| 查看: 307 | 回复: 1 | ||
[交流]
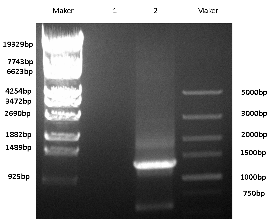
外源DNA连接到载体上,然后PCR目的基因,这个正常吗? 已有1人参与
|
2楼2017-11-27 10:52:13












回复此楼