24小时热门版块排行榜    

Znn3bq.jpeg
查看: 2624  |  回复: 0

single5298

新虫 (初入文坛)

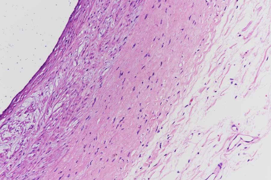
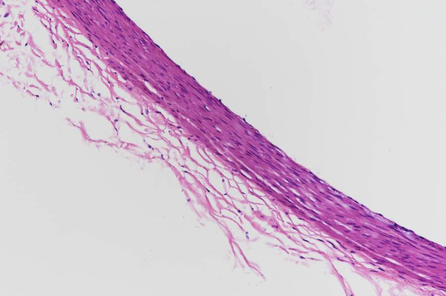
[求助] 求帮忙画出弹性内膜和弹性外膜的位置

该血管为猪的心脏血管。各位大侠能不能帮忙在图中分别标出弹性内外膜的位置,小生感激不尽,把不多的金币拿出来,略表心意

求帮忙画出弹性内膜和弹性外膜的位置
1.jpg


求帮忙画出弹性内膜和弹性外膜的位置-1
2.jpg
回复此楼
已阅   回复此楼   关注TA 给TA发消息 送TA红花 TA的回帖
相关版块跳转 我要订阅楼主 single5298 的主题更新
最具人气热帖推荐 [查看全部] 作者 回/看 最后发表
[文学芳草园] 半夜喝咖啡 +3 myrtle 2026-05-15 5/250 2026-05-18 01:03 by 小沈2018
[考研] 售SCI一区T0P文章,我:8.O.5.5.1.O.5.4,科目齐全,可+急 +4 xx7gd5zq4e 2026-05-15 6/300 2026-05-17 19:36 by Equinoxhua
[考研] 售SCI一区T0P文章,我:8.O.5.5.1.O.5.4,科目齐全,可+急 +6 cjf4bx70cj 2026-05-14 7/350 2026-05-17 18:49 by Equinoxhua
[公派出国] 售SCI一区T0P文章,我:8.O.5.5.1.O.5.4,科目齐全,可+急 +4 v9tggjlwd0 2026-05-15 5/250 2026-05-17 18:39 by Equinoxhua
[考博] 找博士生导师 +4 小代想上岸 2026-05-15 5/250 2026-05-17 17:44 by 脱颖而出
[考博] 2026博士还有哪些学校有名额 +6 小王求读研 2026-05-15 7/350 2026-05-17 16:54 by 知音湖畔
[基金申请] 这年头没有找到涵评专家,还有中面上的可能吗 +13 dd921ww 2026-05-12 16/800 2026-05-17 12:38 by 于轩
[考博] 26/27博士推荐 +3 1木头人13949 2026-05-13 3/150 2026-05-17 09:41 by YuY66
[找工作] 售SCI一区T0P文章,我:8.O.5.5.1.O.5.4,科目齐全,可+急 +3 l7k6xnh0yc 2026-05-14 6/300 2026-05-17 07:31 by 11n4dfd8yn
[考研] 售SCI一区T0P文章,我:8.O.5.5.1.O.5.4,科目齐全,可+急 +4 l7k6xnh0yc 2026-05-14 8/400 2026-05-17 07:26 by 11n4dfd8yn
[公派出国] 售SCI一区T0P文章,我:8.O.5.5.1.O.5.4,科目齐全,可+急 +6 l7k6xnh0yc 2026-05-14 6/300 2026-05-17 07:16 by 11n4dfd8yn
[考博] 售SCI一区T0P文章,我:8.O.5.5.1.O.5.4,科目齐全,可+急 +6 l7k6xnh0yc 2026-05-14 6/300 2026-05-17 07:11 by 11n4dfd8yn
[考研] 售SCI一区T0P文章,我:8.O.5.5.1.O.5.4,科目齐全,可+急 +4 x0mp7owy2b 2026-05-15 4/200 2026-05-17 00:25 by ue3ir18jc3
[考博] 现在不知道怎么办,感觉很痛苦 +5 qweww 2026-05-11 6/300 2026-05-16 19:57 by Equinoxhua
[基金申请] 请问大佬b0816评完了吗 +4 市民华南虎 2026-05-12 8/400 2026-05-16 19:54 by Equinoxhua
[高分子] 本人最近太闲了,谁有问题可以提,每天会统一回复 +9 一切都是空工 2026-05-12 20/1000 2026-05-16 19:52 by Equinoxhua
[有机交流] 如何实现卤原子转化 +3 BT20230424 2026-05-15 5/250 2026-05-16 16:20 by czyzsu
[硕博家园] 申请博士 +3 呃?呃 2026-05-15 3/150 2026-05-16 11:01 by a4742549
[文学芳草园] 风把牡丹吹跑了 +5 myrtle 2026-05-12 9/450 2026-05-15 15:27 by myrtle
[论文投稿] 求助大佬sci投稿哪个好中 +3 江沅188 2026-05-12 4/200 2026-05-13 14:35 by 江沅188
信息提示
请填处理意见