| 查看: 367 | 回复: 0 | ||
AMANDAMIMI新虫 (小有名气)
|
[求助]
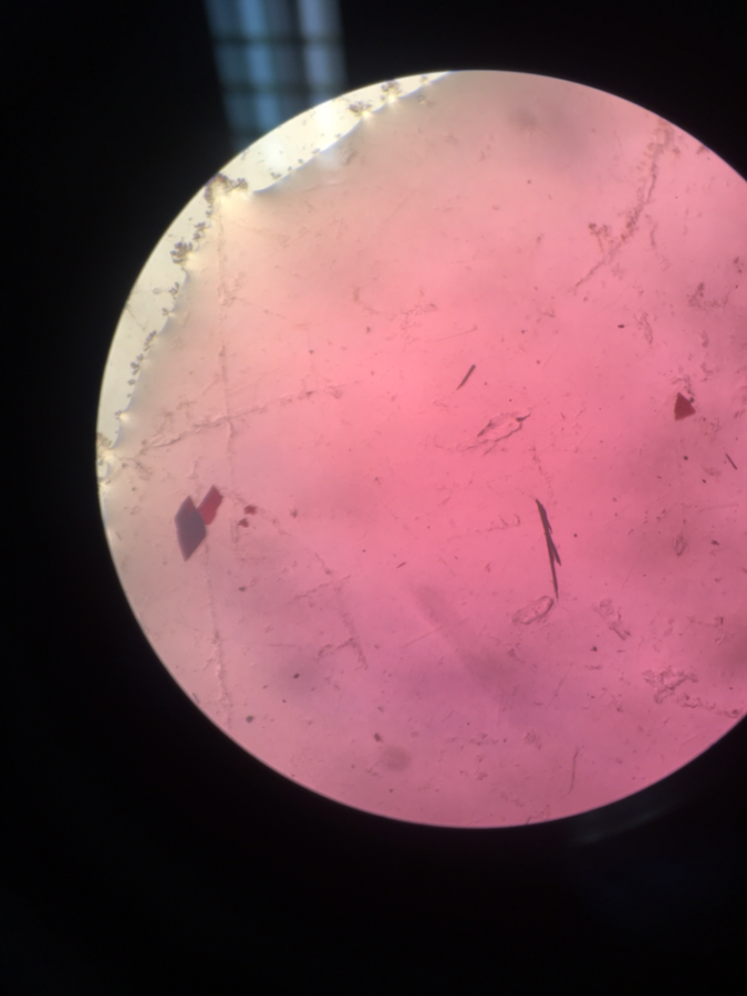
长晶体出现两种形状的晶体
|
|
1mlDMF和1ml乙醇,90度加热的条件长晶体,在同一个玻璃小瓶中,出现了两种形状的晶体,一种是块状,一种是针状,请问出现这种状况的原因是什么,应该怎么调控条件,使得只出现一种形状的晶体。新手,求指导 发自小木虫IOS客户端 |
» 猜你喜欢
26届博士申请
已经有4人回复
PLLA 微球在生物医学领域的研究与应用
已经有1人回复
有机高分子材料论文润色/翻译怎么收费?
已经有78人回复
PLLA 微球的材料特性与制备工艺解析
已经有0人回复
医用聚己内酯(PCL)全解析:从两段式降解到组织工程应用
已经有0人回复
反相硅胶如何再生?
已经有1人回复
哈尔滨理工大学2026年研究生调剂,材料科学与化学工程学院研究生调剂
已经有4人回复
武汉一本高校招收材料、化学、高分子、纺织、生物相关专业硕士生
已经有0人回复
西南交通大学医学院招收生物医学工程和材料与化工专业硕士研究生
已经有15人回复
研究生招生
已经有0人回复













回复此楼