版块导航
正在加载中...
客户端APP下载
论文辅导
调剂小程序
登录
注册
帖子
帖子
用户
本版
应《网络安全法》要求,自2017年10月1日起,未进行实名认证将不得使用互联网跟帖服务。为保障您的帐号能够正常使用,请尽快对帐号进行手机号验证,感谢您的理解与支持!
24小时热门版块排行榜
>
论坛更新日志
(3202)
>
虫友互识
(344)
>
文献求助
(192)
>
休闲灌水
(177)
>
导师招生
(149)
>
考博
(74)
>
博后之家
(50)
>
考研
(48)
>
硕博家园
(43)
>
论文投稿
(36)
>
基金申请
(34)
>
论文道贺祈福
(31)
>
公派出国
(30)
>
找工作
(26)
>
招聘信息布告栏
(23)
>
教师之家
(23)
小木虫论坛-学术科研互动平台
»
生物医药区
»
微生物
»
培养/筛选
»
丁酸梭菌
19
1/1
返回列表
查看: 3900 | 回复: 18
只看楼主
@他人
存档
新回复提醒
(忽略)
收藏
在APP中查看
junqing
金虫
(正式写手)
应助: 7
(幼儿园)
金币: 1693.2
帖子: 743
在线: 257.6小时
虫号: 1651193
已领完
丁酸梭菌
领取红包
(小木虫手机app专属红包)
扫一扫,下载小木虫客户端
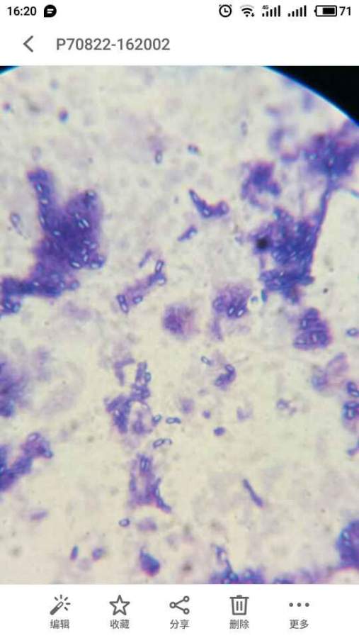
请大家帮忙看这是丁酸梭菌吗,液体培养感觉上层有菌膜,摇一摇又沉到底部了,显微镜下100倍油镜照片也看了,这是菌种保藏中心购买的菌种,都说培养过程产气,没有菌膜,不知道是不是自己的操作染菌了。求鉴定
发自小木虫Android客户端
[
Last edited by junqing on 2017-8-22 at 16:32
]
回复此楼
» 猜你喜欢
为什么中国大学教授们水了那么多所谓的顶会顶刊,但还是做不出宇树机器人?
已经有3人回复
售SCI一区文章,我:8 O5 51O 54,科目齐全,可+急
已经有4人回复
售SCI一区文章,我:8 O5 51O 54,科目齐全,可+急
已经有3人回复
售SCI一区文章,我:8 O5 51O 54,科目齐全,可+急
已经有4人回复
“人文社科而论,许多学术研究还没有达到民国时期的水平”
已经有5人回复
过年走亲戚时感受到了所开私家车的鄙视链
已经有11人回复
什么是人一生最重要的?
已经有4人回复
版面费该交吗
已经有3人回复
今年春晚有几个节目很不错,点赞!
已经有12人回复
体制内长辈说体制内绝大部分一辈子在底层,如同你们一样大部分普通教师忙且收入低
已经有12人回复
高级回复
» 抢金币啦!回帖就可以得到:
查看全部散金贴
单曲循环久了很多都会变
+
1
/441
山东征女友,坐标济南
+
1
/166
坐标广州,征女友
+
2
/120
西工大控制科学博后招聘
+
1
/55
大连海事大学轮机学院尚有博士名额
+
2
/50
英国布里斯托大学诚招博士生,博士后和联合培养生
+
1
/17
博士招生
+
1
/10
太原理工大学集成电路学院招收2026年博士研究生
+
1
/6
【科研助理招聘-北京理工大学-集成电路与电子学院-国家杰青团队】
+
1
/6
全奖博士 英国利物浦大学+台湾清华大学 双博士学位
+
1
/5
英国南安普顿大学禅铎课题组诚招气候动力方向博士后
+
1
/5
双一流天津工业大学电信学院李鸿强教授招收2026年申请审核制博士
+
1
/5
【科研助理招聘-北京理工大学-集成电路与电子学院-国家杰青团队】
+
1
/5
中国科学技术大学 工程科学学院 国家级人才团队 诚聘博士后
+
1
/5
南昌大学资源与环境学院刘进教授团队招收2026硕博研究生
+
1
/5
天津医科大学基础医学院张恒课题组博士后招聘
+
1
/3
内江师范学院能源转化与储能实验室诚聘博士1-2人
+
1
/3
26申博自荐求博导-生物传感分析方向
+
1
/3
招收2026年入学博士研究生
+
1
/2
澳科大招收2026秋纳米医学/生物材料方向全奖博士研究生(3月5日18:00截止)
+
1
/2
1楼
2017-08-22 16:29:48
已阅
回复此楼
关注TA
给TA发消息
送TA红花
TA的回帖
回帖支持 ( 显示支持度最高的前 50 名 )
liuyi8203
金虫
(小有名气)
应助: 29
(小学生)
金币: 726
帖子: 138
在线: 47.5小时
虫号: 737076
★
小木虫: 金币+0.5, 给个红包,谢谢回帖
哪个菌种保藏中心买的?你的照片培养时间太长了,全是芽孢了,看不到菌体。丁酸梭菌是厌氧培养,有一股特殊的臭味。刚开始闻到这种味道不能接受,后来发现还不错,一闻到就说明菌长了,莫怪啊。
赞
一下
(2人)
回复此楼
» 本帖已获得的红花(最新10朵)
junqing
17楼
2017-08-23 17:43:55
已阅
回复此楼
关注TA
给TA发消息
送TA红花
TA的回帖
小冀-
版主
(著名写手)
MicEPI: 8
应助: 713
(博后)
贵宾: 3.033
金币: 11446.9
帖子: 2509
在线: 445.9小时
虫号: 1521695
★
小木虫: 金币+0.5, 给个红包,谢谢回帖
菌体拍的图片是透明的,会不会是芽孢啊?
赞
一下
回复此楼
15楼
2017-08-22 20:03:38
已阅
回复此楼
关注TA
给TA发消息
送TA红花
TA的回帖
Aicken
新虫
(初入文坛)
应助: 0
(幼儿园)
金币: 125.7
帖子: 25
在线: 2.4小时
虫号: 6566516
涂平板看。
发自小木虫IOS客户端
回复此楼
16楼
2017-08-22 23:47:33
已阅
回复此楼
关注TA
给TA发消息
送TA红花
TA的回帖
junqing
金虫
(正式写手)
应助: 7
(幼儿园)
金币: 1693.2
帖子: 743
在线: 257.6小时
虫号: 1651193
送红花一朵
引用回帖:
17楼
:
Originally posted by
liuyi8203
at 2017-08-23 17:43:55
哪个菌种保藏中心买的?你的照片培养时间太长了,全是芽孢了,看不到菌体。丁酸梭菌是厌氧培养,有一股特殊的臭味。刚开始闻到这种味道不能接受,后来发现还不错,一闻到就说明菌长了,莫怪啊。
是有股臭味。长有菌膜是不是不应该啊
发自小木虫Android客户端
赞
一下
回复此楼
18楼
2017-08-23 22:38:58
已阅
回复此楼
关注TA
给TA发消息
送TA红花
TA的回帖
sneaker
金虫
(小有名气)
应助: 1
(幼儿园)
金币: 567.6
帖子: 179
在线: 38.8小时
虫号: 2793644
★
小木虫: 金币+0.5, 给个红包,谢谢回帖
丁酸是绝氧菌,微氧条件下其他菌体出现产生的菌膜也有可能
赞
一下
回复此楼
19楼
2018-12-06 11:27:24
已阅
回复此楼
关注TA
给TA发消息
送TA红花
TA的回帖
简单回复
pandongzi
2楼
2017-08-22 16:30
回复
junqing(金币+1): 谢谢参与
已获得
1
个金币
发自小木虫IOS客户端
youku_zhc1
3楼
2017-08-22 16:30
回复
junqing(金币+1): 谢谢参与
已获得
1
个金币
发自小木虫Android客户端
ds2010
4楼
2017-08-22 16:30
回复
junqing(金币+1): 谢谢参与
已获得
1
个金币
发自小木虫Android客户端
xiupeiyang
5楼
2017-08-22 16:31
回复
junqing(金币+2): 谢谢参与
已获得
2
个金币
发自小木虫IOS客户端
wlsong1981
6楼
2017-08-22 16:31
回复
junqing(金币+1): 谢谢参与
已获得
1
个金币
发自小木虫Android客户端
swissbasaier
7楼
2017-08-22 16:31
回复
junqing(金币+2): 谢谢参与
已获得
2
个金币
发自小木虫IOS客户端
sky1994
8楼
2017-08-22 16:31
回复
junqing(金币+2): 谢谢参与
已获得
2
个金币
发自小木虫Android客户端
TMB1964
9楼
2017-08-22 16:31
回复
junqing(金币+2): 谢谢参与
已获得
2
个金币
发自小木虫Android客户端
asdf12383
10楼
2017-08-22 16:32
回复
junqing(金币+2): 谢谢参与
已获得
2
个金币
发自小木虫Android客户端
Materials
11楼
2017-08-22 16:33
回复
junqing(金币+1): 谢谢参与
已获得
1
个金币
发自小木虫Android客户端
我忘记
12楼
2017-08-22 16:35
回复
junqing(金币+1): 谢谢参与
已获得
1
个金币
发自小木虫Android客户端
dagsyzi
13楼
2017-08-22 16:36
回复
junqing(金币+2): 谢谢参与
已获得
2
个金币
发自小木虫Android客户端
rancai
14楼
2017-08-22 16:37
回复
junqing(金币+2): 谢谢参与
已获得
2
个金币
发自小木虫Android客户端
相关版块跳转
新药研发
药学
药品生产
分子生物
微生物
动植物
生物科学
医学
我要订阅楼主
junqing
的主题更新
19
1/1
返回列表
如果回帖内容含有宣传信息,请如实选中。否则帐号将被全论坛禁言
普通表情
龙
兔
虎
猫
高级回复
(可上传附件)
百度网盘
|
360云盘
|
千易网盘
|
华为网盘
在新窗口页面中打开自己喜欢的网盘网站,将文件上传后,然后将下载链接复制到帖子内容中就可以了。
信息提示
关闭
请填处理意见
关闭
确定