| 查看: 3568 | 回复: 1 | ||
[求助]
HE染色实验后的大鼠胃黏膜细胞观察(胃溃疡实验) 已有1人参与
|
|
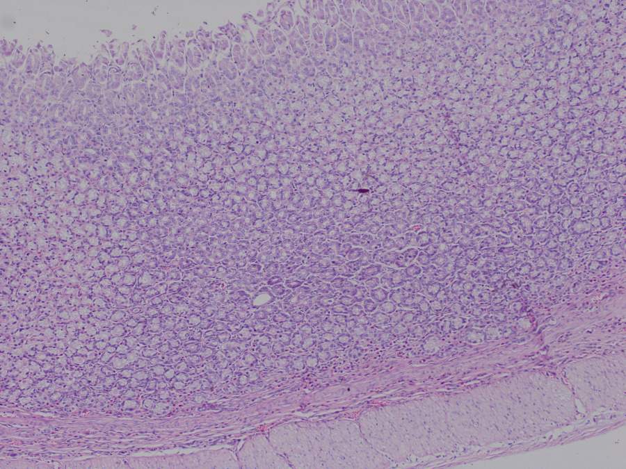
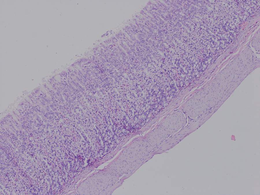
求助大神帮描述一下各组的胃黏膜细胞情况,有无损伤:尽量描述的详细一点,万分感谢!!!! 低剂量1,100.jpg 高剂量2,200.jpg 和厚朴酚组1,200.jpg 空白组1,100.jpg 生药组1,100.jpg |
» 猜你喜欢
085700资源与环境308求调剂
已经有4人回复
生物学调剂招人!!!
已经有4人回复
0817 化学工程 299分求调剂 有科研经历 有二区文章
已经有17人回复
一志愿武汉理工材料工程专硕调剂
已经有5人回复
0856调剂,是学校就去
已经有7人回复
申博26年
已经有3人回复
一志愿吉林大学材料学硕321求调剂
已经有10人回复
0703化学调剂 ,六级已过,有科研经历
已经有12人回复
294求调剂材料与化工专硕
已经有13人回复
288求调剂
已经有14人回复
markmao_79
金虫 (小有名气)
- 应助: 24 (小学生)
- 金币: 521.8
- 红花: 4
- 帖子: 166
- 在线: 30.1小时
- 虫号: 5446971
- 注册: 2017-01-05
- 专业: 中药药效物质
2楼2017-01-06 10:19:17













回复此楼