ïæ·ÖÎöÒ»ÏÂ×ÏÉ«²¿Î»¶¼ÊǾú˿ô ~WKJ{GFMB`@LU666FIHM~T6.png T34B8VA]]BY6GE1N8PFP`)Q.png |
» ²ÂÄãϲ»¶
323Çóµ÷¼Á
ÒѾÓÐ6È˻ظ´
Ò»Ö¾Ô¸±±¾©»¯¹¤´óѧ 070300 ѧ˶ 336·Ö Çóµ÷¼Á
ÒѾÓÐ4È˻ظ´
352Çóµ÷¼Á
ÒѾÓÐ3È˻ظ´
Ò»Ö¾Ô¸¶«»ª´óѧ»¯Ñ§070300£¬Çóµ÷¼Á
ÒѾÓÐ8È˻ظ´
277²ÄÁÏ¿ÆÑ§Ó빤³Ì080500Çóµ÷¼Á
ÒѾÓÐ7È˻ظ´
317Çóµ÷¼Á
ÒѾÓÐ18È˻ظ´
293Çóµ÷¼Á
ÒѾÓÐ5È˻ظ´
280·ÖÇóµ÷¼Á Ò»Ö¾Ô¸085802
ÒѾÓÐ7È˻ظ´
0854µç×ÓÐÅÏ¢Çóµ÷¼Á
ÒѾÓÐ3È˻ظ´
263Çóµ÷¼Á
ÒѾÓÐ4È˻ظ´













»Ø¸´´ËÂ¥
10