| 查看: 2385 | 回复: 0 | |||
[交流]
文章中能否用ps过的图么
|
|
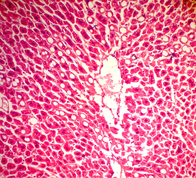
我在做脂肪肝模型验证时,将采集的图用ps照亮边缘处理了一下 感觉比原图看的更清楚 (主要还是在原图上看的不清楚的脂肪空泡可以显示出来)想把原图和处理过的图都放到文章里,然后再说明一下 不知道行得通不? 发自小木虫IOS客户端 |
» 猜你喜欢
265求调剂
已经有9人回复
085600材料与化工调剂
已经有20人回复
专硕 351 086100 也是考的材科基 本科也是材料
已经有6人回复
085600专硕材料与化工348分求调剂
已经有10人回复
085600 295分求调剂
已经有21人回复
285求调剂
已经有5人回复
一志愿安徽大学0817化学工程与技术,求调剂
已经有9人回复
一志愿0817化学工程与技术,求调剂
已经有8人回复
271分求调剂学校
已经有3人回复
生物学308分求调剂(一志愿华东师大)
已经有7人回复














回复此楼