| 查看: 4579 | 回复: 6 | ||
wang23212银虫 (小有名气)
|
[求助]
帮忙看下冰冻切片he染色的片子
|
|
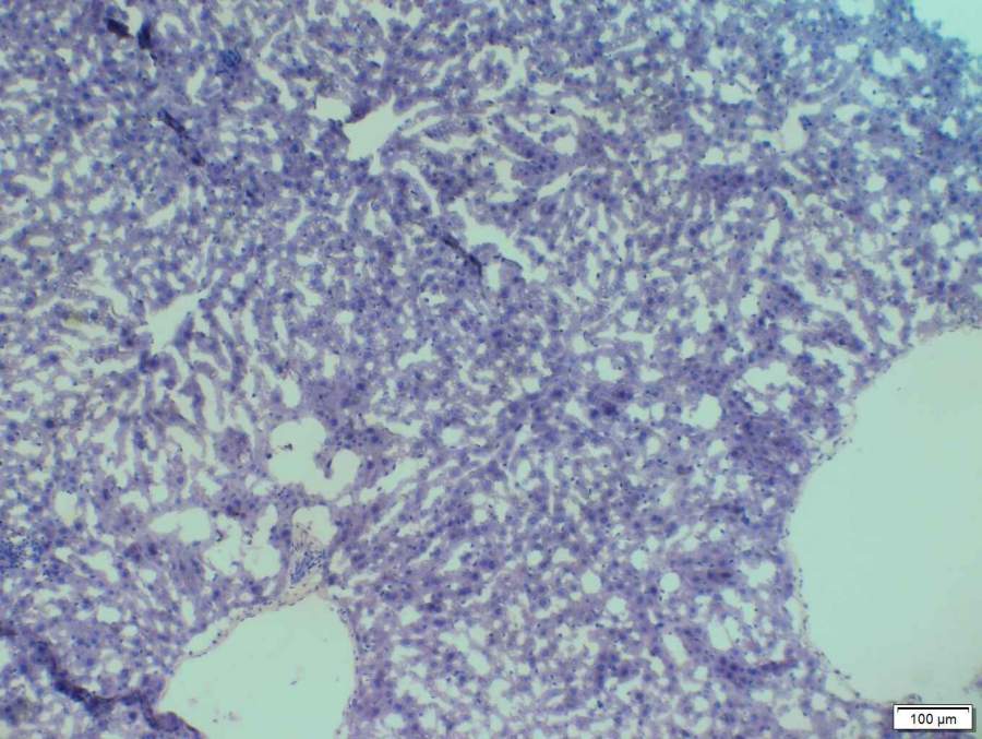
我用的是小鼠的肝脏 做的冰冻切片he染色 不知道为什么组织这么散 请大神指点 发自小木虫Android客户端 |
» 猜你喜欢
化学工程085602 305分求调剂
已经有10人回复
289求调剂
已经有15人回复
291 求调剂
已经有7人回复
274求调剂
已经有14人回复
北京林业大学硕导招生广告
已经有3人回复
309求调剂
已经有5人回复
292求调剂
已经有8人回复
求调剂
已经有4人回复
一志愿 西北大学 总分282 英语一62 求调剂
已经有3人回复
调剂310
已经有4人回复
2楼2017-03-21 00:08:43
wang23212
银虫 (小有名气)
- 应助: 3 (幼儿园)
- 金币: 300.5
- 散金: 15
- 帖子: 64
- 在线: 34.8小时
- 虫号: 2809637
- 注册: 2013-11-18
- 专业: 细胞信号转导
3楼2017-03-21 12:20:38
4楼2017-03-21 12:39:37
wang23212
银虫 (小有名气)
- 应助: 3 (幼儿园)
- 金币: 300.5
- 散金: 15
- 帖子: 64
- 在线: 34.8小时
- 虫号: 2809637
- 注册: 2013-11-18
- 专业: 细胞信号转导
5楼2017-03-21 16:04:46
CHENJIEMEI
新虫 (初入文坛)
- 应助: 1 (幼儿园)
- 金币: 250.3
- 散金: 7
- 帖子: 41
- 在线: 31.9小时
- 虫号: 2675116
- 注册: 2013-09-23
- 专业: 病原细菌与放线菌生物学
6楼2017-04-01 16:54:07
7楼2017-04-11 20:29:33













回复此楼
求交流!

20