24小时热门版块排行榜    

Znn3bq.jpeg
查看: 529  |  回复: 0

温温水

新虫 (初入文坛)

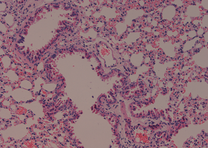
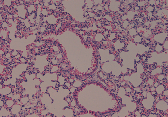
[求助] 组织切片-肺

请帮忙分析两张肺组织切片,拜托了

组织切片-肺
G$}ZG8DKCDT7EKSV_DT4A96.png


组织切片-肺-1
V)()2~9QAF%9PVWG5$I[PI0.png
回复此楼
已阅   回复此楼   关注TA 给TA发消息 送TA红花 TA的回帖
相关版块跳转 我要订阅楼主 温温水 的主题更新
最具人气热帖推荐 [查看全部] 作者 回/看 最后发表
[基金申请] 这年头没有找到涵评专家,还有中面上的可能吗 +9 dd921ww 2026-05-12 10/500 2026-05-15 10:41 by muyiliuhui
[基金申请] 精华III评审感受-评审感受-评审感受 +13 ferrarichen 2026-05-11 17/850 2026-05-15 10:16 by Kamiu_MK
[考博] 售SCI一区T0P文章,我:8.O.5.5.1.O.5.4,科目齐全,可+急 +3 l7k6xnh0yc 2026-05-14 3/150 2026-05-15 09:23 by onwj4wpxp2
[基金申请] 青C资助名额大幅增加! +10 西葫芦炒鸡蛋 2026-05-13 14/700 2026-05-15 09:07 by gy116024
[考研] 售SCI一区T0P文章,我:8.O.5.5.1.O.5.4,科目齐全,可+急 +3 cjf4bx70cj 2026-05-14 4/200 2026-05-15 09:03 by gagyerk94e
[文学芳草园] 风把牡丹吹跑了 +4 myrtle 2026-05-12 7/350 2026-05-14 23:58 by myrtle
[教师之家] 教学课件你会给同学吗 +8 硕士研究生吗 2026-05-13 8/400 2026-05-14 22:23 by 常规沥青
[考博] 26应届毕业生考博求助 +3 wo一定上岸 2026-05-13 3/150 2026-05-14 21:47 by 明海天涯
[基金申请] 重磅!青年科学基金项目(C类)资助增幅预计超过50% +5 水和泥不是水泥 2026-05-13 7/350 2026-05-14 20:57 by 水和泥不是水泥
[有机交流] 求助2,4-二氯-5-嘧啶甲醛的合成方法 20+3 光吃不拉 2026-05-14 5/250 2026-05-14 20:15 by 一切都是空工
[高分子] 本人最近太闲了,谁有问题可以提,每天会统一回复 +8 一切都是空工 2026-05-12 19/950 2026-05-14 20:03 by 一切都是空工
[考博] 申博自荐 +4 食品的橙子 2026-05-09 6/300 2026-05-14 16:05 by great1919
[考博] 材料类只有一篇综述能申博么 +4 乐逍遥谷 2026-05-13 4/200 2026-05-14 12:05 by zhyzzh
[基金申请] 请问大佬b0816评完了吗 +3 市民华南虎 2026-05-12 7/350 2026-05-14 07:41 by 市民华南虎
[论文投稿] 有带发论文的吗 +3 山楂之术 2026-05-09 3/150 2026-05-13 17:56 by Cyhcl2629
[硕博家园] 导师各种操作恶心咋办 +11 苍白的小青天 2026-05-09 13/650 2026-05-13 17:11 by 六两废铜
[论文投稿] 求助大佬sci投稿哪个好中 +3 江沅188 2026-05-12 4/200 2026-05-13 14:35 by 江沅188
[考博] 西南大学考核制博士 +3 lijunjie84 2026-05-11 6/300 2026-05-12 18:09 by lijunjie84
[文学芳草园] 窗边初夏的小雨 +7 阿美_Lml888 2026-05-09 10/500 2026-05-12 15:27 by 阿美_Lml888
[考博] 现在不知道怎么办,感觉很痛苦 +4 qweww 2026-05-11 5/250 2026-05-11 20:23 by Oversize
信息提示
请填处理意见