| 查看: 8007 | 回复: 7 | ||
[求助]
微针扎皮实验 已有1人参与
|
|
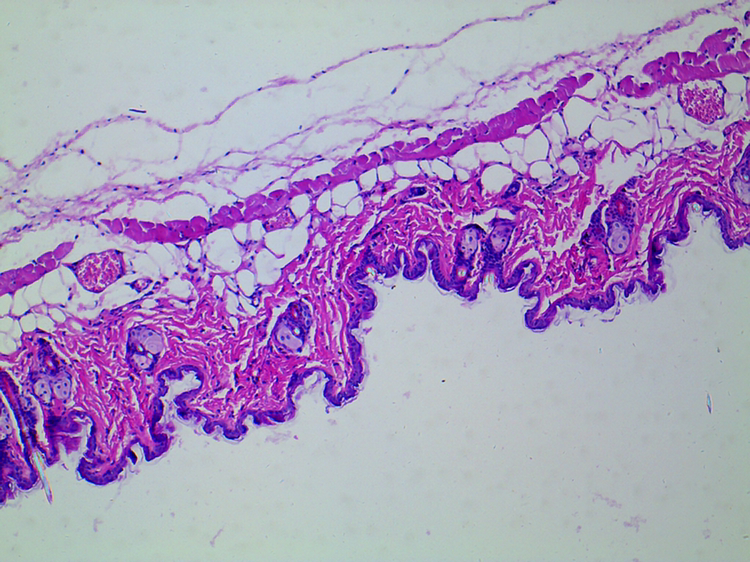
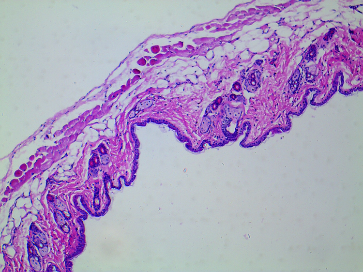
用微针刺入鼠皮后亚甲蓝染色出现微针阵列排布的蓝色斑点应该说明微针已经穿透角质层了,但是对该部分进行切片染色后,出现太多弯曲不知道是不是真的微针造成的,还是切片问题导致的褶皱呢,这个切片能说明微针成功刺入了吗 发自小木虫IOS客户端 |
» 猜你喜欢
一志愿0817化学工程与技术,求调剂
已经有8人回复
271分求调剂学校
已经有3人回复
285求调剂
已经有4人回复
生物学308分求调剂(一志愿华东师大)
已经有7人回复
296材料专硕求调剂
已经有18人回复
材料与化工306分找调剂
已经有18人回复
302求调剂
已经有9人回复
一志愿北京科技大学材料工程085601,求调剂
已经有11人回复
283分材料与化工求调剂
已经有19人回复
326求调剂
已经有8人回复
2楼2017-12-29 10:55:34
3楼2018-03-01 09:06:57
Jane杨梅
新虫 (小有名气)
- 应助: 1 (幼儿园)
- 金币: 200.1
- 散金: 67
- 帖子: 137
- 在线: 43小时
- 虫号: 4221898
- 注册: 2015-11-16
- 性别: MM
- 专业: 药剂学

4楼2018-04-03 15:11:27
5楼2018-05-09 14:19:33
6楼2018-05-10 07:56:56
7楼2019-07-06 18:14:40
无限期中止
铁杆木虫 (著名写手)
- 应助: 0 (幼儿园)
- 金币: 8508.3
- 帖子: 1346
- 在线: 136.3小时
- 虫号: 1818435
- 注册: 2012-05-15
- 性别: GG
- 专业: 生物医用高分子材料
8楼2019-11-25 17:14:45














回复此楼
