| 查看: 1507 | 回复: 6 | ||
[求助]
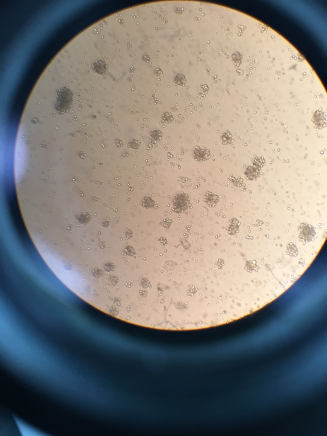
求各位老师看看我的NK 92细胞状态,细胞增殖慢,有什么好的解决办法吗?
|
|
求各位老师看看我的NK 92细胞状态,细胞增殖慢,有什么好的解决办法吗? 发自小木虫IOS客户端 |
» 猜你喜欢
08工学调剂
已经有11人回复
350求调剂
已经有6人回复
求调剂一志愿武汉理工大学材料工程(085601)
已经有4人回复
一志愿重庆大学085700资源与环境,总分308求调剂
已经有6人回复
接收2026硕士调剂(学硕+专硕)
已经有6人回复
081700 调剂 267分
已经有5人回复
328求调剂
已经有4人回复
0854 考研调剂 招生了!AI 方向
已经有14人回复
招08考数学
已经有14人回复
一志愿上海交大生物与医药专硕324分,求调剂
已经有4人回复
Ruby225
新虫 (小有名气)
- 应助: 0 (幼儿园)
- 金币: 265.6
- 散金: 40
- 帖子: 92
- 在线: 16.5小时
- 虫号: 5302900
- 注册: 2016-12-01
- 性别: MM
- 专业: 免疫学
2楼2017-09-12 00:05:55
Ruby225
新虫 (小有名气)
- 应助: 0 (幼儿园)
- 金币: 265.6
- 散金: 40
- 帖子: 92
- 在线: 16.5小时
- 虫号: 5302900
- 注册: 2016-12-01
- 性别: MM
- 专业: 免疫学
3楼2017-09-14 07:48:49
4楼2018-07-02 10:50:35
5楼2018-07-02 10:52:16
opportunit
新虫 (初入文坛)
6楼2019-03-12 15:22:25
opportunit
新虫 (初入文坛)
- 应助: 0 (幼儿园)
- 金币: 81.3
- 散金: 70
- 帖子: 46
- 在线: 15.1小时
- 虫号: 8051608
- 注册: 2018-02-20
- 性别: GG
- 专业: 生物、医学光子学
7楼2019-03-12 15:23:00













回复此楼
