| 查看: 838 | 回复: 1 | ||
filament3962铜虫 (小有名气)
|
[求助]
金相组织异常原因分析
|
|
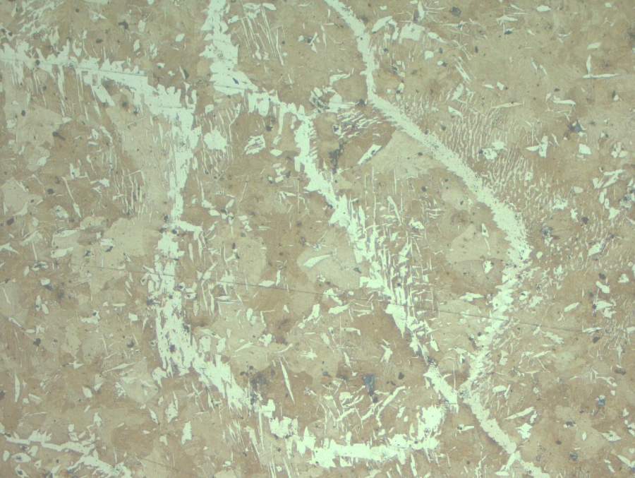
低合金钢,前两张为铸态组织的金相照片,后两张为热处理后的照片,请教铸态组织中的伪共析组织形成的原因,正火后的组织中是魏氏组织吗,现在热处理后总是出现屈服强度偏低的现象,急! 190-12.5.jpg 190-50.jpg 848-100-1.jpg 855-100-3.jpg |
» 猜你喜欢
面上可以超过30页吧?
已经有12人回复
什么是人一生最重要的?
已经有6人回复
为什么中国大学工科教授们水了那么多所谓的顶会顶刊,但还是做不出宇树机器人?
已经有11人回复
网上报道青年教师午睡中猝死、熬夜猝死的越来越多,主要哪些原因引起的?
已经有9人回复
【博士招生】太原理工大学2026化工博士
已经有5人回复
280求调剂
已经有3人回复
版面费该交吗
已经有15人回复
体制内长辈说体制内绝大部分一辈子在底层,如同你们一样大部分普通教师忙且收入低
已经有18人回复
filament3962
铜虫 (小有名气)
- 应助: 0 (幼儿园)
- 金币: 21
- 散金: 17
- 帖子: 81
- 在线: 24.3小时
- 虫号: 700778
- 注册: 2009-02-13
- 专业: 金属材料的合金相、相变及
2楼2017-06-27 09:15:14













回复此楼