| 查看: 1462 | 回复: 1 | |
[求助]
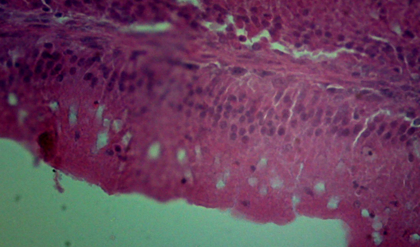
求助 肠道绒毛上的空泡是什么?脂肪变性么? 已有1人参与
|
|
|
|
|
hoyeung捐助贵宾 (小有名气)
|
|
|
2楼2017-09-26 20:43:21
|
|













回复此楼