24小时热门版块排行榜    

查看: 527  |  回复: 1

easy3_17

新虫 (初入文坛)

[交流] 细胞疑似污染,跪求交流解惑! 已有1人参与

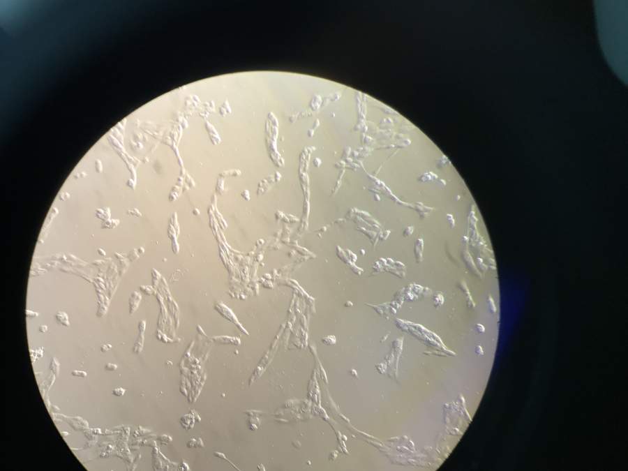
大家好,这是我养的肾癌ACHN细胞,最近发现细胞生长缓慢,本来一两天可以长满的,现在三天都长不是很满,细胞间隙存在许多白色亮点,不会动,会变多,随着细胞换液传代一直有,细胞形态会改变,本来应该是梭形,边缘清晰透亮,现在边缘模糊,而且细胞变小了,不知道是老化还是污染。希望各位大神帮我看下,这是我复苏的同一批细胞,这是第三瓶了,代数不多。只是一直养不起来。最近天气潮湿炎热,不知道与环境因素有无关系。谢谢大家!细胞疑似污染,跪求交流解惑!
IMG_4774.JPG


细胞疑似污染,跪求交流解惑!-1
IMG_4773.JPG


细胞疑似污染,跪求交流解惑!-2
IMG_4758.JPG


细胞疑似污染,跪求交流解惑!-3
IMG_4752.JPG
回复此楼

» 本帖附件资源列表

  • 欢迎监督和反馈:小木虫仅提供交流平台,不对该内容负责。
    本内容由用户自主发布,如果其内容涉及到知识产权问题,其责任在于用户本人,如对版权有异议,请联系邮箱:xiaomuchong@tal.com
  • 附件 1 : IMG_4774.JPG
  • 2017-07-26 16:58:21, 1.41 M

» 猜你喜欢

已阅   回复此楼   关注TA 给TA发消息 送TA红花 TA的回帖

wky1682008

新虫 (初入文坛)


小木虫: 金币+0.5, 给个红包,谢谢回帖
用什么培养的?换下培养基,血清浓度,还有调下PH值试试
2楼2017-07-29 16:14:37
已阅   回复此楼   关注TA 给TA发消息 送TA红花 TA的回帖
相关版块跳转 我要订阅楼主 easy3_17 的主题更新
普通表情 高级回复 (可上传附件)
最具人气热帖推荐 [查看全部] 作者 回/看 最后发表
[考研] 上海电力大学材料防护与新材料重点实验室招收调剂研究生(材料、化学、电化学,环境) +4 我爱学电池 2026-03-23 4/200 2026-03-25 00:59 by 1027_324
[考研] 一志愿武理085500机械专业总分300求调剂 +3 an10101 2026-03-24 7/350 2026-03-25 00:00 by 山鬼0-
[考研] 07化学280分求调剂 +6 722865 2026-03-23 6/300 2026-03-24 20:58 by allen-yin
[考研] 305分求调剂(食品工程) +5 Sxy112 2026-03-21 7/350 2026-03-24 12:27 by 544594351
[考研] 344求调剂 +3 desto 2026-03-24 3/150 2026-03-24 10:09 by 搏击518
[考研] 一志愿山东大学药学学硕求调剂 +3 开开心心没烦恼 2026-03-23 4/200 2026-03-24 00:06 by 开开心心没烦恼
[考研] 336化工调剂 +4 王大坦1 2026-03-23 5/250 2026-03-23 18:32 by allen-yin
[考研] 工科0856求调剂 +5 沐析汀汀 2026-03-21 5/250 2026-03-23 17:56 by 海瑟薇-
[考研] 298求调剂 +8 上岸6666@ 2026-03-20 8/400 2026-03-23 11:02 by laoshidan
[考研] 291求调剂 +5 孅華 2026-03-22 5/250 2026-03-23 09:20 by haoshis
[考研] 求调剂院校信息 +6 CX 330 2026-03-21 6/300 2026-03-22 15:25 by 无懈可击111
[考研] 280求调剂 +11 咕噜晓晓 2026-03-18 12/600 2026-03-21 22:40 by ACS Nano——
[考研] 求调剂 +3 13341 2026-03-20 3/150 2026-03-21 18:28 by 学员8dgXkO
[考研] 0703化学297求调剂 +3 Daisy☆ 2026-03-20 3/150 2026-03-21 17:45 by ColorlessPI
[考研] 311求调剂 +3 勇敢的小吴 2026-03-20 3/150 2026-03-21 17:40 by ColorlessPI
[考研] 324分 085600材料化工求调剂 +4 llllkkkhh 2026-03-18 4/200 2026-03-21 01:24 by JourneyLucky
[考研] 一志愿华南师大 070300(化学)304分求调剂 +3 0703武芊慧雪304 2026-03-18 3/150 2026-03-21 00:48 by JourneyLucky
[考研] 294求调剂材料与化工专硕 +15 陌の森林 2026-03-18 15/750 2026-03-20 23:28 by JourneyLucky
[考研] 308求调剂 +3 阿姐阿姐家啊 2026-03-18 3/150 2026-03-20 23:24 by JourneyLucky
[考研] 288求调剂 +16 于海海海海 2026-03-19 16/800 2026-03-20 22:28 by JourneyLucky
信息提示
请填处理意见