| 查看: 3751 | 回复: 111 | ||
| 当前只显示满足指定条件的回帖,点击这里查看本话题的所有回帖 | ||
[商家供应]
【GDS微课堂-7】天了噜,GDS竟然还可以为SEM做样品制备?
|
||
|
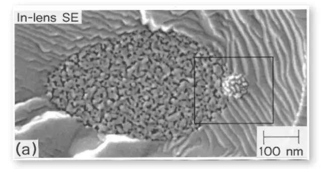
最近股市不景气,不知道多少童鞋已经哭晕在厕所里?经济不景气的情况下,只能靠自救啦!如今连GDS也开始搞起副业了。 这就要从SEM(扫描电子显微镜)开始说起了。SEM最大的特点是可以将美轮美奂的微观世界放大展现在你眼前,让你领略万物的精妙。 花粉粒的扫描电镜图,是不是很炫? 但并不是所有样品都可以直接拍到如此令人惊艳的照片,更多的样品必须经过相应预处理后,SEM才能窥视到它的“内心”世界。 那么问题来了,这又和GDS有什么关系呢?作为一个镀层元素分析设备,大家都知道GDS最基本的功能是分析镀层结构、测定元素含量、分析扩散元素等。GDS和SEM八竿子打不着,他们怎么会成为如此亲密的战友呢? 关键就在这里,GDS是通过等离子体碰撞来将样品颗粒像洋葱一样一层层地剥离下来后再进行分析。那么直接借用此方法,GDS就可以轻松地替SEM剥蚀样品,将任意深度的包埋层完美地展现出来,供SEM分析啦。无论你想获得哪个深度的SEM图,GDS都可以剥蚀到那个深度,没有任何迟疑。 先给大家show一个测试结果,有图有真相嘛。 图中是经过GDS处理后的SUS304不锈钢中纳米颗粒的SEM图 其实人们以前通常会通过机械抛光、化学抛光、电化学抛光、超薄切片等常见方法制备样品,但是它们都有个缺点,那就是相当费事。但有了GDS后制备样品往往几秒至几分钟就搞定了,非常快速方便。 再show一个简单的比较图,让大家感受更强烈些,嘿嘿~~如下图: 左图是机械抛光获得的结果,右图是GDS剥蚀3S后获得的结果,看出区别了吗?是不是惊讶它们之间的差异?机械抛光,顾名思义就是将上面磨平磨没了,在磨的过程势必会将突起的花纹也一并磨掉,留下光秃秃的平滑面。而GDS是剥蚀,不是磨,它是靠氩气颗粒去撞击样品,把样品的颗粒撞掉,并不会对样品本身的结构和花纹造成破坏。 我相信这对于大家的研究来说,应该是非常重要的。 关于GDS为SEM制备样品,如果大家想了解更多,可以查阅一下《New Horizons of Applied Scanning》, 这里面对相关操作及技术都有更详细的说明。 光谱学堂走进校园系列活动(西安、成都站) 正为实验室光谱仪的应用拓展发愁? 为表征新材料寻找新技术? 想掌握更多的光谱知识…… 欢迎加入我们的线下光谱学堂!关注HORIBA Scientific公众号回复关键字“OS”,了解活动详情。 GDS微课堂 GDS作为一种新型镀层元素分析技术,正逐渐在各个领域崭露头角。 6月8日起资深光谱专家Dr. JY 将通过HORIBA Scientific微信公众号,采用片段式教学,充分利用大家的碎片化时间,带领大家深度剖析GDS,学习新技术,提高实验效率。 |
» 猜你喜欢
博士读完未来一定会好吗
已经有21人回复
导师想让我从独立一作变成了共一第一
已经有5人回复
到新单位后,换了新的研究方向,没有团队,持续积累2区以上论文,能申请到面上吗
已经有11人回复
读博
已经有4人回复
JMPT 期刊投稿流程
已经有4人回复
心脉受损
已经有5人回复
Springer期刊投稿求助
已经有4人回复
小论文投稿
已经有3人回复
Bioresource Technology期刊,第一次返修的时候被退回好几次了
已经有9人回复
申请2026年博士
已经有6人回复
» 抢金币啦!回帖就可以得到:
桂林理工大学材料科学与工程学院诚聘青年教师
+1/119
寻找承接企业/科研机构/高校:启明人才计划(上海及长三角方向)
+1/83
【坐标深圳|94年男生|想认真找个伴】
+1/83
双一流大学-湘潭大学“电化学能源储存与转换”湖南省重点实验室招生电池方向博士生
+1/70
燕山大学亚稳材料全国重点实验室2026年硕士/博士研究生招生信息
+1/67
浙江大学药学院张小昀课题组诚聘博士后、研究助理 (核酸化学生物学方向)
+1/46
2026申博自荐
+1/45
广州医科大学招聘微塑料生物毒理纳米材料方向博士后2名
+1/33
工作一年半了,突然分配到浮选药剂的合成,我想问问浮选药剂是不是夕阳产业了
+1/31
校长团队招博士生和博士后
+1/30
北京科技大学鲁启鹏招收2026年博士生1名
+1/26
2026英国女王大学机械学院电池储能CSC全奖博士招聘
+1/9
中科院过程工程研究所 诚招博士后及科研助理
+1/8
国家“双一流”建设高校-南京林业大学-国家级青年人才团队招聘
+1/7
北京理工大学(珠海)医疗机器人实验室现招收2026年博士研究生
+1/6
国家纳米科学中心鄢勇课题组26年博士招生
+1/5
2026英国女王大学机械学院电池储能CSC全奖博士招聘
+1/5
天津大学建工学院课题组诚招2026级博士研究生
+1/4
上海大学长江学者钟云波教授团队招收外场冶金或材料加工方向2026年博士研究生
+1/1
西湖大学李小波课题组诚聘博士后3名(生物学方向)
+1/1
15楼2017-10-18 20:22:42
4楼2017-10-18 15:07:53
6楼2017-10-18 16:25:20
tableman
木虫之王 (文学泰斗)
- 应助: 70 (初中生)
- 金币: 177927
- 散金: 150
- 红花: 480
- 沙发: 2
- 帖子: 134940
- 在线: 4343.8小时
- 虫号: 2148458
- 注册: 2012-11-26
8楼2017-10-18 18:42:05




回复此楼
