| ²é¿´: 400 | »Ø¸´: 0 | |||
ÀîÖ¾ºê2014гæ (³õÈëÎÄ̳)
|
[½»Á÷]
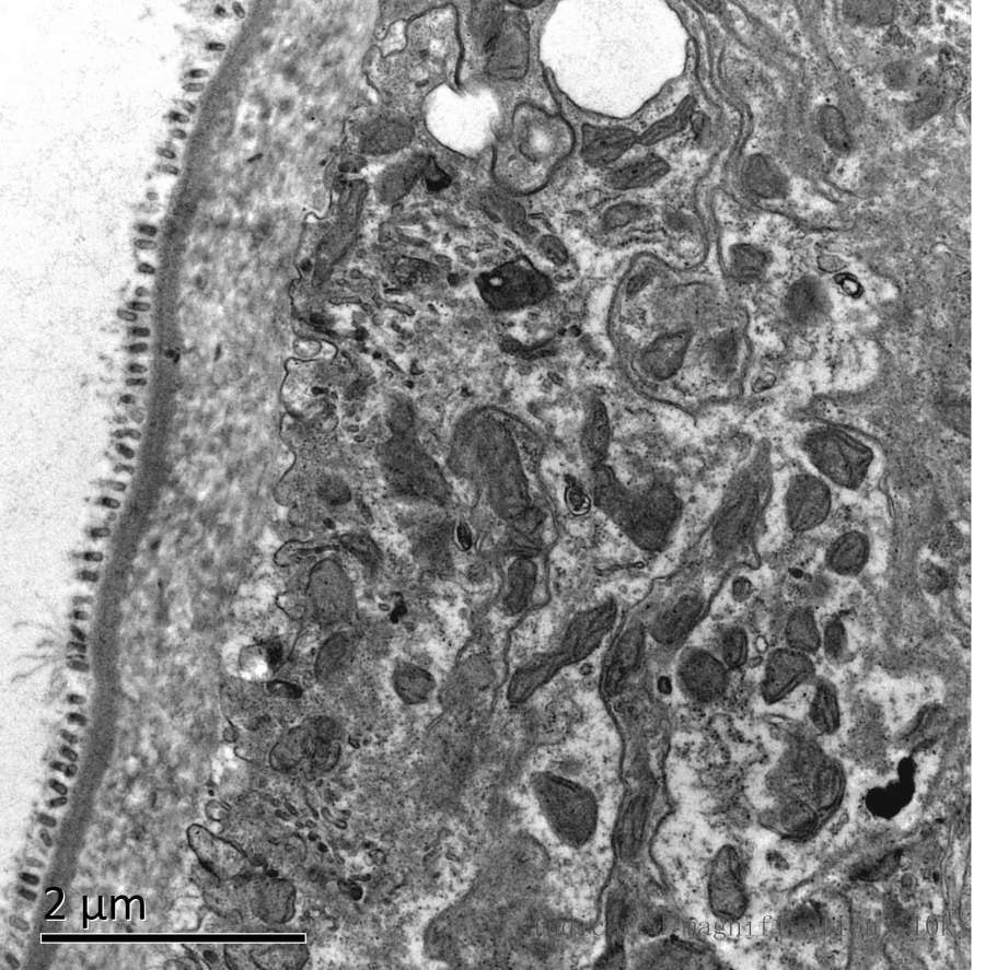
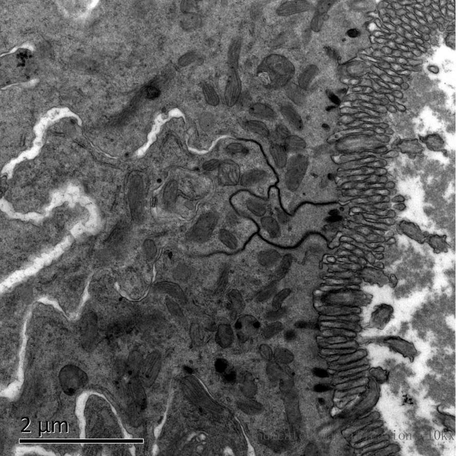
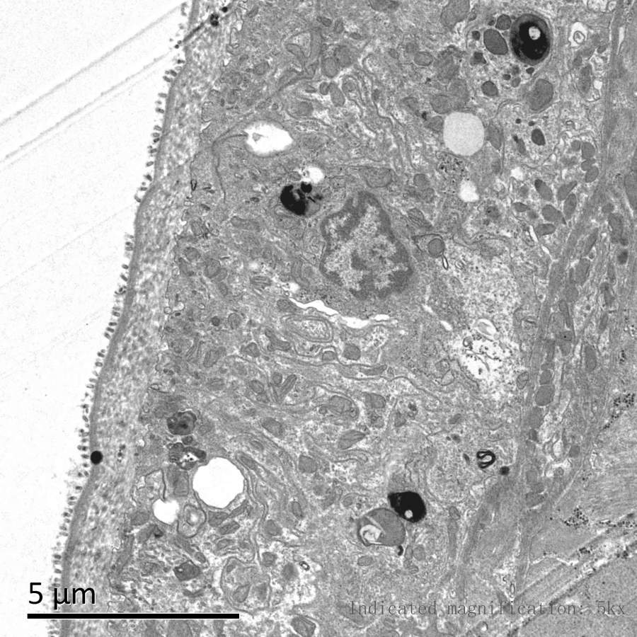
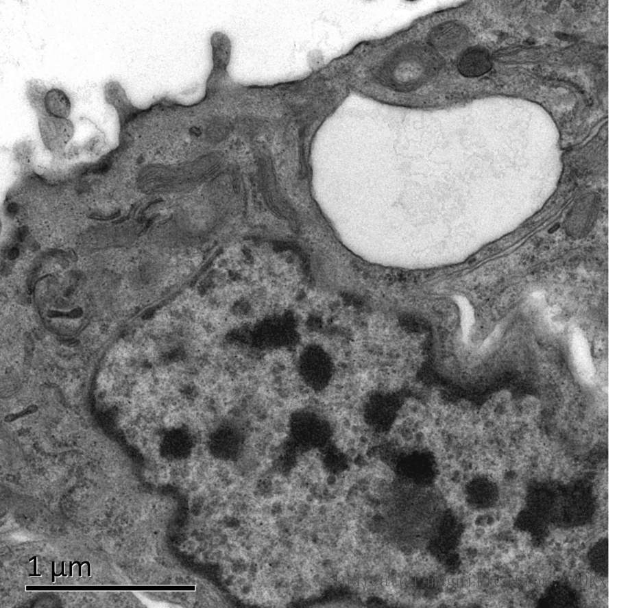
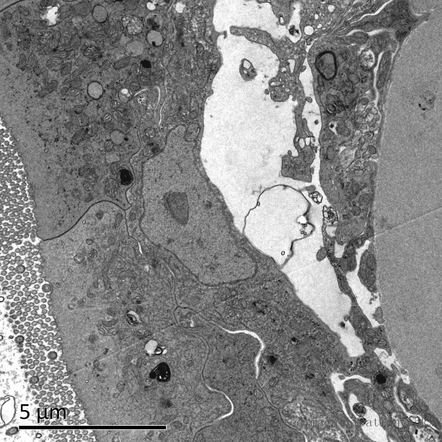
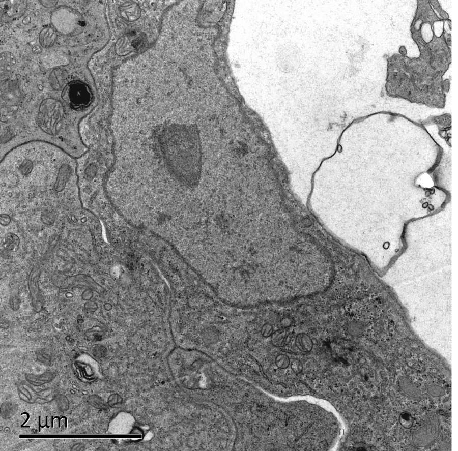
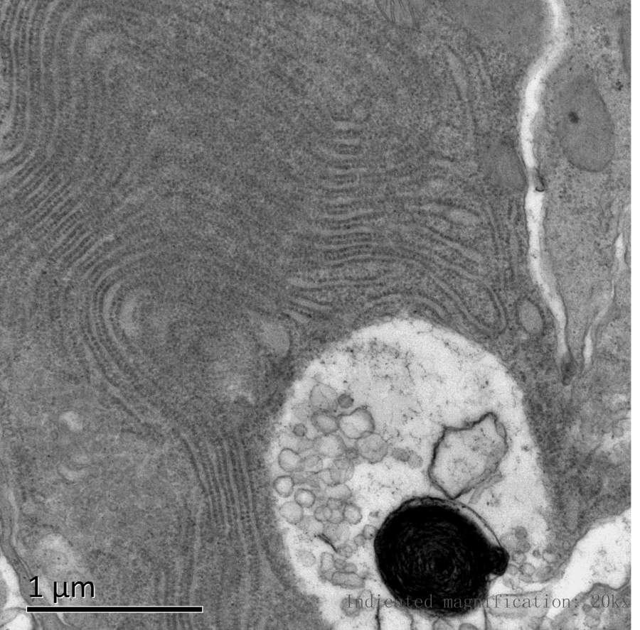
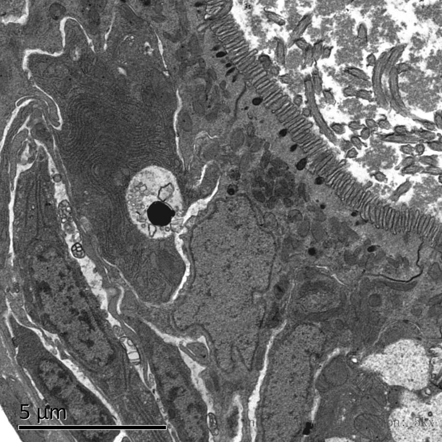
ËÈÏʶÏÂÁвüò¾£¨ºá½ØÃ棩͸Éäµç¾µÕÕÆ¬¶¼ÊÇʲôϸ°ûÆ÷£¿
|
|
Ï£Íû´óÉñ´Í½Ì Ñõ»¯Ç°1.JPG Ñõ»¯Ç°10.JPG Ñõ»¯Ç°11.JPG Ñõ»¯Ç°13.JPG Ñõ»¯Ç°14.JPG Ñõ»¯Ç°15.JPG Ñõ»¯Ç°18.JPG Ñõ»¯ºó1.JPG Ñõ»¯ºó4.JPG Ñõ»¯ºó5.JPG Ñõ»¯ºó11.JPG Ñõ»¯ºó15.JPG Ñõ»¯ºó24.JPG |
» ²ÂÄãϲ»¶
293µ÷¼Á
ÒѾÓÐ3È˻ظ´
»úе¹¤³Ì264ѧ˶Çóµ÷¼Á
ÒѾÓÐ3È˻ظ´
264Çóµ÷¼Á
ÒѾÓÐ9È˻ظ´
Çóµ÷¼Á
ÒѾÓÐ6È˻ظ´
22408 266Çóµ÷¼Á
ÒѾÓÐ7È˻ظ´
Çóµ÷¼Á
ÒѾÓÐ14È˻ظ´
273Çóµ÷¼Á
ÒѾÓÐ43È˻ظ´
307Çóµ÷¼Á
ÒѾÓÐ13È˻ظ´
327Çóµ÷¼Á
ÒѾÓÐ7È˻ظ´
338Çóµ÷¼Á
ÒѾÓÐ6È˻ظ´














»Ø¸´´ËÂ¥