| 查看: 12166 | 回复: 2 | |
[求助]
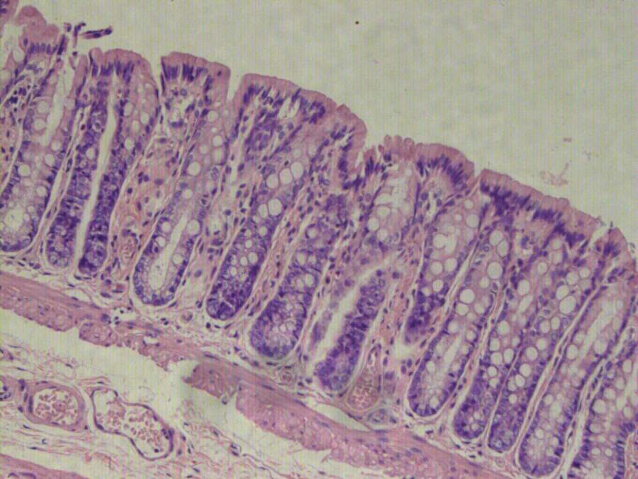
结肠组织的HE染色 已有2人参与
|
|
|
|
|
ywlzwd铁杆木虫 (著名写手)
|
|
![]() |
|
|
2楼2017-01-02 23:38:58
|
|
|
3楼2017-01-04 23:04:35
|
|















回复此楼
