24小时热门版块排行榜    

Znn3bq.jpeg
查看: 824  |  回复: 1

hhlwl8

新虫 (初入文坛)

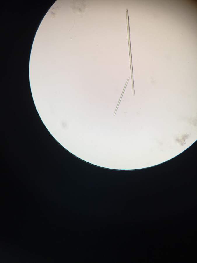
[求助] 提取山药中的线虫发现的针状物体,求鉴定!

用浅盘法提取山药中的线虫意外发现的针状物体,没有观察到细胞结构,观察了所加的水,也没有该物体,求鉴定!

提取山药中的线虫发现的针状物体,求鉴定!
IMG_3037.JPG


提取山药中的线虫发现的针状物体,求鉴定!-1
IMG_3050.JPG
回复此楼

» 猜你喜欢

已阅   回复此楼   关注TA 给TA发消息 送TA红花 TA的回帖

499970475

新虫 (小有名气)

空白实验的水真空浓缩三分之一再观察

发自小木虫Android客户端
2楼2017-06-08 19:26:38
已阅   回复此楼   关注TA 给TA发消息 送TA红花 TA的回帖
相关版块跳转 我要订阅楼主 hhlwl8 的主题更新
最具人气热帖推荐 [查看全部] 作者 回/看 最后发表
[考研] 291求调剂 +8 关忆北. 2026-04-14 8/400 2026-04-16 11:30 by maoqinghuijz
[考研] 0854调剂 +9 950824he@ 2026-04-09 9/450 2026-04-16 11:11 by noqvsozv
[考研] 22408 312求调剂 +21 门路摸摸 2026-04-14 22/1100 2026-04-16 10:51 by 阿文超
[考研] 344求调剂 +8 丶风雪夜归人丶 2026-04-09 8/400 2026-04-16 10:49 by 圆心602
[考研] 恳请有学校收留 +6 柯淮然 2026-04-12 6/300 2026-04-16 07:23 by 学员JpLReM
[考研] 335求调剂 +19 想上岸呀!! 2026-04-12 21/1050 2026-04-14 16:23 by Art1977
[考研] 290求调剂 +21 luoziheng 2026-04-10 23/1150 2026-04-14 15:49 by zs92450
[考研] 材料085601调剂 +32 何润采123 2026-04-10 34/1700 2026-04-14 08:47 by 木木mumu~
[考研] 考研英一数一338分 +9 长江大学东校区 2026-04-13 10/500 2026-04-14 00:41 by 王珺璞
[考研] 一志愿西交机械专硕求调剂 +9 求上岸的小王 2026-04-10 9/450 2026-04-13 16:08 by jiangguiquan11
[考研] 22408 352分求调剂 +5 努力的夏末 2026-04-09 5/250 2026-04-12 19:17 by wj165256
[考研] 电气专硕320求调剂 +6 小麻子111 2026-04-10 6/300 2026-04-12 10:54 by lemon6009
[考研] 材料与化工300求调剂 +39 肖开文 2026-04-09 43/2150 2026-04-12 01:30 by 秋豆菜芽
[考研] 农业管理302分求调剂 +3 xuening1 2026-04-10 3/150 2026-04-11 10:18 by zhq0425
[考研] 282,求调剂 +12 jggshjkkm 2026-04-09 14/700 2026-04-11 09:39 by 猪会飞
[考研] 083200 305分 求二轮调剂 不接受跨专业 +9 Claireyyyy 2026-04-09 10/500 2026-04-10 21:21 by Claireyyyy
[考研] 314求调剂 +18 xhhdjdjsjks 2026-04-09 19/950 2026-04-10 18:53 by HPUCZ
[考研] 一志愿京区985,085401,与本科专业一致,电子信息工程, +4 阳光开朗的男孩 2026-04-10 4/200 2026-04-10 18:27 by shenrf
[考研] 085800 能源动力求调剂 +6 阿biu啊啊啊啊啊 2026-04-10 6/300 2026-04-10 15:03 by hemengdong
[考研] 求调剂 +11 翩翩一书生 2026-04-09 13/650 2026-04-10 10:27 by liuhuiying09
信息提示
请填处理意见